Երևան, 11.Մարտ.2026,
00
:
00
ՄԵՆՅՈՒ
ԱՄՆ-ի հետ բանակցություններ չեն լինի. Աբբաս Արաղչի ՀՀ զինված ուժերի հրամանատարությունը իրավիճակին անհամարժեք որոշումներ է կայացրել․ Ավետիք Քերոբյան Ինչպե՞ս կառավարել հանուն ժողովրդի. երկպալատ պառլամենտ. Արմեն Մանվելյան Կարգախոս ընտրելու համար պետք է պարզապես լսել մարդկանց, իսկ արտագրված արհեստական-սիրուն բառերը ոչինչ չեն փոխելու․ Գագիկ Ծառուկյան Կոմպրադորական էլիտան, ամերիկյան դոլարներն ու ագրեսիվ ուժերի առջև բացվող դռները. «Փաստ» «Գևորգը լույս էր, այն մտքով եմ ապրում, որ նա ինձ հետ է, և շարունակում եմ սպասել իրեն». կրտսեր սերժանտ Գևորգ Օթարյանն անմահացել է հոկտեմբերի 10-ին Ջրականում. «Փաստ» Ի՞նչ է թաքնված հակաեկեղեցական արշավի «պաուզայի» տակ. «Փաստ» Ոչ միայն ռազմական կամ քաղաքական, այլ նաև տնտեսական լուրջ հետևանքներ. «Փաստ» Սոցիալական լարվածության աճ և բևեռացման խորացում. «Փաստ» Փոփոխություններ դեպի ԵՄ, Միացյալ Թագավորություն և Կանադա արտահանումների գործընթացում. «Փաստ»


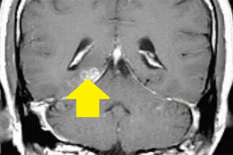
Բժիշկները շոկի մեջ էին՝ տղամարդու գլխում հայտնաբերելով 10 սմ երկարությամբ որդ

Lifestyle

blog.1in.am-ը գրում է.

Բրիտանիայում ապրող չինացի տղամարդու մոտ բժիշկները 10 սանտիմետրանոց երիզորդ (Spirometra erinaceieuropaei) են հայտնաբերել, հայտնում է Genome Biology ամսագիրը: Չինացին 2008թ. սկսել է բողոքել գլխացավերից, նոպաներից, հիշողության կորստից և տարօրինակ հոտերի զգացողությունից: Այդ ժամանակ տոմոգրաֆիայից հետո ուղեղի վնասվածք է հայտնաբերվել, իսկ հետո ուղեղի հյուսվածքներում որդ է հայտնաբերվել:

2012թ. բժիշկները որդը հեռացրել են չինացու ուղեղից, սակայն նրա առողջական խնդիրները չեն ավարտվել: Spirometra erinaceieuropaei որդը հանդիպում է Չինաստանում, այն վարակում է երկկենցաղներին և խեցեմորթներին, ուստի բժիշկները ենթադրել են, որ տղամարդը վարակվել է Չինաստան այցերից մեկի ժամանակ, որտեղ պատրաստված գորտ է կերել:

Իրանի նոր գերագույն առաջնորդը չի կարողանա խաղաղ ապրել․ Թրամփ Մենք մշտապես ընդգծել ենք, որ Հայաստանի անվտանգությունը նաև մեր անվտանգությունն է. ՀՀ-ում Իրանի դեսպանՊուտինը և Թրամփը չեն քննարկել Ռուսաստանի նավթի արտահանման դեմ պատժամիջnցների չեղարկnւմը. ՊեսկովՀայաստանը եզրագծին է․ ինքնիշխանությո՞ւն, թե՞ վերածում «Արևմտյան Ադրբեջանի»․ Սուրեն Սուրենյանց Դատապարտյալը հեռախոսները թաքցրել էր կոշիկում և հյութի տարայում ԱՄՆ-ի հետ բանակցություններ չեն լինի. Աբբաս Արաղչի Հայտնաբերվել են 11 հետախուզվող, 2 անհետ կորած. ՆԳՆ Ֆլիկը պատմել է, թե ինչի վրա է շեշտը դրել «Նյուքասլի» դեմ Չեմպիոնների լիգայի խաղից առաջՈւժեղ Հայաստան, բայց իսկապես ուժեղ. Ուժեղ ՀայաստանԻրանի դպրոցին hարվածած шրկի վրա հայտնաբերվել է ամերիկյան մակնշում. The New York TimesՍպասված տուն երեք տասնամյակ անց և նոր կյանքի սկիզբՍամուրայի սուր, ադամանդներ և ռոբոտ. 2025 թվականին կորած ուղեբեռի ամենատարօրինակ գտածոներըԱդրբեջանը հումանիտար օգնություն է ուղարկել Իրան․ ադրբեջանական ԶԼՄ-ներ Հայաստանին ներքաշեցին մի հիմար պատմության մեջ. Էդմոն Մարուքյան«ՀայաՔվե» ազգային քաղաքացիական միավորումը խորապես վշտակցում է Վահան Բայբուրդյանի ընտանիքի անդամներին և մտերիմներին` անվանի գիտնականի մահվան կապակցությամբԱյս պատերազմում Հայաստանը պետք է չեզոքություն պահպանի և հակամարտության կողմ չդառնա․ Ավետիք Չալաբյան«Մարդամեկը» սիթքոմը՝ միլիոնավոր դիտումներով և բարձր վարկանիշով․ սպասվում է երկրորդ եթերաշրջանԻրանը կստանա 20 անգամ ավելի nւժեղ hարված, քան մինչ այժմ․ Թրամփ Սրանցից հետո ով էլ գա իշխանության սրանց պատասխանատվության է ենթարկելու. Արշակ ԿարապետյանՇնորհակալ ենք ԱՄՆ Միջազգային կրոնական ազատության հանձնաժողովին Նիկոլ Փաշինյանի կողմից Հայ Առաքելական Եկեղեցու դեմ իրականացվող հարձակումների վերաբերյալ այս խիստ զեկույցը պատրաստելու համար․ Ռոբերտ ԱմստերդամՀունգարիայի խորհրդարանը բանաձև է ընդունել Ուկրաինային ֆինանսական աջակցություն տրամադրելու դեմ Պետք է կառուցենք ազգային շահի վրա հիմնված կառավարություն․ Արմեն ՄանվելյանԻնչ զարգացումներ տեղի ունեցան վերջին օրերին Ադրբեջանի և Իրանի միջև, ու ինչպես մեզ կրկին օգտագործեցին. Էդմոն ՄարուքյանԻ՞նչ է պատրաստում Արտաքին հետախուզության ծառայությունը Իշխանությունն ամեն ինչ անում է՝ ընտրություններին մասնակցողների թիվը պակասեցնելու համար Փաշինյանը մեկուսացել է ՔՊ-ում Փաշինյանը յուրովի է օգտվելու Բալասանյանի «նվերից» IDBank-ը դուրս է գալիս միջազգային հարթակ․ Մհեր Աբրահամյանի հարցազրույցը Los Angeles Times-ին Ինչպե՞ս է պետությունն աջակցել, որպեսզի վարչապետի ընտանիքի մտերիմը «քցի» բանկերին Հայաստանի յուրաքանչյուր քաղաքացու ընտրությունից առաջ անհրաժեշտ է համախմբվածություն և փողոցային պայքար․ Արտակ Զաքարյան ՀՀ զինված ուժերի հրամանատարությունը իրավիճակին անհամարժեք որոշումներ է կայացրել․ Ավետիք Քերոբյան Ինչպե՞ս կառավարել հանուն ժողովրդի. երկպալատ պառլամենտ. Արմեն ՄանվելյանԻնչի՞ համար են խցիկները, որտեղ բացակայում են արտաքին գրգռիչները. «Փաստ»Կարգախոս ընտրելու համար պետք է պարզապես լսել մարդկանց, իսկ արտագրված արհեստական-սիրուն բառերը ոչինչ չեն փոխելու․ Գագիկ Ծառուկյան Կրթության համակարգում կոռուպցիան սպառնալիք է մեր ազգային անվտանգությանը․ Ցոլակ ԱկոպյանՊԱՏՄՈՒԹՅԱՆ ԱՅՍ ՕՐԸ (10 ՄԱՐՏԻ). Հացադուլ Երևանի Ազատության հրապարակում, փոփոխություններ արտակարգ դրության մասին հրամանագրում. «Փաստ»Հայաստանի հանքարդյունաբերության և մետալուրգիայի ասոցիացիան PDAC 2026-ում ներկայացրել է Հայաստանի հանքարդյունաբերության ոլորտի ներուժն ու համագործակցության հնարավորություններըԿոմպրադորական էլիտան, ամերիկյան դոլարներն ու ագրեսիվ ուժերի առջև բացվող դռները. «Փաստ»Ի՞նչ ենք առաջարկում մանկավարժներին «Հայաստանը ես եմ» նախաձեռնության քաղաքական ծրագրով. Նաիրի Սարգսյան Փակվող դպրոցների «սև ցուցակը». փակե՞լ, թե՞ վերակառուցել. ՀայաՔվե«Գևորգը լույս էր, այն մտքով եմ ապրում, որ նա ինձ հետ է, և շարունակում եմ սպասել իրեն». կրտսեր սերժանտ Գևորգ Օթարյանն անմահացել է հոկտեմբերի 10-ին Ջրականում. «Փաստ»Գույքահարկը 2025-ից դառնալու է 600-800 հազար դրամ. ի՞նչ է սպասվում Կենտրոնի, Արաբկիրի բնակիչներին. Հրայր Կամենդատյան Այն մասին, թե ինչն է միջազգային հարաբերություններում ծնում իրավունքը, և ինչ է պետք անել այդ իրավունքը նվաճելու համար. ՉալաբյանՄատչելի բնակարաններից մինչև էժան դեղորայք․ «Ուժեղ Հայաստան»-ի տնտեսական ծրագիրը սոցիալական օրակարգի կենտրոնում Նախիջևանը ո՞ր կողմում է. Էդմոն Մարուքյան Ի՞նչ է թաքնված հակաեկեղեցական արշավի «պաուզայի» տակ. «Փաստ»Ոչ միայն ռազմական կամ քաղաքական, այլ նաև տնտեսական լուրջ հետևանքներ. «Փաստ»Պատերազմի ստվերը Հայաստանի սահմաններին․ արդյո՞ք երկիրը պատրաստ է փախստականների հնարավոր ալիքին Սոցիալական լարվածության աճ և բևեռացման խորացում. «Փաստ»Փոփոխություններ դեպի ԵՄ, Միացյալ Թագավորություն և Կանադա արտահանումների գործընթացում. «Փաստ»