Дедушка за 72 года ни разу не был у стоматолога… Он просто 3 раза в неделю применяет ЭТО средство!
LifestyleТвое лицо — это первое, на что обращает внимание другой человек. А лучезарная улыбка, как известно, может быть ключом к достижению многих целей. Она символизирует не только оптимизм и настроение, но и может многое рассказать о здоровье и привычках человека.

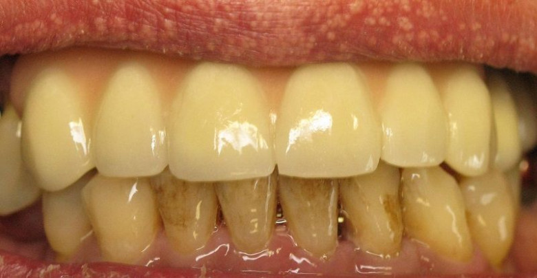
Ключевую роль здесь играет состояние зубов. Они могут темнеть и портиться, даже если ты не злоупотребляешь сладким и курением. Ведь темные напитки и продукты тоже влияют на оттенок зубов.

Если каждый твой поход к стоматологу не обходится без стресса, ты боишься испортить качество своих зубов или у тебя просто нет средств на лазерное отбеливание, редакция «Так Просто!» расскажет тебе об отличном дедовском способе. Еще никогда отбеливание зубов в домашних условиях не было настолько легким!
Домашний способ отбеливания зубов
ТЕБЕ ПОНАДОБИТСЯ
- 2/3 стакана яблочного уксуса
- 1/3 стакана воды
- зубная паста
- зубная щетка

- Смешай уксус и воду.
- Прополощи этой жидкостью полость рта на протяжении одной минуты. Повтори 2–3 раза. Ни в коем случае не глотай. Можно дополнительно протереть потемнения на эмали ватной палочкой, смоченной в растворе.

- После прополощи полость рта теплой водой.
- Почисти зубы привычным способом с помощью щетки и зубной пасты.

Повторяй процедуру не более трех раз в неделю. Яблочный уксус не очень приятный на вкус, но полученный результат полностью оправдает этот маленький недостаток. Ведь эмаль очистится достаточно быстро и приобретет естественную белизну. Этот метод не усиливает чувствительности зубов и не раздражает десны.

Добиться белоснежной улыбки в домашних условиях возможно, если поставить себе цель и регулярно проделывать описанную выше процедуру. Поделись информацией с друзьями, им это тоже будет полезно!