Երևան,
07.Փետրվար.2026,
00
:
00
Հայերեն
Русский
English
ՄԵՆՅՈՒ
Քաղաքական
Միջազգային
Հասարակություն
Տնտեսություն
Վերլուծական
Մշակույթ
Սպորտ
Բլոգ
Lifestyle
TV
15:24
Հայաստանի մերձեցումը Արևմուտքի հետ նոր մարտահրավերներ է ստեղծում Մոսկվա-Երևան հարաբերությունների համար. Սերգեյ Կոպիրկին
15:07
Սպասվում են կարճատև տեղումներ՝ անձրևի և ձնախառն անձրևի տեսքով. օդի ջերմաստիճանը կբարձրանա
14:45
Երբ որոշվում էր իր ճակատագիրը, Ակադեմիան լռեց․ Լիլիթ Արզումանյան
21:33
Զելենսկին հայտնել է զnhված ուկրաինացի զինծառայողների պաշտոնական թիվը
16:23
Փաստորեն ՔՊ-ի համար ՌԴ-ն դաշնակից պետություն է, իմանանք էլի․ Շարմազանով
12:01
Գաղտնիության քողով ծածկված ըմպելիք, որը մոտ 200 կոկտեյլի բաղադրիչ է. «Փաստ»
11:03
Հարկ կլինի ընտրել. ոչ ոք չի կարող միաժամանակ շախմատ, շաշկի և նարդի խաղալ նույն տախտակի վրա. «Փաստ»
10:32
Հայաստանին ուզում են զրկել սեփական էժան էներգիան ունենալու հնարավորությունից. «Փաստ»
10:01
«Գարիկի մասին միշտ ժպիտով ու սպասումով եմ խոսում». սերժանտ Գարիկ Սարգսյանն անմահացել է հոկտեմբերի 19-ին Այգեհովիտի մատույցներում, տուն «վերադարձել»... երեք ամիս անց. «Փաստ»
9:34
Ինչո՞ւ են պետական կառավարման համակարգում շատերն աթեիստ. «Փաստ»
Lifestyle
4 Հուլիս, 2019 22:01
Ընտրեք ռունաներից մեկը և իմացեք, թե ինչ է ձեզ սպասվում ապագայում
4 Հուլիս, 2019 17:17
Եթե ուզում եք, որ ձեզ հետ ինչ-որ լավ բան կատարվի, սկզբի համար չպետք է անեք այս բ...
4 Հուլիս, 2019 17:02
Ամռան ամենահամեղ և գեղեցիկ ուտեստը․ լոլիկ և սմբուկ
4 Հուլիս, 2019 16:36
Ու՞մ կզիջեիք ձեր տեղը․ անցեք այս թեստը, որպեսզի իմանաք, թե ինչպես կվարվեիք դժվար...
4 Հուլիս, 2019 15:35
Հոգեբանական թեստ. Ճակատագիրն ու՞մ է նախատեսել ձեզ համար
4 Հուլիս, 2019 14:53
Ինչպե՞ս է փոխվել Իննա Խոջամիրյանի կյանքը Հայկ Պետրոսյանից բաժանվելուց հետո
4 Հուլիս, 2019 14:08
Մխիթարյանը կնոջ հետ` Փարիզում (լուսանկար)
4 Հուլիս, 2019 13:52
Թեստ․ ընտրե՛ք արևը և տեսեք, թե ինչ է այն ձեր մասին պատմում
4 Հուլիս, 2019 13:02
Վստա՞ք եք, որ ժողովրդավարությունը ժողովրդի իշխանությունն է
4 Հուլիս, 2019 12:55
Սիլվի Բարկովան և քույրը իրար նման են ինչպես ջրի երկու կաթիլ
4 Հուլիս, 2019 12:35
Իսկ դուք գիտեի՞ք, որ մատների ձևը շատ բան կարող է պատմել Ձեր մասին
4 Հուլիս, 2019 11:54
Նորաձև Մադոննա Հարությունյանը դստերն էլ է իր պես թիթիզ հագցնում (լուսանկարներ)
4 Հուլիս, 2019 10:35
Խաշած ձվով դիետա, որը կօգնի ձեզ ազատվել 10 կգ ավելորդ քաշից ընդամենը 2 շաբաթում
4 Հուլիս, 2019 10:00
9 հանելուկ, որոնք մի լավ կմարզեն ձեր ուղեղը
4 Հուլիս, 2019 9:24
Ինչպե՞ս է Իննա Խոջամիրյանը կարողացել տեղաշարժվել մնան հեքիաթային, բայց շատ ծանր ...
