Արդյունավետ տնային հեղուկ բերանը ողողելու համար, որն ընդամենը 2 րոպեում վերացնում է ատամնափառը
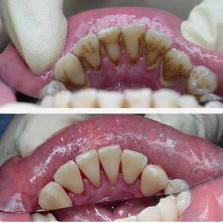
LifestyleՓառը բակտերիաների կպչուն, անգույն թաղանթ է, որը ձևավովում է ատամների վրա: Դա կարիեսի և լնդերի հիվանդության առաջացման հիմնական պատճառն է և կարող է ատամնաքարի վերածվել ամեն օր չհեռացվելու դեպքում:
Բերանը ողողելու հեղուկը բերանի խոռոչի հիգինեիկ գործողությունների բաղադրիչ է:
Այն նվազեցնում է փառը, պայքարում է բակտերիաների դեմ, մաքրում է մերանի խոռոչը, շնչառությունը թարմացնում է:
Ներկայացնում ենք բերանը ողողելու տնային միջոց, որն արդյունավետ է և ոչ թանկարժեք:

Նատրիումի բիկարբոնատը սպիտակեցնելու և բծերը վերացնելու հզոր հատկություններ ունի, ուստի այն հաճախ օգտագործում են ատամները մաքրելու համար:
Այն նաև ունի հակաբակտերիալ հատկություն, որը վերացնում է ատամնաքարը և միկրոբները, որոնք կարիեսի և բերանից տհաճ հոտի պատճառ են:
Բաղադրիչները՝
- 1 ճ. գ. կերակրի սոդա
- ½ թ. գ. աղ
- ½ բաժակ ջրածնի պերօքսիդ
- 1 բաժակ սառը ջուր
- ½ բաժակ տաք ջուր
- ատամի խոզանակ
- ատամի փայտիկներ
Պատրաստումը՝
Խառնեք աղն ու սոդան, ատամի խոզանակը թրջեք տաք ջրով: Խառնուրդը լցրեք ատամի խոզանակի վրա և մաքրեք ատամները: Հետո թքեք: Սա կրկնեք 2 րոպե:
Հետո խառնեք ջրածնի պերօքսիդը և տաք ջուրը և այդ լուծույթն օգտագործեք 1 րոպե բերանը ողողելու համար: Վերջում ատամի փայտիկներ օգտագործեք ատամների մեջտեղի ատամնաքարերը մաքրելու համար: Լվացեք սառը ջրով:

Լրացուցիչ խորհուրդներ՝
Երբեք չպետք է կուլ տաք բերանը ղողելու հեղուկը, քանի որ այն կարող է վնասակար բաղադրիչներ պարունակել:
Ատամենրը մաքրեք առնվազն օրական 3 անգամ ատամի որակյալ մածուկով:
Կծու սնունդը խթանում է թքագեղձերի աշխատանքը, իսկ թուքը բնական ճանապարհով ախտահանում է բերանի խոռոչը: