Երևան, 17.Փետրվար.2026,
00
:
00
ՄԵՆՅՈՒ
ՀԷՑ-ը խլվել է եւ գործընթացը քաղաքական է. Դավիթ Ղազինյան Ոչ մի պետություն դեռևս չունի կառուցված մոդուլային ԱԷԿ, որ տեսնես՝ ինչպես է այն աշխատում․ Ղազինյան ՀԾԿՀ նախագահն ընդունեց, որ ՀԷՑ-ի վերցրած վարկերի տոկոսները վճարում է սեփականատերը՝ հիմնավորելով, որ ՀԷՑ-ը խլվել է. Դավիթ Ղազինյան ՀԷՑ-ում 40 տոկոսով ավելացել է վթարների թիվը, իրենք հայտարարում են, որ չի աճել. Դավիթ Ղազինյան Որո՞նք են Կրեմլի «կարմիր գծերը», ի՞նչ սցենարներ են «նշմարվում». «Փաստ» Ովքե՞ր են Փաշինյան-Ալիև դուետի գործունեության դիրիժորն ու նվագակցողը. «Փաստ» «Մա՛մ, երկար չեմ կարող խոսել, բոլորին կբարևես, կասես, որ ամեն ինչ լավ է». Վահագն Գևորգյանն անմահացել է հոկտեմբերի 10-ին Հադրութում, տուն «վերադարձել»... մոտ չորս ամիս անց. «Փաստ» «Իրենց միակ կարմիր գիծը իշխանությունը պահելն է, մնացած բոլոր դեպքերում ցանկացած կարմիր գիծ հատելի է այս իշխանությունների համար». «Փաստ» Երբ նման հայտարարություններ անում է վարչապետը, դա արդեն հակաժողովրդավարական հրահանգ ու ցուցում է. «Փաստ» Անկումային և ճգնաժամային. Հայաստանի արտաքին առևտրի դիսբալանսը. «Փաստ»


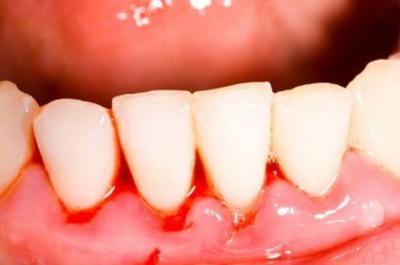
Հիվանդություններ, որոնց վաղ ախտանշան կարող է լինել լնդերի արնահոսությունը

Lifestyle

Լնդերի անրնահոսությունը  ոչ միշտ է, որ բերանի խոռոչի վարակների ու կարիեսի նշան է: Երբեմն այն հանդիսանում է ավելի վտանգավոր հիվանդության, օրինակ ՄԻԱՎ–ի ազդանշան: Մասնագետները ներկայացրել են, թե ինչու ոչ մի դեպքում չի կարելի անտեսել լնդերի արնահոսությունը:   

1. Շաքարային դիաբետ

Գոյություն ունի ուղիղ կապ շաքարային դիաբետի ու պերիոդոնտոզ հիվանդության, այդ թվում նաև գինգիվիտի(հարատամնային հյուսվածքի բորբոքային հիվանդություն)մեջ: Լնդերի արնահոսությունն առհասարակ շաքարային դիաբետի առաջին նախանշաններից է: Լնդերի առատ արնահոսության դեպքում, գրեթե հնարավոր չէ կառավարել արյան մեջ շաքարի մակարդակը:  

2. Թրոմբոցիտոպենիա

Սա արյան մեջ թրոմբոցիտների դեֆիցիտն է: Այն առաջացնում է հյուսվածքների ու լնդերի  արնահոսություն, կապտուկների առաջացում ու վնասվածքներից հետո արյան դանդաղ մակարդելիություն:   Այն կարող է առաջացնել նաև բերանի խոռոչում ուռուցքներ: Այս հիվանդության դեպքում, անգամ աննշան վնասվածքների առաջացումը կարող է հրահրել արնահոսություն:  

3. Լեյկեմիա

Լեյկեմիայի առաջին իսկ ախտանշաններից են գինգիվիտն ու լնդերի արնահոսությունը: Սա շատ ծանր վիճակ է, որը պահանջում է շտապ  բժշկական միջամտություն: Եթե դուք պահպանում եք բերանի խոռոչի նորմալ հիգիենան, սակայն արնահոսությունը շաբաթից ավել շարունակվում է, ապա դիմեք ատամնաբույժի:  

