Երևան, 19.Փետրվար.2026,
00
:
00
ՄԵՆՅՈՒ
Մի շարք փոփոխություններ՝ ԶՈՒ կարիքների համար գնումների գործընթացում. «Փաստ» Աշխարհաքաղաքական նոր «մեսիջներ». անվտանգության ավանդական երաշխիքներն այլևս հուսալի չեն. «Փաստ» Ընտրությունների մասնակցության յուրաքանչյուր ձայնի ուժը և լռության գինը. «Փաստ» Սարսափ ոչ միայն իշխանությունը կորցնելուց, այլև միասնականությունից. «Փաստ» «Այս ամենն իրավունքի գերակայության և իրավականության հետ աղերս չունեցող գործընթաց է՝ բացառապես տեղավորվող քաղաքական ծիրում». «Փաստ» Այդ ի՞նչ «ձեռքբերումներից» են խոսում իշխանությունները. «Փաստ» «Ընդդիմադիր ուժերը պետք է միավորվեն մի քանի խոշոր գաղափարական դաշինքների մեջ և պարտության մատնեն գործող վարչախմբին». «Փաստ» Ընտրական շրջանի «բացումից» երկու օր անց Սյունիքի մարզպետը ֆինանսական աջակցություն է բաժանել բնակիչներին. «Փաստ» ՔՊ-ում էլի ներքին խմորումներ են. «Փաստ» Իրանի դեմ նոր պшտերազմը օգուտ չի բերի տարածաշրջանին. Էրդողան


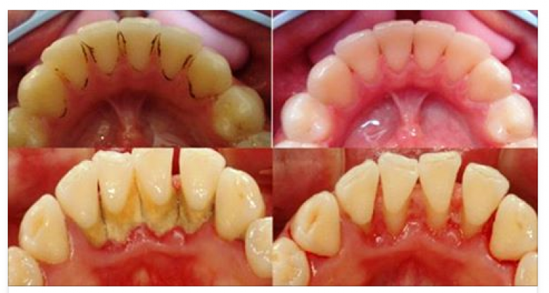
Հզոր միջոց, որը պայքարում է ատամնաքարի դեմ ուլտրաձայնից 100 անգամ ավելի լավ

Lifestyle

Ամեն օր ուտելուց հետո ատամների վրա բարակ թաղանթ է գոյանում՝ ատամնափառ: Այն ժամանակին չմաքրելու դեպքում ժամանակի ընթացքում կամրանա և կարող է վերածվել ատամնաքարի:

Իսկ բակտերիաները որոշակի թթուներ են անջատում, որոնք վնասում են էմալը:

Դրա մեջ անցքեր ձևավորելով՝ բակտերիաները հասնում են ատամի ներս և կարիես են առաջացնում:

Այսպիսի խնդիրներից խուսափելու համար խորհուրդ ենք տալիս օգտվել ստուգված միջոցներից և մեկընդմիշտ ազատվել ատամնաքարից:

   

Ատամնաքարի հեռացում

Կռատուկի արմատով և լոբու կեղևով թուրմ

Բաղադրիչները՝

  • 1/2 թ. գ. կռատուկի չոր արմատ
  • 1/2 թ. գ. լոբու չոր կեղև
  • 200 մլ ջուր

Պատրաստումը՝

1. Կռատուկի արմատը և լոբու կեղևը լցրու ոչ մեծ տարայի մեջ, վրան եռացած ջուր լցրու:

2. Թող միջոցը թրմվի մեկ օր:

Այս ժամանակից հետո կարելի է թուրմն ընդունել 1-ական ճ. գ. օրական 3 անգամ: Աշխատիր միջոցը մի քանի րոպե պահել բերանիդ խոռոչում:

Ծիծեռնախոտի թուրմ

Բաղադրիչները՝

  • 1 թ. գ. ծիծեռնախոտ
  • 200 մլ ջուր

Պատրաստումը՝

1. Ծիծեռնախոտի վրա եռացած ջուր լցրու:

2. Թող միջոցը թրմվի 30 րոպե, հետո քամիր:

Բերանիդ խոռոչը ողողիր այս միջոցով օրական 3 անգամ:

Աշխատիր թուրմը հնարավորինս շատ պահել բերանումդ:

Պետք է թուրմերը պատրաստել 2 ամիս տեսանելի արդյունքի հասնելու համար:

Մենք ամեն գնով պետք է պաշտպանենք մեր ինքնությունը․ Արթուր Վանեցյան Մի շարք փոփոխություններ՝ ԶՈՒ կարիքների համար գնումների գործընթացում. «Փաստ»Եպիսկոպոսների ժողովը Ավստրիայում և ներքաղաքական ճնշումների ստվերը Արդյունաբերական վերածնունդի օրակարգ․ «Միասնության թևեր»-ը ներկայացրեց իր տնտեսական տեսլականը Մենք այնքան ենք իրար ատում ու այնքան ենք իրար հանդեպ թշնամացած, որ մեզ օտար թշնամիներ էլ պետք չեն. Մհեր ԱվետիսյանԱշխարհաքաղաքական նոր «մեսիջներ». անվտանգության ավանդական երաշխիքներն այլևս հուսալի չեն. «Փաստ»Բաց նամակ ՀՃՇ առաջնորդ գեներալ-մայոր Արշակ Կարապետյանին` Ազգային Հպարտության Տրիբունալի վերաբերյալԸնտրությունների մասնակցության յուրաքանչյուր ձայնի ուժը և լռության գինը. «Փաստ»Սարսափ ոչ միայն իշխանությունը կորցնելուց, այլև միասնականությունից. «Փաստ»«Այս ամենն իրավունքի գերակայության և իրավականության հետ աղերս չունեցող գործընթաց է՝ բացառապես տեղավորվող քաղաքական ծիրում». «Փաստ»Այդ ի՞նչ «ձեռքբերումներից» են խոսում իշխանությունները. «Փաստ»«Ընդդիմադիր ուժերը պետք է միավորվեն մի քանի խոշոր գաղափարական դաշինքների մեջ և պարտության մատնեն գործող վարչախմբին». «Փաստ»Ընտրական շրջանի «բացումից» երկու օր անց Սյունիքի մարզպետը ֆինանսական աջակցություն է բաժանել բնակիչներին. «Փաստ»ՔՊ-ում էլի ներքին խմորումներ են. «Փաստ»Շոուի վերածված «արդարադատություն». Վահե Հակոբյանի գործի իրական նպատակը. «Փաստ»Տիգրան Բարսեղյանը հեռացավ Հայաստանի հավաքականից Շվեդիան իր նոր տարեկան հետախուզական զեկույցում Ռուսաստանին անվանել է «գլխավոր ռազմական սպառնալիք»ՌԴ–ն մեղադրել է Telegram-ին «արտասահմանյան հետախուզական գործակալություններին» նամակագրությունը բացահայտելու մեջՀայաստանը դառնում է Կովկասի առաջին թեկնածուն` «Գաստրոնոմիայի համաշխարհային տարածաշրջան 2028» կոչման համարԸնտրական շրջանի բացումից երկու օր անց․ Սյունիքի մարզպետը ֆինանսական աջակցություն է բաժանել բնակիչներինՌԴ-ն հույս ունի, որ Իրանի շուրջ բանակցությունները չեն ավարտվի ռազմական արկածախնդրությամբ. ԶախարովաiPhone 18 Pro-ն և Pro Max-ը կունենան միայն eSIM44-ամյա Ջեսիկա Ալբան ամուսնալուծվելուց հետո հանդիպում է 33-ամյա ընկերոջ՝ Դենի Ռամիրեսի հետԵրևանում մոռացել են հայկական երկաթուղում կատարված ռուսական ներդրումների մասին. ԶախարովաԻրանի դեմ նոր պшտերազմը օգուտ չի բերի տարածաշրջանին. Էրդողան Մոուրինյուն մեկնաբանել է Մադրիդի «Ռեալի» դեմ խաղում տեղի ունեցած սկանդալը Վլադիմիր Արզումանյանը նոր տեսահոլովակ է ներկայացրել «Պետք է համախմբվել «Ո՛չ Արևմտյան Ադրբեջանին» օրակարգի շուրջ»․ նամակ՝ ՄԱԿ ներկայացուցչությանը (տեսանյութ)Զելենսկին պատժամիջոցներ է սահմանել Լուկաշենկոյի դեմ ԶՊՄԿ-ն ձեռք բերեց տարածաշրջանում առաջին Komatsu PC 4000 մակնիշի էքսկավատորըՄեկնարկում է Ժամանակակից երաժշտության փառատոնըԱրտաշատում բացվել է Ամերիաբանկի նոր մասնաճյուղը․ հատուկ առաջարկներ նոր հաճախորդների համար«Լուսավոր Հայաստան» կուսակցությունը հայտարարում է ընտրություններին մասնակցելու ցանկություն ունեցող անկուսակցական քաղաքացիների գրանցման մեկնարկը․ Էդմոն ՄարուքյանIDBank-ը զգուշացնում է համացանցում սոցիոլոգիական կեղծ հարցումների աճի մասինԱյսօր տեղի ունեցավ «ՀայաՔվե» միավորման պաշտոնական շնորհանդեսը. Ավետիք ՉալաբյանTRIPP-ը պետք է իրականացվի հայկական սուվերեն վերահսկողության ներքո․ Ավետիք ՉալաբյանՏարեցները պետք է ազատվեն տրանսպորտային վճարից․ Հրայր ԿամենդատյանՓաշինյանը մեկնել է Վաշինգտոն՝ Թրամփի արկածախնդրությանը մասնակցելու Իշխանությունները հիմնովին ձախողել են Երևանի փոսալցման աշխատանքները Պարգևատրել են «պադավատով», որ չնեղացնեն Հնդկաստանում արևային էներգետիկան դարձել է սեփական հաջողության գերին 18 արդարների գործով դատական նիստը տեղի կունենա փետրվարի 19-ին. Սրբազան Պայքար«Քաղաքացիական պայմանագիր»-ը փորձում է նույնացնել հայրենիքն ու պետությունը․ Արեգ Սավգուլյան«ՀայաՔվե» միավորման քաղաքական հայտի շնորհանդեսը` լուսանկարներով«Բացառում ենք գործող վարչախմբի, նրա արբանյակների, նախորդ իշխանությունները ներկայացնող ուժերի հետ դաշինքները». Ավետիք ՉալաբյանԵթե ճամփաբաժանը ճիշտ անցնենք՝ դրան կհաջորդի հազարամյակներ. Ավետիք ՉալաբյանԱվետիք Չալաբյանը ներկայացրել է նոր քաղաքական ուժի՝ «Հայկական քվե»-ի առաջնահերթություններըԲարձրագույն կրթությունը ՀՀ քաղաքացիների համար պետք է լինի անվճար․ Ցոլակ Ակոպյան Կրթության բնորոշիչ հատկանիշները պետք է լինեն արժեքն ու որակը․ Մենուա ՍողոմոնյանՀայաստանի սահմանամերձ գյուղերում դպրոցներ են փակվում