Երևան, 15.Փետրվար.2026,
00
:
00
ՄԵՆՅՈՒ
Մի փոքրիկ հողակտոր, և ամբողջ Միացյալ Նահանգներն ու Եվրոպան ամբողջությամբ կապահովվեն արևային էներգիայով Կարապետյան ընտանիքը` քաղցկեղ ունեցող երեխաների կողքին Այս մարդը վերջին ութ տարվա ընթացքում ինչ ուզել է, ստացել է Փաշինյանից։ Կա՞ կասկած, որ Փաշինյանի կառավարությունը, եթե վերընտրվի, սա էլ չի ստանա. Նարեկ Կարապետյան Պուտինի վարքագիծը նման է խելագարության․ Ռյուտե Ինստիտուցիոնալացված սպառնալիք Հայաստանի համար. «Փաստ» Այս ամենից շահում է միայն ԱՄՆ-ը. «Փաստ» «Երբ մի անծանոթ համարից զանգ է գալիս, ինձ թվում է՝ Ազատս է, հիմա կասի՝ մա՛մ». Ազատ Գրիգորյանն անմահացել է հոկտեմբերի 10-ին Հադրութում, տուն «վերադարձել»... ինն ամիս անց. «Փաստ» Պատանի երգչուհի Նատալի Սաֆարյանի առաջին մենահամերգը՝ Հայաստանի սահմաններից դուրս. «Փաստ» Միջազգային այցերի շուրջ հանրային էմոցիոնալ պոռթկումների ու իրականության հակադրությունը. «Փաստ» Ինչո՞ւ են իշխանությունները թուլացնում պետականության իմունիտետը. «Փաստ»


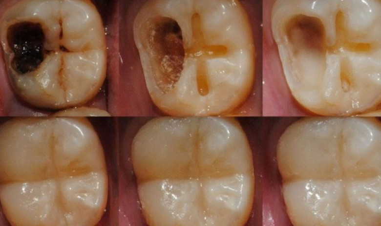
Ընդամենը 5 քայլ կարիեսը կանգնեցնելու և ատամները փրկելու համար

Lifestyle

Ներկայացնում ենք 5 քայլ՝ կարիեսը կանգնեցնելու և ատամները փրկելու համար:

1. Խուսափեք ֆիտինաթթու պարունակող մթերքների օգտագործումից
Այն պարունակում են լոբազգիները, ընկուզեղենը, սերմերը և հատիկեղենը:

Թթուն վերացնելու համար լոբազգիները, ընկուզեղենը, հատիկեղենը թրջեք ջրի և 1 ճ. գ. քացախի կամ կիտրոնի թթվի լուծույթի մեջ, թողեք գիշերը մնա:

2. Սննդանյութերով հարուստ մթերքներ օգտագործեք
Դա կօգնի կանխել կամ բուժել կարիեսը: Պետք է ուտեք կանաչ տերևավոր բանջարեղեն և օգտակար ճարպեր՝ ձիթապտղի յուղ, կոկոսի յուղ, ավոկադո և այլն:

3. Ավելի քիչ քացր կերեք

4. Ողողում յուղով
Բերանը մոտ 20 րոպե լվացեք 1 ճ. գ. հում օրգանական կոկոսի յուղով, հետո յուղը թքեք:

Սկսեք 5 րոպեից, պրոցեդուրան պարբերաբար արեք:

5. Ատամները հանքայնացված ատամի մածուկով մաքրեք
Պետք է ատամները մաքրեք առանց ֆտորիդների մածուկով՝ բերանի խոռոչի առողջությունը պահպանելու համար: Բայց այդ ատամի մածուկը կարող է թանկ արժենալ:

Կարող եք սեփական մածուկ պատրաստել:

Բաղադրիչները՝

  • Քառորդ թ. գ. կերակրի սոդա
  • 3 ճ. գ. դիատոմիտի փոշի
  • Քառորդ թ. գ. բուրավետ քլորոֆիլ,
  • Քառորդ թ. գ. անանուխի էքստրակտ,
  • Կես թ. գ. հում օրգանական կոկոսի յուղ,
  • 1 ճ. գ. ֆիլտրացված ջուր:

Պատրաստումը՝
Խառնեք բոլոր բաղադրիչները:

Հորոսկոպ. Տարվա առաջին խավարումը, որը նշանավորում է նոր փուլի սկիզբը Մի փոքրիկ հողակտոր, և ամբողջ Միացյալ Նահանգներն ու Եվրոպան ամբողջությամբ կապահովվեն արևային էներգիայով Կարապետյան ընտանիքը` քաղցկեղ ունեցող երեխաների կողքինԱյս մարդը վերջին ութ տարվա ընթացքում ինչ ուզել է, ստացել է Փաշինյանից։ Կա՞ կասկած, որ Փաշինյանի կառավարությունը, եթե վերընտրվի, սա էլ չի ստանա. Նարեկ Կարապետյան Պուտինի վարքագիծը նման է խելագարության․ Ռյուտե Ուկրաինայում չկա մի էլեկտրակայան, որը չի տnւժել ռուսական հարձակnւմներից․ Զելենսկի Մենք չենք կարող մեզ թույլ տալ ավելի շատ չծախսել պաշտպանության վրա․ ֆոն դեր Լայեն Հաղթում է անզուսպը, հախուռնը, խելագարը. Կաթողիկոսի դեմ քրեական գործ է հարուցվել, ի՞նչ անել․ Էդմոն Մարուքյան Իջևան-Սևան-Երևան ճանապարհին մեքենաներ են բախվել․ կա տուժած Մայր Աթոռը՝ Գարեգին Երկրորդի նկատմամբ քրեական հետապնդման մասին Ռոբերտ Լևանդովսկու ծառայություններով հետաքրքրված է հինգ ակումբ Ինչպիսի՞ Վալենտին եք դուք՝ ըստ ձեր կենդանակերպի նշանի Ուկրաինայի ԶՈւ-ն հրթիռային հարված է հասցրել Բելգորոդին. կա երկու զոհ Զելենսկին «պետք է շարժվի» հակամшրտության կարգավորման ուղղությամբ, հակառակ դեպքում նա կարող է բաց թողնել կարգավորման «մեծ հնարավորությունը»․ ԹրամփԱրվեստ՝ պոդիումի վրա. Ուես Գորդոնը կին-մուսաներին վերածում է պայծառ հերոսուհիների՝ Carolina Herrera-ի նոր հավաքածուի համարՊատերшզմը կավարտվի, երբ Ռուսաստանը տնտեսապես կամ ռազմшկան առումով nւժասպառ կլինի․ ՄերցԱյսօր տեղի ունեցավ աննախադեպ մի բան` քրեական հետապնդում հարուցվեց Ամենայն Հայոց Հայրապետի դեմ․ Նարեկ ԿարապետյանՇիրակի քրեական ոստիկանները բացահայտել են բնակարանային գnղության երկու դեպքԱռգրավվել է հալյուցինոգեն սնկերով հարյուր փաթեթՔաղաքականություն ենք մտնում՝ հայակենտրոն ու բազմավեկտոր ուղեգիծ ձևավորելու համար․ Ավետիք ՉալաբյանՄենք վճռականորեն կիրառելու ենք Սահմանադրությամբ և օրենքներով ամրագրված ողջ գործիքակազմը ունենալու համար ՈՒԺԵՂ ՀԱՅԱՍՏԱՆ. Արթուր ԴանիելյանՀայ ազգն արժանի է ուժեղ առաջնորդի. Ալիկ ԱլեքսանյանԱյն ինչ մատուցվում է այսօր մեր ժողովրդին, իրականության հետ աղերս չունի. ՔոչարյանՍա