4 Հուլիս, 2019 9:07
Խոյեր, դուք միշտ ամեն ինչ ճիշտ եք անում․ հուլիսի 4-ի աստղագուշակը
3 Հուլիս, 2019 21:14
Անջելինա Ջոլին ծանր վիճակում տեղափոխվել է հիվանդանոց
3 Հուլիս, 2019 20:05
Քաղցկեղի 10 նախանշան, որոնց մարդիկ ուշադրություն չեն դարձնում․ ուշադիր եղեք
3 Հուլիս, 2019 19:18
14 չստացված կադրեր, որոնք ֆիլմերն իսկական գլուծգործոցի են վերածել
3 Հուլիս, 2019 18:12
Նախկին շան բույնն այսօր վերածել են հյուրանոցի համարի և օրական 11 հազար դրամ են պ...
3 Հուլիս, 2019 17:32
Սոդան իսկապես որ հրաշք միջոց է, կիրառման այս եղանակների մասին հավանաբար քչերը գիտեն
3 Հուլիս, 2019 16:26
Ուզու՞մ եք իմանալ՝ ինչ է ձեզ համար պատրաստել կյանքը․ ընտրե՛ք սրտերից մեկը
3 Հուլիս, 2019 15:32
Ինչպես է պետք եփել բրինձը, որ հատիկ հատիկ մնա. գաղտնիքներ, որ պետք կգան ցանկացած...
3 Հուլիս, 2019 14:28
8 մանրուք, որոնց օգնությամբ ցանկացած աղջիկ թագուհու տեսք կունենա
3 Հուլիս, 2019 13:54
Ծայրահեղությունից ծայրահեղություն․ Մարինկա Խաչատրյանը նման մանկական տեսքով է ներ...
3 Հուլիս, 2019 13:12
Ինչպե՞ս է Սիլվի Բարկովայի ամուսինը թույլ տվել իր կնոջն այսպիսի փոփոխություն անել
3 Հուլիս, 2019 12:58
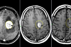
Գլխուղեղի ուռուցքի առաջին 10 նշանները, որոնց մասին պետք է յուրաքանչյուրն իմանա
3 Հուլիս, 2019 12:44
Բնական գեղեցկությամբ փայլող Աննա Մանուչարյանն այսքան արհեստական լուսանկար ինչո՞ւ...
3 Հուլիս, 2019 12:23
Կարծում եք՝ համամասնությամբ ամենամեծը մարդու ուղե՞ղն է. սխալվում եք
3 Հուլիս, 2019 12:01
Այս թեստը կբացահայտի ձեր անձի բոլոր գաղտնիքները
<<
326
327
328
329
330
>>
Լրահոս
23:55:16 6-02-2026
Վճարային տերմինալներ հափշտակած անձի նկատմամբ հարուցվել է հանրային քրեական հետապնդում
23:32:36 6-02-2026
Գերմանիան 105 տանկ կուղարկի Բելառուսի սահմանների մոտ՝ գաղտնի պլանի շրջանակում. NI
23:06:12 6-02-2026
Արաբիկա սուրճը էժանացել է՝ հասնելով 5 ամսվա նվազագույնին, Բրազիլիայում ռեկորդային բերքի ակնկալիքով
22:33:35 6-02-2026
Պակիստանում մզկիթի պայթյունի զոհերի թիվը հասել է 31-ի
22:05:31 6-02-2026
Քիմ Քարդաշյանը իսկական սենսացիա է առաջացրել Complex ամսագրի համար մերկ ֆոտոսեսիայով
21:33:15 6-02-2026
Ադրբեջանի և Իրանի պաշտպանության նախարարները քննարկել են տարածաշրջանային անվտանգության հարցեր
21:01:39 6-02-2026
Ռուբեն Ռուբինյան, մենակ թուրքերենով չի․ Ալիկ Ալեքսանյան
21:01:10 6-02-2026
Դարի կողոպուտը. Ինչպես Լուվրի կողոպտիչները քիչ էր մնում ոչնչացնեին կայսերական թագը
20:47:40 6-02-2026
Եվս մեկ օր տաքսիով տեղափոխեցի մեր հայրենակիցներին, լսեցի բազմաթիվ կարծիքներ ու առաջարկներ. Նարեկ Կարապետյան
20:32:50 6-02-2026
Երևանի տներից մեկի բակում հայտնաբերվել է 15-ամյա տղայի մարմին
20:09:35 6-02-2026
Երևանը հերթական կոլապսի շեմին է․ Վահագն Վարագյան
20:03:55 6-02-2026
Ռոնալդուն սպառնnւմ է լքել Սաուդյան Արաբիան
19:31:12 6-02-2026
