Երևան,
16.Փետրվար.2026,
00
:
00
Հայերեն
Русский
English
ՄԵՆՅՈՒ
Քաղաքական
Միջազգային
Հասարակություն
Տնտեսություն
Վերլուծական
Մշակույթ
Սպորտ
Բլոգ
Lifestyle
TV
16:44
Ալիևի առջև Փաշինյանի նվաստացումից հետո եկել է հզոր առաջնորդության ժամանակը․ «Ուժեղ Հայաստան» (տեսանյութ)
14:09
Ինչո՞ւ Սամվել Կարապետյանն այստեղ չէ, նրա հանցանքը Աստծու և Քրիստոսի պաշտպանը լինելն է․ Ռոբերտ Ամստերդամ (տեսանյութ)
11:00
Մի փոքրիկ հողակտոր, և ամբողջ Միացյալ Նահանգներն ու Եվրոպան ամբողջությամբ կապահովվեն արևային էներգիայով
10:14
Կարապետյան ընտանիքը` քաղցկեղ ունեցող երեխաների կողքին
9:52
Այս մարդը վերջին ութ տարվա ընթացքում ինչ ուզել է, ստացել է Փաշինյանից։ Կա՞ կասկած, որ Փաշինյանի կառավարությունը, եթե վերընտրվի, սա էլ չի ստանա. Նարեկ Կարապետյան
23:55
Պուտինի վարքագիծը նման է խելագարության․ Ռյուտե
11:34
Ինստիտուցիոնալացված սպառնալիք Հայաստանի համար. «Փաստ»
11:03
Այս ամենից շահում է միայն ԱՄՆ-ը. «Փաստ»
10:32
«Երբ մի անծանոթ համարից զանգ է գալիս, ինձ թվում է՝ Ազատս է, հիմա կասի՝ մա՛մ». Ազատ Գրիգորյանն անմահացել է հոկտեմբերի 10-ին Հադրութում, տուն «վերադարձել»... ինն ամիս անց. «Փաստ»
10:01
Պատանի երգչուհի Նատալի Սաֆարյանի առաջին մենահամերգը՝ Հայաստանի սահմաններից դուրս. «Փաստ»
TV
27 Հունիս, 2019 15:21
Կառավարությունը հատուկ դպրոցներին գումար հատկացրեց (տեսանյութ)
27 Հունիս, 2019 14:56
Գազի գինը հունվարի 1–ից կբարձրանա՞. պարզաբանում է ՀԾԿՀ նախագահը
27 Հունիս, 2019 13:20
Մարդը պետպատվերով պետք է բուժվի, բայց ստիպված է գրպանից վճարումներ անել (տեսանյո...
27 Հունիս, 2019 12:52
Գ.Ծառուկյանն ընդունել է Վիետնամի խորհրդարանական պատվիրակությանը
27 Հունիս, 2019 11:07
Մեկնարկել է ՀՀ կառավարության նիստը․ ՈՒՂԻՂ
27 Հունիս, 2019 10:21
ՈՒՂԻՂ. ԱԺ տնտեսական հանձնաժողովի նիստը
26 Հունիս, 2019 20:28
Հաղորդավարը էլեկտրահարել է գործընկերուհուն ուղիղ եթերի ժամանակ (տեսանյութ)
26 Հունիս, 2019 18:32
Գլխուղեղի ուռուցքի առաջին 10 նշանները, որոնց մասին պետք է յուրաքանչյուրն իմանա
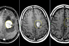
26 Հունիս, 2019 16:29
Փաշինյանը Քոչարյանին դարձրեց ՀՀ-ում ժողովրդավարությունը վերականգնող թիվ 1 քաղաքա...
26 Հունիս, 2019 11:52
Գ.Ծառուկյանը Մինսկում հանդիպել է «Բելայա Ռուս» միավորման նախագահ Գ.Դավիդկոյի հետ
26 Հունիս, 2019 11:23
ՈՒՂԻՂ. Երեւանի ավագանին նիստ է հրավիրել. օրակարգում 9 հարց է
25 Հունիս, 2019 21:44
Երիտասարդն ուղղակի նկարահանում էր ծառը, սակայն 0:18 վարկյանին եղավ այն, ինչը ցնց...
25 Հունիս, 2019 18:21
Ձեզ թվում էր՝ օղին ընդամենը խմի՞չք է․ ահա օղու օգտագործման 8 փայլուն խորհուրդ
25 Հունիս, 2019 17:47
Ով է Օկսի Ավդալյանն ու նրա ամուսինը
25 Հունիս, 2019 16:37
ՈՒՂԻՂ. ՎԵՏՕ–ի բողոքի ակցիան՝ ՍԴ–ի դիմաց
25 Հունիս, 2019 15:07
Ժողովո′ւրդ, հլը մի րոպե․ Արարատ Միրզոյան (տեսանյութ)
25 Հունիս, 2019 12:49
ՈՒՂԻՂ. Ընթանում է Մանվել Գրիգորյանի և Նազիկ Ամիրյանի գործով նիստը
25 Հունիս, 2019 11:57
«Գ. Ծառուկյան» հիմնադրամի աջակցությամբ հարյուրավոր զինծառայողների ծնողներ մեկնել...
