Երևան, 09.Մարտ.2026,
00
:
00
ՄԵՆՅՈՒ
Հարկատուն հարկ չի վճարում, որ դու նախընտրական քարոզարշավարը չսկսած քարոզ անես․ Արշակ Կարապետյան Երբ իշխանությանը թույլատրված է ամեն ինչ, իսկ ընդդիմությանը՝ ոչինչ Պարտականություններն ամենօրյա ռեժիմով կատարման ենթակա են' և ոչ հայտարության մատերիալ․ Արշակ Կարապետյան Դիվանագիտական սխալ․ Հայաստանը հայտնվեց Ադրբեջանի աջակիցների ցանկում Փաշինյանի քաղաքականությունից հիասթափվածների թիվն աճում է․ Ավետիք Չալաբյան «ՀայաՔվե» ազգային քաղաքացիական միավորումը սրտանց շնորհավորում է կանանց և աղջիկներին Սրտանց շնորհավորում եմ ձեր հրաշալի տոնը. Ավետիք Չալաբյան Սրտանց շնորհավորում եմ ձեզ Մարտի 8-ի՝ Կանանց միջազգային օրվա առթիվ. Զանգեզուրի պղնձամոլիբդենային կոմբինատի գլխավոր տնօրեն Դո՛ւք ընտանիքի հոգատար մայրեր եք, հավատարիմ, սիրելի ընկերներ եք ու արժանի եք լավագույնին. Գագիկ Ծառուկյան «Համահայկական ճակատ» շարժմանառաջնորդի շնորհավորական ուղերձը Կանանց միջազգային օրվա՝ մարտի 8-իկապակցությամբ


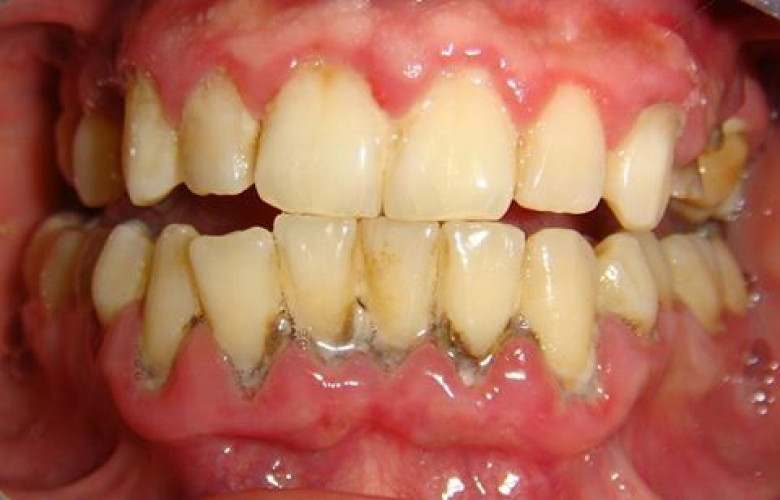
Ինչպե՞ս պաշտպանել ատամները կարիեսից՝ ընդամենը մեկ բաղադրիչի օգնությամբ (ֆոտո)

Lifestyle

Blog.1in.am-ը գրում է.

Ատամների առողջությունը պահպանելու համար բժիշկները խորհուրդ են տալիս օրական երկու ճաշի գդալ մեղր ուտել:

Նրանք կարծում են, որ մեղրի նման ծավալը ոչ միայն չի վնասի մարմնի կազմվածքին, այլև օգուտ կտա առողջությանը, մասնավորապես կլավացնի ատամի էմալի վիճակը:

image

Առաջին հայացքից նման հայտարարությունը կարող է տարօրինակ թվալ, քանի որ մեղրը քաղցր սննդատեսակ է:

Սակայն փորձագետները դրա բաղադրության մեջ գտել են ջրածնի պերօքսիդ, որն ընդունակ է խոչընդոտել կարիեսի և այն բաղադրիչի ձևավորմանը, որի շնորհիվ բակտերիաները հուսալիորեն ամրանում են ատամներին և քայքայում դրանց մակերեսը:

Վերաքննիչ հակակոռուպցիոն դատարանի օրեր առաջ կայացրած որոշումը՝ մերժել Սամվել Կարապետյանի փաստաբանական թիմի բողոքը. Ռոբերտ ԱմստերդամՄենք չենք ուզում պատերազմ, բայց պետք է պատրաստ լինենք մեր երկիրը պաշտպանելուն․ Ավետիք Չալաբյան «Կամուրջ» նախաձեռնությունն ու Համահայկական հասարակական դաշինքը հուշագիր են ստորագրել ԱրարատԲանկը յոթերորդ տարին անընդմեջ արժանացել է Ria Money Transfer-ի Հայաստանում «Տարվա գործընկեր» մրցանակինԻշխանությանը փողոցում կամ ընտրություններով հաղթելու համար նախ պետք է գերակայություն ապահովել քաղաքական օրակարգում. Աբրահամյան Նոր ուժեղ առաջնորդություն Հայաստանի համար. սա հաջորդ վարչապետ Սամվել Կարապետյանի ծրագիրն էՊետք է պաշտպանենք մեր երեխաներին սոցիալական ցանցերի վտանգներից․ Հրայր ԿամենդատյանՀայաստանում տեղի է ունենում մարդու իրավունքների և խոսքի ազատության խախտում․ Արմեն ՄանվելյանՓակվող գյուղական դպրոցներ և գործազուրկ ուսուցիչներ․ ինչպե՞ս կանգնեցնել այս գործընթացըՄեր ուսուցչուհիներին՝ բարեմաղթանքի փոխարեն. Մենուա ՍողոմոնյանՇնորհավորո՛ւմ ենք բարեկամ Իրանի նորընտիր Գերագույն Առաջնորդ այաթոլլա Սեյեդ Մոջթաբա Հոսեյնի Խամենեիին. Խաչիկ ԱսրյանՄտահոգիչ միտումներ հայաստանյան արևմտամետների համար Փաշինյանը պատրաստվում է ընտրությունների տոտալ կեղծմանը Ուժեղ կանայք են կառուցում ուժեղ հասարակություն. Ալիկ ԱլեքսանյանԻրանը գնում է վա-բանկ Ճապոնիան 2025 թվականին շահագործման է հանձնել 5,8 ԳՎտ արևային հզորություններ Հարկատուն հարկ չի վճարում, որ դու նախընտրական քարոզարշավարը չսկսած քարոզ անես․ Արշակ ԿարապետյանՀուսանք՝ Ադրբեջանն ու Իրանը խոհեմություն կունենան տարածաշրջանում գեոպոլիտիկ նոր անվտանգության օջախ չստեղծելու հարցում. Մհեր ԱվետիսյանՀայաստանի Հանրապետությունում 230 դպրոց փակման վտանգի տակ է․ Մենուա ՍողոմոնյանՄեր հաջորդ վարչապետն անկոտրում մարդ է․ «Ուժեղ Հայաստան» (տեսանյութ) Ներկայացնեմ մեր տնտեսական հինգ քայլերից հինգերորդը. Հարություն ՄնացականյանԿարո՞ղ եք վերջապես հանգիստ մնալ և մեր պետությանը ոչ մի վնաս չտալ. Էդմոն ՄարուքյանUcom-ի աջակցությամբ տեղի կունենա «ԴեմԱռԴեմ 2026» մարզային երիտասարդական ֆորումը Վստահությամբ կարող եմ ասել՝ հայ կինը յուրահատուկ է. նա ընտանիք ստեղծող, պահող և ամրապնդող մեծ ուժ է. Գագիկ ԾառուկյանԵրբ իշխանությանը թույլատրված է ամեն ինչ, իսկ ընդդիմությանը՝ ոչինչ Վարձով կացարանից դեպի սեփական օջախ. Սամվել Կարապետյանի 20 հազար մատչելի բնակարանի ծրագիրը Կդադարեցվի Տաշիր քաղաքի մի շարք փողոցների գազամատակարարումը Ստեփանծմինդա-Լարս ավտոճանապարհը բաց է Պետության պարտքը պետք է լինի հոգ տանել մեր մեծերի մասին. Արթուր ՄիքայելյանԱյն մասին, թե ինչու է Փաշինյանի քարոզարշավը ձախողվում, և թե ինչպիսի իշխանություն է մեր ժողովրդի առողջ դատող մեծամասնությունը ցանկանում տեսնել նրա փոխարեն. Ավետիք ՉալաբյանԻնչո՞ւ աշխարհի այլ երկրներում հիմնականում չկա աղքատ հայ, բացի Հայաստանից. Նարեկ ԿարապետյանՈւժեղ է այն ղեկավարը, որը պատրաստվում է իր երկրին սպառնացող իրական վտանգներին ութ քայլ առաջ, և ոչ թե զբաղված է եգիպտացորեն ուտելով. ժամանակն է նոր և ուժեղ առաջնորդիՆարեկ Կարապետյանի շնորհավորական ուղերձը Կանանց միջազգային օրվա առթիվԻսրայելի ռազմաօդային ուժերը հարվածել են Բեյրութի հյուրանոցին. զոհվել է առնվազն 4 մարդԱյս օրը ևս մեկ առիթ է խոսելու հայ կնոջ ուժի, արժանապատվության և անսահման նվիրումի մասին․ Նաիրի ՍարգսյանԱՄՆ-ն և Իսրայելը հարվածել են Սպահանի արտադրամասերի և ձիասպորտի ակումբի վրա. զոհվել է առնվազն 11 մարդԵրեկ՝ մարտի 7-ին, «Երիտասարդի ձայնը» նախաձեռնության «Բեկում» համաերիտասարդական ֆորումը համախմբեց շուրջ 350 երիտասարդների9 սովորություն, որոնք աննկատելիորեն «սպանում» են ձեր գեղեցկությունը Իրանը կարող է առնվազն կես տարի ինտենuիվ պшտերազմ վարել. ԻՀՊԿ Իրանը կպատասխանի ցանկացած պետության տարածքից իրականացվող hարձակումներին. ՓեզեշքիանԱռաջիկա ընտրությունների արդյունքում լինելու է հեղափոխություն-3, մեր նշաձողը 65 տոկոսն է. ՓաշինյանՉեմ ավարտել կարիերաս Հայաստանի հավաքականում և հուսով եմ՝ դեռ կստանամ իմ հրավերը․ ՉանչարևիչՀորոսկոպ. կատարյալ նվեր կնոջը՝ Մարտի 8-ի համար Պարտականություններն ամենօրյա ռեժիմով կատարման ենթակա են' և ոչ հայտարության մատերիալ․ Արշակ Կարապետյան Դիվանագիտական սխալ․ Հայաստանը հայտնվեց Ադրբեջանի աջակիցների ցանկումԱՄՆ-ը արդեն nչնչացրել է իրանական 42 ռազմանավ․ Թրամփ Իրանի վրա հшրձակումները կարող են վնասել տարածաշրջանային և համաշխարհային կայունությանը. Էրդողանը՝ ՍթարմերինՌուսաստանը կոչ է անում Թեհրանին և Բաքվին զերծ մնալ չմտածված քայլերից․ Զախարովա Փաշինյանի քաղաքականությունից հիասթափվածների թիվն աճում է․ Ավետիք Չալաբյան«ՀայաՔվե» ազգային քաղաքացիական միավորումը սրտանց շնորհավորում է կանանց և աղջիկներին