4. ՄԻԱՎ

ՄԻԱՎ վարակով հիվանդների 90%-ը բախվում է բերանի խոռոչի հետ կապված որևէ հիվանդության հետ, այդ թվում լնդերի արնահոսության հետ: Սակայն դա չի նաշանակում, որ այն հանդիսանում է ՄԻԱՎ-ի  պարտադիր նախանաշան:  

5. Գինգիվիտ

Գիգվիտը  կարող է առաջնալ նաև հղիության հետևանքով, քանի որ այդ վիճակում հաճախակի լնդերի մոտ նկատվում է արնահոսություն կամ գերզգայուն վիճակ: Հղիության հորմոնները կարող են առաջացնել լնդերի այտուցներ ու բորբոքում, որն էլ և հրահրում է արնահոսության առաջացում: 

ՔՊ-ում տագնապ է հայտարարաված. Արեգնազ ՄանուկյանՀԷՑ-ը խլվել է եւ գործընթացը քաղաքական է. Դավիթ Ղազինյան ՀԷՑ-ի կողմից հայցեր են գնացել ՏԿԵՆ-ի դեմ, բայց կառավարիչը հետ է վերցրել դրանք. Դրա իրավունքը չունի. Դավիթ ՂազինյանՀԷՑ-ում երկիշխանություն է, ինչպես «սքեչում» է ասվում՝ մենք ամեն ինչ գիտենք. Դավիթ Ղազինյան Ոչ մի պետություն դեռևս չունի կառուցված մոդուլային ԱԷԿ, որ տեսնես՝ ինչպես է այն աշխատում․ Ղազինյան Հայաստանի մարզերի խոշոր հարկատուները․ Սյունիքի մարզի խոշոր հարկատուն ԶՊՄԿ-ն է Մոդուլային ատոմակայանով էլեկտրաէներգիայի ինքնարժեքը լինելու է 60-80 դրամ, սա շատ թանկ է․ Դավիթ ՂազինյանԳնալու են գերակա շահ ճանաչելու ճանապարհով. Կարապետյանի ռեյտինգի հետևանքով սրվում է իշխանության վարքը. Դավիթ Ղազինյան ՀԾԿՀ նախագահն ընդունեց, որ ՀԷՑ-ի վերցրած վարկերի տոկոսները վճարում է սեփականատերը՝ հիմնավորելով, որ ՀԷՑ-ը խլվել է. Դավիթ Ղազինյան Իշխանությունները չեն ցանկանում հայտարարել, որ սարքավորումները, որի արդյունքում վերացվեց Էրեբունիում վթարը, տրվել է «Տաշիր»-ի կողմից՝ պարոն Կարապետյանի համաձայնությամբ. ՂազինյանՀԷՑ-ում 40 տոկոսով ավելացել է վթարների թիվը, իրենք հայտարարում են, որ չի աճել. Դավիթ Ղազինյան Ի՞նչ սպառնալիքներ և հնարավորություններ ունի TRIPP-ը․ Նաիրի Սարգսյան Բաքվի բռնապետական տրիբունալը 20 տարի ազատազրկման է դատապարտել Ռուբեն Վարդանյանին. Ավետիք ՉալաբյանԹոշակառուների անկանխիկ ծախսերը նվազագույն են, հետվճարի այդ մեխանիզմը՝ անարդյունավետ․ Դավիթ ՀակոբյանԲաժանիր, որ տիրես․ մեր ժողովրդին միտումնավոր են պառակտել․ Լիլիթ Արզումանյան Դավիթ Ղազինյանի ասուլիսը. ուղիղՖասթ Բանկը 600 միլիոն դրամից ավելի աջակցություն է տրամադրել տարբեր նախագծերի Ո՞վ կփոխարինի Հրայր Թովմասյանին 2024 թվականին ՀՀ-ում հանրաքվե չի եղել, առանց հանրաքվեի այդ տարածքները Ադրբեջանին փոխանցելը հանձնում անվանելը, մեղմ ասած, արդարացված է․ Մելոյանը՝ Կիրանցի մասինԲացի թուրքից, բոլորը ձեզ համար թշնամի՞ են. Արման ԱբովյանԲանջարեղեն արևային վահանակների տակ. Ուզբեկստանը և Ֆրանսիան գործարկում են ագրովոլտային համակարգեր Ջրի ուժից «թռչող տախտակ» կամ թռիչք ջրի վրայով. «Փաստ»Բուհեր, ուսանողական ինքնակառավարում և պետական գերակայություններ․ բարձրագույն