25 Հունիս, 2019 10:44
Բացառիկ հարցազրույց` Ռոբերտ Քոչարյանի հետ (տեսանյութ)
25 Հունիս, 2019 10:22
ՈՒՂԻՂ. Ընթանում է ԱԺ արտահերթ նիստը. օրակարգում են Հարկային օրենսգրքի փոփոխությո...
25 Հունիս, 2019 9:55
Անգամ այսպիսի 90-ականներ թրենդային կոշիկներով Ժաննա Բուտուլյանի լուսանկարը շատ ս...
24 Հունիս, 2019 22:57
Նիկոլ Փաշինյանի խոսքն Անվտանգության խորհրդի նիստում (տեսանյութ)
24 Հունիս, 2019 17:45
Պրոֆեսիոնալ խոհարարը ցուցադրում է հանճարեղ մի հնարք․ Հիմա ես կտրտում եմ սոխը առա...
24 Հունիս, 2019 17:34
Ծննդյան օր և Վանգայի գուշակություն՝ ըստ թվի. աղյուսակ. 100% ճշմարտություն
24 Հունիս, 2019 17:23
ՈՒՂԻՂ. «Վետո»-ի բողոքի ակցիան ՍԴ-ի դիմաց
24 Հունիս, 2019 17:18
Օրենքով գողերը արդեն ուղիղ եթերների միջոցով են միմյանց մարտահրավեր նետում. ՏԵՍԱՆ...
24 Հունիս, 2019 16:33
Քանի՞ տարեկան են հայ աստղերը
24 Հունիս, 2019 16:22
Կզարմանաք, երբ տեսնեք, թե ինչպիսի պայմաններում է ապրում դերասան և երգիչ Կարեն Աս...
24 Հունիս, 2019 16:02
Ձեզ թվում էր՝ օղին ընդամենը խմի՞չք է․ ահա օղու օգտագործման 8 փայլուն խորհուրդ
24 Հունիս, 2019 15:32
Լեգենդար մարդը, ով փոխեց 10 դեմք և անուն. Ահա թե ում մասին է խոսքը. դուք հաստ...
<<
406
407
408
409
410
>>
Լրահոս
17:03:08 16-02-2026
Խնդիրը ոչ թե պատերազմի և խաղաղության մեջ է, այլ խաղաղությունը ապահովելու միջոցների․ Ավետիք Չալաբյան
16:20:54 16-02-2026
Եպիսկոպոսները կհավաքվեն Ավստրիայում՝ ի հեճուկս Փաշինյանի
16:15:34 16-02-2026
Անողնաշարության մաստեր-կլաս Հանրային հեռուստատեսությունից
16:09:25 16-02-2026
Փաշինյանը վերջնականապես յուրացրեց Սահմանադրական դատարանը
16:00:10 16-02-2026
Տարեցների համար հանրային տրանսպորտը պետք է լինի անվճար. Հ. Կամենդատյան
15:54:58 16-02-2026
ՔՊ խմբակի ընտրության արդյունքում տաս համար ստացած անձը տապալել է աշխատանքային պայմանագրերի էլեկտրոնային կնքման գործընթացը. Հրայր Կամենդատյան
15:42:44 16-02-2026
2018-ից հետո ժողովրդի մոտ կեղծ դրական սպասումներ առաջացան, որ վարկերի տոկոսներ, տույժեր, տուգանքներ, բոլորը պետությունն է մարելու. Նաիրի Սարգսյան
15:35:02 16-02-2026
Նույնիսկ սոցիալական խնդիրները բավարար են, որ ժողովուրդն այս անգամ չընտրի Փաշինյանին. Աննա Կոստանյան
15:28:09 16-02-2026
Իշխող ուժի ընդունած օրենքը հենց «ՀայաՔվե»-ի դեմ է․ Ատոմ Մխիթարյան.
15:23:31 16-02-2026
Մարդիկ պետք է հասկանան, որ իրենց ընտրությունն է որոշելու երկրի և իրենց վաղվա օրը․ Արմեն Մանվելյան
15:18:05 16-02-2026
Մարդիկ մոտեցել ինձ շնորհակալություն են հայտնել. Մեսրոպ Մեսրոպյան
15:11:39 16-02-2026
2025 թվականին ՀԾԿՀ-ն սպառողների կողմից ստացել է 3460 դիմում-բողոք, հանձնաժողովի կարգավորման դաշտում գործող ընկերությունները բյուջե են փոխանցել 10.3 մլրդ դրամ. Մեսրոպ Մեսրոպյան
15:06:43 16-02-2026
Էլեկտրաէներգիայի և բնական գազի սակագները անփոփոխ են մնացել. ՀԾԿՀ նախագահ
14:58:26 16-02-2026
Մեսրոպ Մեսրոպյանը հերքո՞ւմ է Գևորգ Պապոյանին. վարկերը կապ չունեն սակագնի հետ
14:53:35 16-02-2026
«Զանգեզուրի միջանցքը»/TRIPP-ը բարենպաստ հնարավորություններ է ստեղծում Կասպյան/Կենտրոնական Ասիայի և Բալկանյան տարածաշրջանների միջև կապը ամրապնդելու համար. Հաջիև
14:30:47 16-02-2026
Հօգուտ ՀՀ-ի՝ կբռնագանձվի 1 միլիոն 600 հազար դոլարին համարժեք դրամ․ դատախազություն
14:10:44 16-02-2026
Իմ մենամարտը Իլիա Թոփուրիայի հետ անխուսափելի է․ Արման Ծառուկյան
13:12:04 16-02-2026
Հնարավո՞ր է արդյոք 100% անվճար բարձրագույն կրթություն ունենալ և ո՞րն է պետության դերը
13:08:26 16-02-2026
«ՀայաՔվեն» քաղաքական հայտ է ներկայացնում և կմասնակցի ԱԺ ընտրություններին
12:59:35 16-02-2026
«Հայրենիք» կուսակցության հերթական տարածքային գրասենյակը հանդիսավորությամբ բացվեց Սպիտակում
12:22:36 16-02-2026
Միքայել արքեպիսկոպոս Աջապահյանը «Իզմիրլյան» ԲԿ-ից դուրս կգրվի վաղը
12:17:45 16-02-2026
ՀՀ իշխանության համար գերիների հարցը կարևոր չէ, Վենսի այցի շրջանակներում հարցը շրջանցեցին. Տիգրան Աբրահամյան
12:12:49 16-02-2026
2026-ին արևային էներգիայի պահանջարկի նոր շարժիչ ուժ է դառնալու արհեստական բանականությունը
12:09:44 16-02-2026
ԱՄՆ-Իրան-Հարավային Կովկաս. Ուժերի նոր վերադասավորումը և ռազմավարական դինամիկան․ Թեհրանի «Ալիք» օրաթերթի խմբագիր
12:04:42 16-02-2026
ՀԾԿՀ նախագահ Մեսրոպ Մեսրոպյանի մամուլի ասուլիսը. ՈՒՂԻՂ (տեսանյութ)
11:45:50 16-02-2026
Վարչախումբը հիմա թշնամանքի, ատելության սլաքը ուղղել է դեպի Կաթողիկոսը. Մենուա Սողոմոնյան
11:26:01 16-02-2026
«Մայր Հայաստան»-ը ներկայացրեց իր պայքարի ձևաչափը
11:20:49 16-02-2026
Իշխանությունը ոչ պաշտոնապես սկսել է քարոզարշավը՝ վարչական ռեսուրսներն օգտագործելով․ Աննա Կոստանյան
11:06:32 16-02-2026
Մեր տարածաշրջանում խաղաղություն կարող է հաստատել միայն ռուսական անվտանգության ճարտարապետությունը. Մհեր Ավետիսյան
11:01:42 16-02-2026
Այժմ եկել է հաջորդ քայլն անելու ժամանակը. Ավետիք Չալաբյան
10:54:44 16-02-2026
Պարտադիր կանխարգելիչ ստուգումը պետք է լինի համընդհանուր. Հրայր Կամենդատյան
10:44:11 16-02-2026
Քրեական գործ Ամենայն Հայոց Կաթողիկոսի դեմ. քաղաքական և հասարակական արձագանքները
10:32:41 16-02-2026
Երրորդ ժամկետի հավակնություն. Նարեկ Կարապետյանը՝ Փաշինյանի քաղաքական պատասխանատվության մասին
19:48:51 15-02-2026
«Մայր Հայաստանն» ԱԺ ընտրություններին մասնակցելու է «Առաջարկ Հայաստանին» ծրագրով` ԲՀԿ-ի հետ. Թևանյան
18:51:30 15-02-2026
