Ереван, 02.Февраль.2026,
00
:
00
ՄԵՆՅՈՒ
Трамп назвал ведущего «Грэмми» Ноа жалким после слов о нем и Эпштейне Зеленский — о переговорах в Абу-Даби: рассчитываем на активность США «У литературы нет воспитательной функции»: юбилейный вечер Руслана Сагабаляна Армянский стиль в лицах: шпаргалки и ходы для зимних выходов Армавир сказал «нет» расколу Армянской Апостольской Церкви (Фото, видео) Захарова напомнила о «танце Пашиняна» в Карабахе, комментируя обвинения в адрес ОДКБ Экс-сотрудника института ядерной физики приговорили к семи годам колонии за фейки об армии России Reuters: Спецпредставитель Путина прилетит в Майами перед переговорами в Абу-Даби Фильм о Мелании Трамп провалился на премьере в Шотландии Bloomberg сообщил о возможной смене подхода ЕС к санкциям против российской нефти


В МЦ «Астхик» сотрудничестве с благотворительным фондом «Вива» внедряют новый метод удаления аденом гипофиза

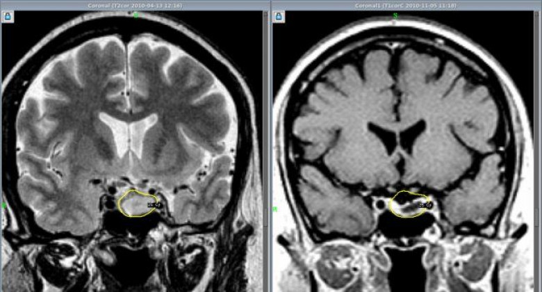
Общество

Аденома гипофиза – это доброкачественное новообразование, которое может крайне негативно сказываться на качестве жизни, вызывая нарушения со стороны эндокринной системы, а также нарушения зрения.

До недавних пор такие новообразования в МЦ «Астхик» удаляли с применением хирургического микроскопа. Теперь в медцентре внедряют и другой метод удаления аденом гипофиза – с помощью эндоскопа. Этот метод до недавних пор в Армении не применялся, и обучать ему специалистов в рамках одного из проектов благотворительного фонда «Вива» будет известный нейрохирург Вилен Азизян (Россия). В медицинском центре «Астхик» он уже провел три операции по удалению аденом гипофиза. Ассистировали ему армянские специалисты, которые в дальнейшем научатся проводить такие операции самостоятельно.

Аветис Киракосян, руководитель отделения нейрохирургии МЦ «Астхик», рассказал журналистам о том, что для внедрения эндоскопического метода удаления опухолей гипофиза был выбран медцентр «Астхик», так как материально-техническая база центра соответствует всем требованиям к проведению этих операций. Специалист уверен, что если в центре будут применяться оба метода, это поможет достигать более значительных результатов.

«В зарубежных медицинских центрах, где я проходил переподготовку, совмещают микроскопический и эндоскопический методы. После работы микроскопом проводят ревизию операционной области с помощью эндоскопа – без лишних разрезов через нос пациента вводят эндоскоп с камерой, осматривают область, иногда можно бывает обнаружить небольшие куски, которые остались вне поля зрения микроскопа, а эндоскоп может обеспечить более широкое поле зрения», - объяснил специалист.

По его словам, эндоскопическое удаление аденом гипофиза считается менее травматичным и менее инвазивным, чем микроскопическое удаление. Так или иначе, некоторым пациентам может потребоваться один из методов, некоторым – сразу оба, поэтому будет большим плюсом, если хирург будет одинаково хорошо владеть обоими методами.

Это далеко не первый проект, проводимый в Армении благотворительным фондом «Вива» (Врачи и волонтеры Армении). Татьяна Оганесян, председатель фонда, рассказала журналистам, что фонд был основан в 2016 году, с целью оказать помощь Арцаху и регионам Армении.

За пять лет фонд оснащал медицинским оборудованием госпитали и больницы страны, организовал образовательные программы и стажировки докторов. Многие врачи – члены фонда – регулярно приезжают в Армению, помогая и обучая коллег, проводя операции, помогая организовать реабилитацию раненых во время войны в Арцахе.

Как в свою очередь отметил попечитель фонда «Вива Георгий» Мелконян, главный врач 4 городской больницы Москвы, фонд проводит большую работу по обучению специалистов, чтобы врачи в Армении, овладевая новыми техниками и методами лечения, могли самостоятельно применять их в работе с пациентами и оказывать высококачественную помощь, не нуждаясь в помощи зарубежных коллег.

