Երևան, 15.Փետրվար.2026,
00
:
00
ՄԵՆՅՈՒ
Պուտինի վարքագիծը նման է խելագարության․ Ռյուտե Ինստիտուցիոնալացված սպառնալիք Հայաստանի համար. «Փաստ» Այս ամենից շահում է միայն ԱՄՆ-ը. «Փաստ» «Երբ մի անծանոթ համարից զանգ է գալիս, ինձ թվում է՝ Ազատս է, հիմա կասի՝ մա՛մ». Ազատ Գրիգորյանն անմահացել է հոկտեմբերի 10-ին Հադրութում, տուն «վերադարձել»... ինն ամիս անց. «Փաստ» Պատանի երգչուհի Նատալի Սաֆարյանի առաջին մենահամերգը՝ Հայաստանի սահմաններից դուրս. «Փաստ» Միջազգային այցերի շուրջ հանրային էմոցիոնալ պոռթկումների ու իրականության հակադրությունը. «Փաստ» Ինչո՞ւ են իշխանությունները թուլացնում պետականության իմունիտետը. «Փաստ» «Ակտիվ, հետևողական պայքարն ավարտվելու է իրավունքի, այլ ոչ թե ուժի և «զոռբայության» հաղթանակով». «Փաստ» Ռուսաստանը չի մասնակցի Թրամփի նախաձեռնած Խաղաղության խորհրդի նիստին. Զախարովա Սոված են, չեն հագենում, 3-րդ ժամկետն են ուզում. ի՞նչ չես հասցրել անել. Նարեկ Կարապետյանը՝ Փաշինյանին


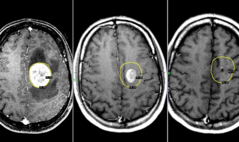
Գլխուղեղի ուռուցքի 10 առաջին նշանները, որոնց մասին պետք է յուրաքանչյուրն իմանա

Lifestyle

Ներկայացնում ենք գլխուղեղի ուռուցքի 10 առաջին նշանները, որոնց մասին պետք է յուրաքանչյուրն իմանա:

1. Ջղաձգություններ
Հիվանդների մոտ 60%-ը տառապում է ջղաձգություններով:

Ուռուցքի դիրքից կախված՝ ջղաձգությունները կարող են լինել ընդհանուր՝ ազդել ամբողջ մարմնի վրա, կամ մասնակի՝ դրսևորվել սպազմով առանձին մկանային խմբում:

2. Գլխացավ
Գլխուղեղի ուուցք ունեցողների մոտ 50%-ը գանգատվում է ցավից, թեև նույնիսկ չի կասկածոմ, որ դա ուռուցքի հետ է կապված:

3. Սրտխառնոց և փսխում
Եթե սրտխառնոց և փսխում եք ունենում առանց մարսողական խանգարումների, դրանք կարող են պայմանավորված լինել գլխացավով և բարձր ճնշումով: Հիվանդների 40%-ը գանգատվում է սրտխառնոցից և փսխումից:

 

4. Տեսողության խանգարում
Եթե հստակ չեք տեսնում, իրերի ուրվագծերն աղավաղվում են, 2 կամ 3 հատ են երևում, դա նույնպես կարող է ուղեղի ուռուցքի նշան լինել:

5. Անձի փոփոխություններ
Կարող եք ձեզ տարօրինակ պահել որոշակի սոցիալական իրավիճակում, օրինակ՝ հայհոյել կամ ագրեսիվ դառնալ: Սովորաբար մտերիմները նկատում են, որ հիվանդի բնավորությունը կտրուկ կամ աստիճանաբար փոխվում է:

6. Խոսքի և լսողության խանգարումներ
Կակազելը, բառերը մոռանալը, անիմաստ խոսքը դիսֆազիայի և աֆազիայի նշաններ են, որոնք կարող են պայմանավորված լինել ուռուցքով: Շփման հմտությունների հանկարածակի կորուստը կարող է խոսել գլխուղեղի ուռուցքի մասին:

7. Հիշողության խանգարումներ
Եթե հիվանդները մոռանում են առարկաները, մարդկանց, վայրերը կամ իրադարձությունները, որոնք նախկինում գիտեին, դա խոսում է երկարաժամկետ հիշողության խախտման մասին: Եթե մոռանում են վերջերս տեղի ունեցածի մեծ մասը, դա կարճաժամկետ հիշողության խնդիր է:

Թեև հիշողության հետ կապված խնդիրները կարող են առաջանալ ուղեղի ուռուցքների դեպքում, դրանք առավել հաճախ այլ պաթոլոգիաների նշան են լինում (օրինակ՝ դեմենցիայի):

8. Թուլություն և մեծ հոգնածություն
Կարող եք ուժեղ ֆիզիկական հոգնածություն զգալ:

Այդ հոգնածության զգացումը հաճախ չի անցնում քնելուց կամ հանգստանալուց հետո, ուռուցքի աճին զուգահեռ կարող եք սովորականից երկար քնել կամ քնել ցերեկվա ժամի: Հոգնածությունը հաճախ ուղեկցվում է անտարբերությամբ, դյուրագրգռությամբ, ընկճախտով կամ ձեր և շրջապատողների հանդեպ բացասական վերաբերմունքով:

9. Շարժումների կոորդինացիայի խախտում
Եթե դժվարանում եք քայլելիս հավասաակշռություն պահել կամ դժվարանում է ձեռքերի և ոտքերի կոորդինացիան, սա կարող է գլխուղեղի ուռուցքի նշան լինել:

10. Այլ փոփոխություններ օրգանիզմում
Հիպոֆիզի ուռուցքը կարող է հանգեցնել ոչ պարբերական դաշտանային ցիկլի, կրծքի կաթի չափից շատ արտադրվելու, տղամարդկանց դեպքում կրծքի առաջացման, կանանց մարմնի վրա չափից շատ մազի աճի: Ուռուցքը կարող է նաև ձեռքերի և ոտքերի աճ առաջացնել, ճարպակալում կամ զարկերկային ճնշման տատանումներ:

Պուտինի վարքագիծը նման է խելագարության․ Ռյուտե Ուկրաինայում չկա մի էլեկտրակայան, որը չի տnւժել ռուսական հարձակnւմներից․ Զելենսկի Մենք չենք կարող մեզ թույլ տալ ավելի շատ չծախսել պաշտպանության վրա․ ֆոն դեր Լայեն Հաղթում է անզուսպը, հախուռնը, խելագարը. Կաթողիկոսի դեմ քրեական գործ է հարուցվել, ի՞նչ անել․ Էդմոն Մարուքյան Իջևան-Սևան-Երևան ճանապարհին մեքենաներ են բախվել․ կա տուժած Մայր Աթոռը՝ Գարեգին Երկրորդի նկատմամբ քրեական հետապնդման մասին Ռոբերտ Լևանդովսկու ծառայություններով հետաքրքրված է հինգ ակումբ Ինչպիսի՞ Վալենտին եք դուք՝ ըստ ձեր կենդանակերպի նշանի Ուկրաինայի ԶՈւ-ն հրթիռային հարված է հասցրել Բելգորոդին. կա երկու զոհ Զելենսկին «պետք է շարժվի» հակամшրտության կարգավորման ուղղությամբ, հակառակ դեպքում նա կարող է բաց թողնել կարգավորման «մեծ հնարավորությունը»․ ԹրամփԱրվեստ՝ պոդիումի վրա. Ուես Գորդոնը կին-մուսաներին վերածում է պայծառ հերոսուհիների՝ Carolina Herrera-ի նոր հավաքածուի համարՊատերшզմը կավարտվի, երբ Ռուսաստանը տնտեսապես կամ ռազմшկան առումով nւժասպառ կլինի․ ՄերցԱյսօր տեղի ունեցավ աննախադեպ մի բան` քրեական հետապնդում հարուցվեց Ամենայն Հայոց Հայրապետի դեմ․ Նարեկ ԿարապետյանՇիրակի քրեական ոստիկանները բացահայտել են բնակարանային գnղության երկու դեպքԱռգրավվել է հալյուցինոգեն սնկերով հարյուր փաթեթՔաղաքականություն ենք մտնում՝ հայակենտրոն ու բազմավեկտոր ուղեգիծ ձևավորելու համար․ Ավետիք ՉալաբյանՄենք վճռականորեն կիրառելու ենք Սահմանադրությամբ և օրենքներով ամրագրված ողջ գործիքակազմը ունենալու համար ՈՒԺԵՂ ՀԱՅԱՍՏԱՆ. Արթուր ԴանիելյանՀայ ազգն արժանի է ուժեղ առաջնորդի. Ալիկ ԱլեքսանյանԱյն ինչ մատուցվում է այսօր մեր ժողովրդին, իրականության հետ աղերս չունի. ՔոչարյանՍա մի փոթորիկ էր բաժակի մեջ. Ռոբերտ Քոչարյան Այս երկու օր տևող խոսակցության սպառման լավագույն լուծումը. Արամ ՎարդևանյանՀայաստանի ժողովրդի կամքն ու պատիվն է պաշտպանել Հայ Առաքելական Եկեղեցին․ այդ առաքելությունն այսօր իրականություն է դառնում Սամվել Կարապետյանի հետ․ Ռոբերտ ԱմստերդամՈւրբաթ 13. Երբ ձախողումները դառնում են հաջողության նոր սկիզբ Թոշակառուներին դարձրել են «տեսուչ»՝ փոքր հետվճարի դիմաց․ Հրայր ԿամենդատյանԶՊՄԿ-ը սերունդների պատմություն ունի. Վահրամ Գաբրիելյանի օրինակով Իշխանությունը փորձում է «վերադաստիարակել» թոշակառուներին․ Արեգ ՍավգուլյանԻշխանության ողջ հույսն ու հավատն ուժայինների անօրինական գործողություններն են, որոնք ամենօրյա ռեժիմով կոնկրետ թիրախներnվ են աշխատում․ Աբրահամյան Խմիչքի գործարանի՝ 8 կիլոմետր երկարությամբ և 38 մետր խորության վրա գտնվող նկուղներ, որոնք ճանաչվել են պատմական հուշարձան. «Փաստ»Պետք է ստեղծենք համերաշխության մթնոլորտ և վերականգնենք մեր հաղթական կեցվածքը․ Ավետիք ՔերոբյանՏարօրինակ զարգացումներ «Հարավկովկասյան երկաթուղու» շուրջ ՊԱՏՄՈՒԹՅԱՆ ԱՅՍ ՕՐԸ (14 ՓԵՏՐՎԱՐԻ). Օդանավի վթար «Զվարթնոց» օդանավակայանում. «Փաստ»Ծիծեռնակաբերդից մինչև Մայր Աթոռ. Ի՞նչ զիջումներ է նախապատրաստում իշխանությունը. Էդմոն Մարուքյան Փաշինյանը գազազել է սփյուռքահայ գործիչների հայտարարությունից Ինստիտուցիոնալացված սպառնալիք Հայաստանի համար. «Փաստ»Ադրբեջանը կոշտացնում է հռետորաբանությունըԳերիները Սիրանուշ Սահակյանի ջանքերով կվերադառնան․ Աննա ԿոստանյանՀասանովին ու Միխայլովին դուրս կգրե՞ն «Քաղպայմանագրի» ցուցակիցՀամախմբումն է միակ ելքը, ազգային և պետական շահը՝ վեր ամեն ինչից․ Արսեն ԳրիգորյանԱյս ամենից շահում է միայն ԱՄՆ-ը. «Փաստ»Թափանցիկ արևային պատուհաններ. նոր տեխնոլոգիան էլեկտրաէներգիա է արտադրում 24/7 ռեժիմով «Երբ մի անծանոթ համարից զանգ է գալիս, ինձ թվում է՝ Ազատս է, հիմա կասի՝ մա՛մ». Ազատ Գրիգորյանն անմահացել է հոկտեմբերի 10-ին Հադրութում, տուն «վերադարձել»... ինն ամիս անց. «Փաստ»Սամվել Կարապետյանի աննախադեպ հայտարարությունը արհեստական բանականությամբ Վախի քաղաքականությունը և հաղթանակի սպասումը Պատանի երգչուհի Նատալի Սաֆարյանի առաջին մենահամերգը՝ Հայաստանի սահմաններից դուրս. «Փաստ»Չի կարելի կառավարության ձախողումների ու տեղի ունեցած ողբերգությունների պատասխանատվությունը դնել ժողովրդի վրա. Արտակ ԶաքարյանԻնչո՞ւ են վախենում Սամվել Կարապետյանի ղեկավարած շարժումից. Ոսկան Սարգսյան Պետական և համայնքային սեփականություն հանդիսացող հողամասերը կվաճառվեն բացառապես էլեկտրոնային աճուրդով. «Փաստ»Միջազգային այցերի շուրջ հանրային էմոցիոնալ պոռթկումների ու իրականության հակադրությունը. «Փաստ»Ինչո՞ւ են իշխանությունները թուլացնում պետականության իմունիտետը. «Փաստ»«Ակտիվ, հետևողական պայքարն ավարտվելու է իրավունքի, այլ ոչ թե ուժի և «զոռբայության» հաղթանակով». «Փաստ»