Ամենայն Հայոց Կաթողիկոսի նկատմամբ քրեական հետապնդում հարուցած անձինք արդյո՞ք չեն մտածում այն մասին, թե ինչ մեղքի տակ են մտնում․ Հրայր Իգնատյան
18:14:44 15-02-2026
Նոր խաղ է սկսվել. կտեսնեք հիմա մենք ինչ ենք անելու. Էդմոն Մարուքյան
17:55:40 15-02-2026
Արևմուտքը Հայաստանն օգտագործում է որպես աշխարհաքաղաքական պայքարի գործիք․ Գալուզին
17:32:02 15-02-2026
Մեր Սուրբ Եկեղեցին անպարտելի է, քանզի մշտապես սատանային հաղթել է Քրիստոսով. Ռուսաստանի և Նոր Նախիջևանի հայոց թեմ
17:31:58 15-02-2026
Ձեռքով սրտիկ ցույց տալու փոխարեն մենք առաջարկում ենք իրատեսական ծրագրեր, որոնք կոնկրետ խնդիրներ են լուծելու. Ուժեղ Հայաստան
17:06:00 15-02-2026
Ինչու Մբապեն չմասնակցեց երեկվա խաղին և երբ կվերադառնա․ Արբելոան մանրամասնել է
16:44:21 15-02-2026
Ալիևի առջև Փաշինյանի նվաստացումից հետո եկել է հզոր առաջնորդության ժամանակը․ «Ուժեղ Հայաստան» (տեսանյութ)
16:33:05 15-02-2026
Փրկարարներն արգելափակումից դուրս են բերել 243 տրանսպորտային միջոց և օգնություն ցուցաբերել 379 քաղաքացու
16:05:10 15-02-2026
Դանիայի վարչապետը մերժել է Գրենլանդիան ԱՄՆ-ին վաճառելու գաղափարը
15:33:51 15-02-2026
Օբաման առաջին անգամ արձագանքել է Թրամփի էջում իրեն կապիկի հետ համեմատելուն
15:01:42 15-02-2026
Ազատության պողոտայում բախվել են «Mazda 6»-ն ու «Nissan Pathfinder»-ը, վերջինն էլ մխրճվել է կրպակի մեջ
14:32:25 15-02-2026
Զելենսկու հայտարարությունները վաղուց դարձել են հիվանդ մարդու զառшնցանք․ Զախարովա
14:09:33 15-02-2026
Ինչո՞ւ Սամվել Կարապետյանն այստեղ չէ, նրա հանցանքը Աստծու և Քրիստոսի պաշտպանը լինելն է․ Ռոբերտ Ամստերդամ (տեսանյութ)
14:03:49 15-02-2026
Ո՞վ կներկայացնի Հայաստանը «Եվրատեսիլ 2026»-ին. ամենից հաճախ շոշափվող անունները
13:31:10 15-02-2026
«Ռեալը» խոշոր հաշվով հաղթեց «Ռեալ Սոսյեդադին», Վինիսիուսը դուբլ ձևակերպեց
13:02:05 15-02-2026
Եղեգնաձորում բшխվել են «Opel»-ը և «Toyota»-ն․ կա վիրшվոր
Ամբողջ լրահոսը »
Բլոգ
«ՀայաՔվեն» քաղաքական հայտ է ներկայացնում և կմասնակցի ԱԺ ընտրություններին
«Հայրենիք» կուսակցության հերթական տարածքային գրասենյակը հանդիսավորությամբ բացվեց Սպիտակում
Վարչախումբը հիմա թշնամանքի, ատելության սլաքը ուղղել է դեպի Կաթողիկոսը. Մենուա Սողոմոնյան
Մեր տարածաշրջանում խաղաղություն կարող է հաստատել միայն ռուսական անվտանգության ճարտարապետությունը. Մհեր Ավետիսյան
Այժմ եկել է հաջորդ քայլն անելու ժամանակը. Ավետիք Չալաբյան
Հարցում
Ամենադիտված
2026-02-9 19:42:32
«Սլավմեդ»-ում իրականացվեց հերթական բարդ ու հաջողված ռոբոտային վիրահատությունը
1
2026-02-15 16:44:21
Ալիևի առջև Փաշինյանի նվաստացումից հետո եկել է հզոր առաջնորդության ժամանակը․ «Ուժեղ Հայաստան» (տեսանյ...
2
2026-02-9 20:44:38
Դաշինք՝ հայության միասնության ու արժեքների համար
3
2026-02-9 21:05:53
Փաստաթղթեր. Փաշինյանի եղբայրը ՌԴ քաղաքացի է, ԱԱԾ-ն ստուգե՞լ է՝ գուցե ԿԳԲ-ի գործակալ է․ Լիա Սարգսյան
4
2026-02-12 19:36:58
ԱՄՆ-ի փոխնախագահի այցը Հայաստան ապացուցեց այն թեզը, որի մասին ես խոսում եմ երկար ժամանակ, և շատերը ք...
5