В дни войны в Арцахе 26 врачей фонда работали в разных полевых госпиталях – в Гадруте, Степанакерте, Мартуни, Мартакерте, Горисе, Мегри, Капане. В их числе были торакальные и сосудистые хирурги, реаниматологи, медсестры, и работали они на протяжении всей войны, сменяя друг друга.

Также во время войны фонд оказал материальную помощь в размере 2 млн долларов, 38 больниц получили медицинское оборудование.

В настоящее время фонд насчитается уже более 5000 членов, в числе которых более 700 врачей.

Трамп назвал ведущего «Грэмми» Ноа жалким после слов о нем и ЭпштейнеЗеленский — о переговорах в Абу-Даби: рассчитываем на активность США«У литературы нет воспитательной функции»: юбилейный вечер Руслана СагабалянаАрмянский стиль в лицах: шпаргалки и ходы для зимних выходов В Армении автодороги межгосударственного и республиканского значения открытыАрмавир сказал «нет» расколу Армянской Апостольской Церкви (Фото, видео) «Европа не придёт нас спасать»: Арман Гукасян о реальной политике Все приспешники должны помнить: никакая власть не вечна։ «Паст»Арцах уничтожен, очередь за Сюником: от этнической чистки к выдавливанию армян. Сурен Суренянц Бывший министр обороны РА: в рамках сотрудничества с Россией Армения получала оружие по льготным ценам и даже бесплатно Действия властей ведут к быстрой утрате реального суверенитета Армении: «Паст»Как избежать «подливания воды на мельницу» властей? «Паст»Конференция «Комитета по защите Армянской Апостольской Церкви и христианства» в Братиславе Около половины налогов, уплачиваемых крупными налогоплательщиками, обеспечивают 50 компаний: «Паст»Захарова напомнила о «танце Пашиняна» в Карабахе, комментируя обвинения в адрес ОДКБЭкс-сотрудника института ядерной физики приговорили к семи годам колонии за фейки об армии РоссииReuters: Спецпредставитель Путина прилетит в Майами перед переговорами в Абу-ДабиФильм о Мелании Трамп провалился на премьере в ШотландииBloomberg сообщил о возможной смене подхода ЕС к санкциям против российской нефтиMAC запускает новую коллекцию «Powder Kiss»: матовые губы мечтыRalph Lauren превращает Рокфеллер-центр в ледяной оазис Олимпиады«Если ты не можешь защитить границы своей страны — не перекладывай эту проблему на других»: Айк Наапетян — Пашиняну Пашинян, изменив внешний стратегический курс страны с России на Запад, разрушил нашу систему безопасности — Суренянц Idram и WeChat Pay запускают стратегическое партнерство в АрменииPolitico: Франция первоначально была против внесения КСИР в список террористовРейс из Краснодара в Ереван отмененAP: число погибших из-за последствий снежной бури в США выросло до 85 человекМИД РФ: Брюссель рано или поздно потребует от Еревана антироссийского курса The Times: Британия внесет КСИР в список запрещенных организацийИзвестные политики и эксперты обсудили новые вызовы безопасности Армении. Новый уникальный интерактивный формат круглого стола. Имена победителей третьего тура конкурса Junius известныВопрос о лишении их сана должен быть решен немедленно: «Паст»TRIPP — это большая авантюра и договоренность за спиной Армении. С любовью слушают ложь, которую... хотят услышать: «Паст»На самом деле пенсия не повысилась, а снизилась: «Паст»Почему прокуратура нарушает закон и не приносит извинений? «Паст»РПЦ обеспокоена вмешательством властей Армении в дела Армянской апостольской церкви«Свобода»: ЕС одобрил выделение Армении 20 млн евро из Европейского фонда мираИстинный праздник духа: Абрам Овеян поздравил Вооруженные силы Армении ЕК выделила странам Балтии и Польше €113 млн на защиту критической инфраструктурыДоктрина «Западного Азербайджана», по сути, совпадает с навязываемой властями концепцией «Четвёртой Республики» Армения и Кувейт обсудили перспективы сотрудничества в технологическом сектореАмериканский техногигант Amazon анонсировал сокращение 16 000 рабочих местПредставители МИД Армении и Литвы обсудили события на Южном КавказеНа сегодняшний день в Арцахе тоже всё спокойно,но без армян!Желание Азербайджана сделать Армению вассалом турецкого мира. Мы- воины нашего Отечества, и наш долг — обеспечивать безопасность нашего народа и могущество Армении Заместитель главного министра индийского штата Махараштра погиб в авиакатастрофеДепутат Сона Казарян избрана председателем подкомитета ПАСЕ по делам молодежи и будущего обществаАрмянская армия — это гордость армянской нации. Аршак КарапетянБывшую первую леди Южной Кореи приговорили к 20 месяцам за полученные в подарок предметы роскоши