կրթության խնդիրները«ՀայաՔվեն» «Անի պլազա» հյուրանոցի «Նաիրի» սրահում մամուլի ասուլիս-շնորհանդեսով կազդարարի իր քաղաքական հայտի մեկնարկըԻնչ նպատակով ենք մենք մտնում քաղաքականություն, և որն է մեր առանցքային հանձնառությունը. Ավետիք ՉալաբյանԹող գնան ղուրբան լինեն 5000 տղերքին. վանաձորցիների կարծիքները. «Համահայկական ճակատ» շարժումՎաղը` ժամը 15:00-ին, ՀՀ գլխավոր դատախազության շենքի առջև կկայանա ակցիա. «Համահայկական ճակատ» շարժումՊԱՏՄՈՒԹՅԱՆ ԱՅՍ ՕՐԸ (17 ՓԵՏՐՎԱՐԻ)․ Բազմամարդ հանրահավաք Երևանում, քաղաքական կոալիցիայի ստեղծում. «Փաստ»Սահմանադրական փոփոխությունների հանձնաժողովն է արձանագրել, որ Վենետիկի հանձնաժողովը խնդրել է վերացնել երկքաղաքացիության և մշտական բնակությունների ցենզերը. Ռ. ՀայրապետյանՀայաստանին անհրաժեշտ են տնտեսական և ենթակառուցվածքային խոշոր նախագծեր. Գագիկ ԾառուկյանՈրո՞նք են Կրեմլի «կարմիր գծերը», ի՞նչ սցենարներ են «նշմարվում». «Փաստ»Ստորագրահավաք՝ ի աջակցություն Հայ Առաքելական Սուրբ Եկեղեցու Ովքե՞ր են Փաշինյան-Ալիև դուետի գործունեության դիրիժորն ու նվագակցողը. «Փաստ»Մարդը կարո՞ղ է պահպանել իր գոյաբանական և էութաբանական ինքնությունը. «Փաստ»Իրավական դաշտում է ամեն ինչ․ Սամվել Կարապետյանի առաջադրումը հանգիստ չի տալիս իշխանությանը Սփյուռքը բարձրաձայնում է․ Ֆրանսիայից մինչև Արգենտինա՝ ի պաշտպանություն Հայ Առաքելական Սուրբ Եկեղեցու «Մա՛մ, երկար չեմ կարող խոսել, բոլորին կբարևես, կասես, որ ամեն ինչ լավ է». Վահագն Գևորգյանն անմահացել է հոկտեմբերի 10-ին Հադրութում, տուն «վերադարձել»... մոտ չորս ամիս անց. «Փաստ»«Իրենց միակ կարմիր գիծը իշխանությունը պահելն է, մնացած բոլոր դեպքերում ցանկացած կարմիր գիծ հատելի է այս իշխանությունների համար». «Փաստ»Երբ նման հայտարարություններ անում է վարչապետը, դա արդեն հակաժողովրդավարական հրահանգ ու ցուցում է. «Փաստ»Անկումային և ճգնաժամային. Հայաստանի արտաքին առևտրի դիսբալանսը. «Փաստ»Ամոթի ու խայտառակության խարանով դաջված. ո՞ւմ են երջանկացնում Հայաստանի իշխանությունների գործողությունները. «Փաստ»«ՀայաՔվեն» քաղաքական հայտ է ներկայացնում իշխանափոխության օրակարգով. «Փաստ»Ի՞նչ պլաններ ունեն Արևմուտքն ու Փաշինյանը երկաթուղու առումով. «Փաստ»Մեր կապը էս լեռան հետ անբացատրելի ա, ուրիշ ու ուժեղ. Լևոն ՔոչարյանՊետական բուհերը ֆինանսապես պահում են ուսանողները, բայց վերահսկում են քաղաքական իշխանության ներկայացուցիչները. Մենուա ՍողոմոնյանԹուրքիայի Արտգործնախարարը հայտարարեց, որ աջակցում են ՓաշինյանինԻ՞նչ կասեք Փաշինյանին, եթե ձեր դիմաց դուրս գաՍա միայն հնարավորություն է բացում ՀՀ-ի համար գնել պրոյեկտ ԱՄՆ-ից․ Ռոբերտ ՔոչարյանԱտոմային էներգետիկան ԱՄՆ-ում չափազանց թանկ է․ Ռոբերտ ՔոչարյանIDBank-ը ներկայացուցչություն է բացել ԱՄՆ Կալիֆորնիա նահանգի Գլենդել քաղաքում