Երևան, 21.Փետրվար.2026,
00
:
00
ՄԵՆՅՈՒ
Ռուսաստանը մշակում է նոր հիպերձայնային զենք, հայտնել են Գլխավոր շտաբում Սպասվում է կարճատև անձրև. օդի ջերմաստիճանը կնվազի Եթե Ռուսաստանի կողքին լինի ՆԱՏՕ-ի անդամ երկիր, սպшռնալիքը կլինի մշտական. Մեդվեդև Հունիսյան ընտրությունները՝ յուրատեսակ հանրաքվե. արտաքին հետաքրքրություններն ուժգնանում են. «Փաստ» Ինքնիշխանության հսկայական զիջում. «Փաստ» «Ժորժս աստվածային տղա է, նա ինձ վերևից հսկում է, ամենադժվար պահերին ինձ ծանր վիճակից հանում». սերժանտ Ժորժ Գևորգյանն անմահացել է նոյեմբերի 2-ին Ճարտարում. «Փաստ» Մի շարք փոփոխություններ՝ ԶՈՒ կարիքների համար գնումների գործընթացում. «Փաստ» Աշխարհաքաղաքական նոր «մեսիջներ». անվտանգության ավանդական երաշխիքներն այլևս հուսալի չեն. «Փաստ» Ընտրությունների մասնակցության յուրաքանչյուր ձայնի ուժը և լռության գինը. «Փաստ» Սարսափ ոչ միայն իշխանությունը կորցնելուց, այլև միասնականությունից. «Փաստ»


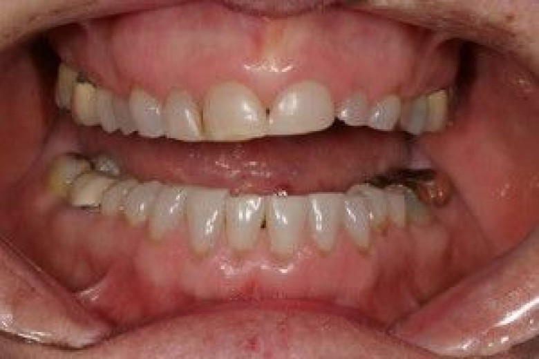
Բժիշկները թաքցնում են սա. ազատվեք կարիեսից մեկ բաղադրիչի օգնությամբ

Lifestyle

Կարիեսն ատամի կոշտ հյուսվածքներում ընթացող բարդ, դանդաղ պաթոլոգիական գործընթաց է, որն առաջանում է անբարենպաստ արտաքին և ներքին գործոնների հետևանքով: Խոռոչների վնասվածքի առաջացման վրա ազդող հիմնական գործոններն են՝ բերանի խոռոչի անբավարար հիգիենան, ծխելը, սթրեսը, սննդի շատ օգտագործումը, շաքարով հարուստ մթերքների օգտագործումը և այլն: Որպես կանոն՝ կարիես ունեցող ատամը ոչ մի կերպ չի տարբերվում, և կարող եք նույնիսկ չիմանալ, որ կարիես ունեք: Սակայն որոշ ժամանակ անց կարիեսով վնասված ատամը կարող է սկսել քայքայվել և առաջացնել ատամի ցավ, զգայնություն սառը կամ տաք սննդի նկատմամբ:

Այս նշանների առաջացման դեպքում պետք է անհապաղ արդյունավետ բուժում ձեռնարկեք կարիեսից ազատվելու համար: Հակառակ դեպքում կարող եք կորցնել ատամը: Ամենակարևոր բաղադրիչներից մեկը, որի կարիքն ունեն ատամները, կալցիումն է: Բոլորս գիտենք, որ կալցիումի ամենահարուստ աղբյուրը ձվի կեղևն է:

Եթ կարիեսի խնդիր ունեք, ձեզ պետք կլինի ձվի կեղևից ատամի մածուկ: Վերցրեք քառորդ բաժակ փոշիացրած կեղև, որը կարող եք ստանալ կեղևը բլենդերով մանրացնելով: Այդ փոշին խառնեք մի քանի կաթիլ անանուխի յուղի և 2 ճ. գ. կոկոսի յուղի հետ: Լավ խառենք բոլոր բաղադրիչները, ավելացրեք 1 ճ. գ. կերակրի սոդա: Շարունակեք խառնել բաղադիչները, մինչև մածուկ ստացվի: Մածուկը պահեք լավ փակած տարայով: Մածուկն օգտագործեք օրը 3 անգամ և կազատվեք ատամնաբուժական խնդիրներից:

Դոլարն ու եվրոն շարունակում են էժանանալ ՔՊ-ի հետ համագործակցության ոչ մի եզր այլևս չունենք. Վստահ եմ՝ մենք հաջորդ խորհրդարանում հաստատ լինելու ենք. Էդմոն ՄարուքյանՄեր երկրում՝ հազարավոր մարդիկ կանգնած են այս խնդրի առաջ․ Նարեկ ԿարապետյանԵՄ-ում չեն կարողացել համաձայնեցնել հակառուսական պատժամիջոցների 20-րդ փաթեթը Ռուսաստանը մշակում է նոր հիպերձայնային զենք, հայտնել են Գլխավոր շտաբում Amazon-ը դարձել է ԱՄՆ ամենամեծ ընկերությունը տարեկան հասույթի գծով՝ առաջ անցնելով Walmart-իցԱջափնյակում տեղի ունեցած միջադեպով քրեական վարույթի շրջանակում 1 անձի նկատմամբ հանրային քրեական հետապնդում է հարուցվելՄակրոնը մայիսի 4-ին երկօրյա այցով կլինի Հայաստանում Versace-ն ներկայացնում է Pivot պայուսակը. 3,300 դոլար արժողությամբ դասական պայուսակի նոր մեկնաբանությունըՓաշինյանը գրեթե ամեն օր ֆեյսբուքով սրտիկ է ցույց տալիս, ձեզ վերագրո՞ւմ եքՈչ ոք չի կարող չեղարկել Արցախյան նոր շարժման հնարավորությունը. Աննա ԿոստանյանՆորարար տեխնոլոգիաներով ուժեղացող Հայաստան. Ուժեղ ՀայաստանԱՄՆ-ը 3 օրում 68 ռшզմական բեռնատար ինքնաթիռ է տեղափոխել Մերձավոր Արևելք Մեզ ինչպիսի՞ ղեկավար է պետք․ հարցում Տավուշի մարզումԻրենց մեծ պարգևավճարներ, իսկ թոշակառուն ծախսելու տեղ չունի՞ և ծախսելու ձևը չգիտի՞«40 տարեկանում մայրանում եմ, անհամբեր սպասում եմ, թե երբ եմ նրան տեսնելու». Լիլի ՄորտոՃապոնիան մտադիր է խաղաղության պայմանագիր կնքել Ռուսաստանի հետ. Ճապոնիայի վարչապետՄենք մտածում էինք` լավ է կանգնած մեռնել, քան ծնկած ապրել Ադրբեջանի կազմում․ «Համահայկական ճակատ» ՇարժումԹրամփը դիտարկում է Իրանի միջուկային օբյեկտներին խոշոր hարված hասցնելու հնարավորությունը. ABC NEWSՖուտբոլիստները պայքարում էին մեկը մյուսի համար. «Նոա»-ի գլխավոր մարզիչ Մեր ուժերը պետք է համադրենք գաղափարակից այլ կառույցների հետ և լինենք միասնական․ Ավետիք ՉալաբյանԱմեն ջանք գործադրելու ենք մեր ժողովրդի՝ Արցախ վերադառնալու և ինքնորոշման անքակտելի իրավունքները լիարժեքորեն իրացնելու համար. Արցախի ԱԺ ՀՀ բանկային համակարգի «առեղծվածը» և առաջարկվող լուծումները. Միքայել ՄելքումյանՓետրվարի 