մի փոթորիկ էր բաժակի մեջ. Ռոբերտ Քոչարյան Այս երկու օր տևող խոսակցության սպառման լավագույն լուծումը. Արամ ՎարդևանյանՀայաստանի ժողովրդի կամքն ու պատիվն է պաշտպանել Հայ Առաքելական Եկեղեցին․ այդ առաքելությունն այսօր իրականություն է դառնում Սամվել Կարապետյանի հետ․ Ռոբերտ ԱմստերդամՈւրբաթ 13. Երբ ձախողումները դառնում են հաջողության նոր սկիզբ Թոշակառուներին դարձրել են «տեսուչ»՝ փոքր հետվճարի դիմաց․ Հրայր ԿամենդատյանԶՊՄԿ-ը սերունդների պատմություն ունի. Վահրամ Գաբրիելյանի օրինակով Իշխանությունը փորձում է «վերադաստիարակել» թոշակառուներին․ Արեգ ՍավգուլյանԻշխանության ողջ հույսն ու հավատն ուժայինների անօրինական գործողություններն են, որոնք ամենօրյա ռեժիմով կոնկրետ թիրախներnվ են աշխատում․ Աբրահամյան Խմիչքի գործարանի՝ 8 կիլոմետր երկարությամբ և 38 մետր խորության վրա գտնվող նկուղներ, որոնք ճանաչվել են պատմական հուշարձան. «Փաստ»Պետք է ստեղծենք համերաշխության մթնոլորտ և վերականգնենք մեր հաղթական կեցվածքը․ Ավետիք ՔերոբյանՏարօրինակ զարգացումներ «Հարավկովկասյան երկաթուղու» շուրջ ՊԱՏՄՈՒԹՅԱՆ ԱՅՍ ՕՐԸ (14 ՓԵՏՐՎԱՐԻ). Օդանավի վթար «Զվարթնոց» օդանավակայանում. «Փաստ»Ծիծեռնակաբերդից մինչև Մայր Աթոռ. Ի՞նչ զիջումներ է նախապատրաստում իշխանությունը. Էդմոն Մարուքյան Փաշինյանը գազազել է սփյուռքահայ գործիչների հայտարարությունից Ինստիտուցիոնալացված սպառնալիք Հայաստանի համար. «Փաստ»Ադրբեջանը կոշտացնում է հռետորաբանությունըԳերիները Սիրանուշ Սահակյանի ջանքերով կվերադառնան․ Աննա ԿոստանյանՀասանովին ու Միխայլովին դուրս կգրե՞ն «Քաղպայմանագրի» ցուցակիցՀամախմբումն է միակ ելքը, ազգային և պետական շահը՝ վեր ամեն ինչից․ Արսեն ԳրիգորյանԱյս ամենից շահում է միայն ԱՄՆ-ը. «Փաստ»Թափանցիկ արևային պատուհաններ. նոր տեխնոլոգիան էլեկտրաէներգիա է արտադրում 24/7 ռեժիմով «Երբ մի անծանոթ համարից զանգ է գալիս, ինձ թվում է՝ Ազատս է, հիմա կասի՝ մա՛մ». Ազատ Գրիգորյանն անմահացել է հոկտեմբերի 10-ին Հադրութում, տուն «վերադարձել»... ինն ամիս անց. «Փաստ»Սամվել Կարապետյանի աննախադեպ հայտարարությունը արհեստական բանականությամբ Վախի քաղաքականությունը և հաղթանակի սպասումը Պատանի երգչուհի Նատալի Սաֆարյանի առաջին մենահամերգը՝ Հայաստանի սահմաններից դուրս. «Փաստ»Չի կարելի կառավարության ձախողումների ու տեղի ունեցած ողբերգությունների պատասխանատվությունը դնել ժողովրդի վրա. Արտակ ԶաքարյանԻնչո՞ւ են վախենում Սամվել Կարապետյանի ղեկավարած շարժումից. Ոսկան Սարգսյան