«Զեյթունի» գերեզմшնատանը կինը հայտնաբերել է, որ իրենց ընտանիքին պատկանող գերեզմшնոցում այլ անձի են հուղարկավnրել
19:02:31 6-02-2026
Ուկրաինայի, ԱՄՆ-ի և ՌԴ-ի հաջորդ բանակցությունները, հավանաբար, տեղի կունենան Ամերիկայում․ Զելենսկի
18:50:57 6-02-2026
Կառավարության ֆինանսատնտեսական աշխատանքները հսկում է ինքը' կառավարությունը․ Սրանով ամենինչն պարզ չէ՞․ Արշակ Կարապետյան
18:36:48 6-02-2026
Շնորհավորում եմ Ձեր ծննդյան օրը, պարոն գեներալ. ԶՈւ պահեստազորի գնդապետ Արտյոմ Սիմոնյան
18:29:18 6-02-2026
ԱՄՆ-ն կոչ է արել իր քաղաքացիներին անհապաղ լքել Իրանը
18:13:25 6-02-2026
Նարեկ Կարապետյանը ուղիղ եթերում պատասխանում է հարցերին
17:26:57 6-02-2026
Ցավոք սրտի մեր հասարակական միտքն ու քաղաքական «էլիտան» անտարբեր կամ գրեթե անտարբեր են Ռուսաստանից եկող քաղաքական և աշխարհաքաղաքական մեսիջների նկատմամբ. Մ. Ավետիսյան
17:06:25 6-02-2026
Պետությունն իրավունք չունի խառնվելու Եկեղեցու ներքին գործերին․ Ավետիք Չալաբյան
16:53:58 6-02-2026
Հայ կինը՝ խոնարհման, պայքարի և արժանապատվության խորհրդանիշ
16:46:35 6-02-2026
Հայաստանի հանքարդունաբերության և մետալուրգիայի ասոցիացիայի մտահոգությունը տեղին է, իրավաչափ և բխում է ՀՀ շահերից
16:42:12 6-02-2026
Առեղծվածային դեպք՝ Երևանում, մի տան բակում հայտնաբերվել է մահացած 15-ամյա տղա, աջ քունքային հատվածում եղել է կրակnցի հետք
16:07:22 6-02-2026
Ցորենի ու բենզինի՝ Հայաստան գալը դեռ չի նշանակում խաղաղություն. Մենուա Սողոմոնյան
16:00:48 6-02-2026
Մենք հավակնում ենք լուրջ ազդեցություն ունենալ Հայաստանում որոշումների կայացման վրա՝ նպաստելու մեր երկրի շուրջ բարենպաստ իրավիճակի ձևավորմանը. Հրայր Կամենդատյան
15:41:47 6-02-2026
Մոսկվան ոչ հրապարակային կապեր է պահպանում մի շարք եվրոպական առաջնորդների հետ․ Լավրով
15:24:27 6-02-2026
Հայաստանի մերձեցումը Արևմուտքի հետ նոր մարտահրավերներ է ստեղծում Մոսկվա-Երևան հարաբերությունների համար. Սերգեյ Կոպիրկին
15:07:03 6-02-2026
Սպասվում են կարճատև տեղումներ՝ անձրևի և ձնախառն անձրևի տեսքով. օդի ջերմաստիճանը կբարձրանա
14:46:28 6-02-2026
Առանց տնտեսական հավասարակշռության խաղաղություն չի լինում. Հրայր Կամենդատյան
14:45:45 6-02-2026
Երբ որոշվում էր իր ճակատագիրը, Ակադեմիան լռեց․ Լիլիթ Արզումանյան
14:26:27 6-02-2026
Հանրության մոտ պատրանք են ստեղծում, որ ընդամենը երկու ճակատի կռիվ է գնում. Նաիրի Սարգսյան
14:14:05 6-02-2026
Մեր երկրում մեղքն է լեգալիզացվում, 1 մլն դոլլար կաշառքի լեգալիզացումն ինչ է, որ չանեն. Արշակ Կարապետյան
14:08:24 6-02-2026
Եթե չկա առողջ սերունդ, չկա ապագա. Հովհաննես Ծառուկյան
12:08:59 6-02-2026
Փաշինյանը փորձում է Իրանին համոզել, թե իր դեմ չեն աշխատում
12:03:31 6-02-2026
Փաշինյանին՝ մրցանակ, գերիներին՝ ցմահ ազատազրկում
11:57:58 6-02-2026
Ավստրալիան շարունակում է զարմացնել աշխարհին իր էներգետիկ թռիչքով
11:53:03 6-02-2026
Կյանքից հեռացել է ֆինանսների նախկին նախարար Վարդան Խաչատրյանը
11:37:40 6-02-2026
Բանակը չի պարտվել, կունենանք նոր հաղթանակներ․ Գրիգոր Գրիգորյան
11:26:26 6-02-2026
«Պարգև «եղբայրության ամրապնդման համար», թե՞ «ցեղասպանության համար քարտ-բլանշ»․ հասարակությունը պահանջում է չեղարկել Ալիևին և Փաշինյանին Zayed Award մրցանակի շնորհումը»
11:24:19 6-02-2026
Չվախենալ բարոյական ընտրության առաջ դնելուց. Վահե Հովհաննիսյան
11:17:27 6-02-2026
«Նախագահ Քոչարյանը Միքայել սրբազանի կողմից գրված որևէ նամակ երբևէ չի ստացել»․ Բագրատ Միկոյան
11:08:50 6-02-2026
Ռուբլին թանկացել է․ փոխարժեքն՝ այսօր
10:33:23 6-02-2026
Միջպետական և հանրապետական նշանակության բոլոր ավտոճանապարհները բաց են
10:30:46 6-02-2026
Չեմ բացառում, որ Հայաստանում կայանալիք ընտրությունների նախաշեմին երեկ ցմահ «դատապարտված» մեր պատանդներից մեկ կամ երկու հոգու ազատ արձակեն. քաղաքագետ
10:28:50 6-02-2026
Ինչպես Բաքվի դատարանի որոշումն է քաղաքական, այնպես էլ այնտեղի բանտերում գտնվող հայերի խնդրի հանգուցալուծումն ունի քաղաքական ելք․ Տիգրան Աբրահամյան
10:12:42 6-02-2026
ԶՊՄԿ-ում աշխատանքային գործունեություն ծավալած բազմաթիվ գերդաստաններից մեկի ներկայացուցիչն է Վահրամ Գաբրիելյանը
10:07:26 6-02-2026
Ադրբեջանն իր ներկայիս վարչակազմով Հայաստանի հետ խաղաղության չի գնալու. Մենուա Սողոմոնյան
10:02:01 6-02-2026
Թոշակները հիսուն տոկոսով բարձրացնելու մեր հանրագրի հիմքում հետազոտական, մասնագիտական, ֆինանսատնտեսագիտական վերլուծությունն է. Հ. Կամենդատյան
9:54:02 6-02-2026
Մեծ ցավով տեղեկացանք, որ Բաքվում պահվող հայ պատանդները բռնապետ Ալիևի հրամանով դատապարվել են ցմահ և երկար տարիների ազատազրկման. Ա. Չալաբյան
9:46:18 6-02-2026
«Մեր ձևով»․ տնտեսական իրատեսական ծրագիր՝ փոքր բիզնեսից մինչև համազգային զարգացում
Ամբողջ լրահոսը »
Բլոգ
Ցավոք սրտի մեր հասարակական միտքն ու քաղաքական «էլիտան» անտարբեր կամ գրեթե անտարբեր են Ռուսաստանից եկող քաղաքական և աշխարհաքաղաքական մեսիջների նկատմամբ. Մ. Ավետիսյան
Մենք հավակնում ենք լուրջ ազդեցություն ունենալ Հայաստանում որոշումների կայացման վրա՝ նպաստելու մեր երկրի շուրջ բարենպաստ իրավիճակի ձևավորմանը. Հրայր Կամենդատյան
Առանց տնտեսական հավասարակշռության խաղաղություն չի լինում. Հրայր Կամենդատյան
Երբ որոշվում էր իր ճակատագիրը, Ակադեմիան լռեց․ Լիլիթ Արզումանյան
Եթե չկա առողջ սերունդ, չկա ապագա. Հովհաննես Ծառուկյան
Հարցում
Ամենադիտված
2026-01-31 12:05:09
Արցախի 63/1 հասցեում իր հյուրընկալ դռներն է բացել Դեկորա խանութ-սրահի նոր մասնաճյուղը
1
2026-01-31 16:55:57
Այսօր դուք Եկեղեցու պառակտման գործին եք միացել, մինչդեռ վերջին մեկ տարվա ընթացքում Ադրբեջանը իրականա...
2
2026-01-31 18:55:34
Առանց ուժի իրավունքը դատարկ բառ է․ Արմեն Մանվելյան
3
2026-02-3 12:21:36
Ինչը ինչով է պետք փոխարինել. Վահե Հովհաննիսյան
4
2026-02-2 15:30:19
Կարճ՝ առաջիկա ընտրությունների մասին՝ Ա-ից Բ-ը․ Տիգրան Քոչարյան
5