Когда врач увидел зубы 3-летнего ребенка, он задал матери всего один вопрос…
LifestyleЧтобы у взрослого человека не возникло кариеса, нужно проводить профилактику еще в детстве. К сожалению, одной регулярной чисткой зубов не обойтись, ведь главная причина неприятной болезни — кариесогенные бактерии.
Этими бактериями взрослые заражают детей, передавая их через поцелуи и столовые приборы. Родители очень часто допускают роковые ошибки в отношении здоровья собственных детей…
Профилактика кариеса
Некоторые папы и мамы сами не особо любят чистить зубы и не заставляют проделывать эту процедуру свое чадо. Бывают и другие крайности: родители заставляют детей полоскать рот содовым раствором для полного уничтожения бактерий. От этого нестойкая эмаль разрушается и кариес быстро уничтожает маленькие зубки.
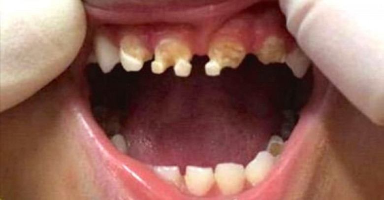
Также не стоит забывать, что сахар — лучший друг кариеса. Даже напитки, на упаковке которых есть надпись «без сахара», всё же содержат его, пусть и не в таком большом количестве. Мама из Новой Зеландии поила 3-летнего ребенка колой без сахара, а в результате стоматологу пришлось вырвать мальчику 11 зубов!
ПРИЧИНЫ КАРИЕСА У ДЕТЕЙ
- Стрептококковые бактерии, передающиеся от родителей ребенку.
- Заболевания и стресс во время беременности, прием антибиотиков.
- Неполноценное питание.
- Несоблюдение гигиены рта.
- Частое и длительное по времени употребление сладкого.
Вот несколько дельных рекомендаций от опытного стоматолога, которые помогут избежать кариеса и детям, и взрослым. Мы считаем своим долгом об этом рассказать!
ПРОФИЛАКТИКА КАРИЕСА ЗУБОВ
- Регулярно чисти зубы не только щеткой, но и зубной нитью.
- Никогда не ешь сладкое в качестве последнего блюда. Сладости нужно заедать твердыми овощами или фруктами, после этого полоскать рот и жевать жевательную резинку, содержащую ксилит.
- Не ешь сладости, не пей сладкие газированные напитки между приемами пищи.
- Никогда не ешь сладкое на ночь.
- Слишком сладкие и слишком кислые напитки пей через соломинку.