25-ին Նարեկ Կարապետյանը երիտասարդների հետ հանդիպում կունենա. «Ուժեղ Հայաստան» Զինվորական ծառայությունը դարձնելու ենք գրավիչ և պատվաբեր․ Ավետիք ՔերոբյանՊատվիրե՛ք IDBank-ի Arca Classic քարտ և օգտվե՛ք մինչև 2% հետվճարի հնարավորությունից IDBank-ն ամփոփեց IDsalary-ի շրջանակում անցկացվող խաղարկությունը․ 55 հաջողակները ստացան իրենց նվերները Թրամփը ծաղրել է Փաշինյանին ու Ալիևին Հայաստանում ընդդիմադիր լինելը վտանգավոր է կյանքի և առողջության համար Իշխանության մաս կազմելուն պես մեկնարկելու ենք թոշակների 50% բարձրացման գործընթացը․ Հրայր ԿամենդատյանՓաշինյանի իշխանությունը իրական քայլ չի արել հայ գերիներին վերադարձնելու համար․ Արեգ ՍավգուլյանՊոպուլիզմով ընտրություն չեն հաղթում՝ հանրությանը պետք են իրագործելի լուծումներ․ Նաիրի Սարգսյան Բա, Բայդենի խորուրդը ի՞նչ եղավ. Մհեր ԱվետիսյանԹե բա՝ «դեռևս անհայտ պայմաններում Հայաստան են ժամանել ադրբեջանցիներ». Էդմոն ՄարուքյանՓետրվարի 19-ին Կապանի «Սյունիք» ֆուտբոլային ակումբը հուշագիր-համաձայնագիր կնքեց մարզի խոշոր ձեռնարկություններից մեկի՝ «Աժդանակ» ՍՊԸ-ի հետՓաշինյանին միացած տիրադավների շարքերը պակասում են Ռուսաստանում հեշտացնում են բնակարաններում արև ային մարտկոցների տեղադրումը «ՀայաՔվեն» հաստատակամ է Արցախը երբևէ դարձյալ հայկականացնելու առաքելության հարցումՀայը տարբեր փուլերում իր խելամիտ և ռացիոնալ որոշումը կայացրել է, և մեր հավաքական ճակատագրի հարցը կրկին կախված է մեր սկզբունքային դիրքորոշումներից․ Աբրահամյան «ՀայաՔվե» միավորումը տարածքային գրասենյակ բացեց Արարատի մարզի Մասիս համայնքումԲաքվում հայ են դատում, Երևանում իշխանությունները դիսկոտեկ են անում և զվարճանում․ Մենուա ՍողոմոնյանUcom-ը և Hero House Yerevan-ը կշարունակեն համագործակցել Պատրաստ եմ լսել դառը խոսքեր, սրտացավ առաջարկներ՝ իրական, դժվար, ամենօրյա կյանքի մասին, որ միասին գտնենք լուծումները. Գագիկ ԾառուկյանԱրտաքին զիջումներ, ներքին ճնշումներ. իշխանության պահպանման երկակի ռազմավարություն Ընտրակա՞շառք, թե՞ վարչական ռեսուրս․ Սյունիքում աջակցությունների բաժանումը նախընտրական մեկնարկից օրեր անց Այն մասին, թե ինչպիսի բանակ ենք մենք կառուցելու իշխանության գալուց հետո. Ավետիք Չալաբյան«Երաժշտություն հանուն ապագայի» հիմնադրամի «Հայ Վիրտուոզներ» ծրագրի կրթաթոշակառու Էդուարդ Դայանը արժանացել է Գրան Պրիի Սրտանց շնորհավորում եմ եզդիական համայնքին Սուրբ Նաբիի (Խըդըր Նաբիի) տոնի առթիվ․ Նարեկ ԿարապետյանԱմասիայում Ադրբեջանցիներ են վերադառնում, Երևանում սկանդալային կրակոցներ են․ Էդմոն ՄարուքյանԻրենց` պարգևավճարներ, իսկ թոշակառուն չգիտի ինչպես ծախսի թոշակը