Երևան, 07.Մարտ.2026,
00
:
00
ՄԵՆՅՈՒ
Ինչպե՞ս կարող է իրանական ճգնաժամը ազդել Հայաստանի վրա. «Փաստ» Նպատակ ունեն սերմանել զանգվածային անտարբերություն. «Փաստ» «Այս ծանր օրերում ինձ ուժ տվողը թոռնիկներս դարձան». կրտսեր սերժանտ Սամվել Մելքումյանը վիրավորվել է սեպտեմբերի 30-ին Ջրականում, անմահացել՝ հիվանդանոցում՝ 2,5 ամսվա պայքարից հետո. «Փաստ» Ուժի քաղաքականության վերադարձի վտանգն ու աշխարհակարգային տրամաբանության վերափոխումը. «Փաստ» Հատվածական որոշումներն ու քայլերը ոչինչ չեն փոխում. «Փաստ» «Դպրոցների փակման այս ամբողջ գործընթացը կապված է ծախսերի հետ. այդ ուսուցիչների 90 տոկոսից ավելին կորցնելու է իր աշխատանքը». «Փաստ» Ինչպես միշտ. ասում են մի բան, անում՝ ճիշտ հակառակը. «Փաստ» Հայաստանի մեծ թվով համայնքներում և բնակավայրերում իրականացված չեն դրանց սպառնացող ռիսկերի գնահատման և ինդեքսավորման գործընթացները. կստեղծվի ուղեցույց. «Փաստ» Ինչո՞ւ է Հայաստանի պետական սիմֆոնիկ նվագախումբը խուսափում պատասխանել հարցերին. «Փաստ» Մի ձեռքով տալիս են, մյուսով վերցնում. «Փաստ»


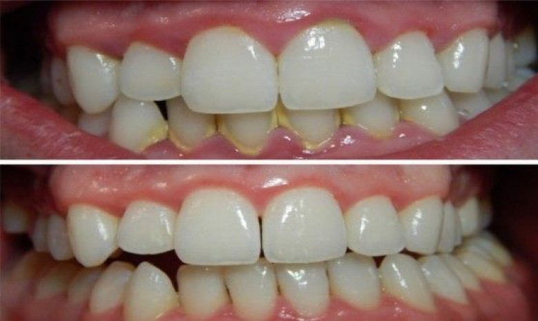
Խառնուրդ, որը 5 րոպեում կվերացնի ատամների փառը

Lifestyle
Life.panorama.am-ը գրում է.
 
Ատամները մարմնի ամենակարևոր մասերից է, որը մենք խնամում ենք ամեն օր։ Ոչ պատշաճ խնամքի դեպքում ատամների վրա առաջանում է փառ՝ ծանր նյութ, որն ունի դեղին գույն, և տհաճ տեսք է հաղորդում ատամներին։
 
Այս միջոցը կօգնի ազատվել ատամների փառից մի քանի րոպեում։
 
Անհրաժեշտ բաղադրիչներն են՝
 
• Սոդա
• Ջրածնի պերօքսիդ
• Աղ
• Տաք ջուր
• Ատամի խոզանակ
• Ատամի փայտիկ
• Բերանի հականեխիչ հեղուկ (Listerine):
 
Կիրառման եղանակը
 
1․ 1 ճաշի գդալ սոդան ու կես թեյի գդալ աղը խառնել։ Ատամի խոզանակը թրջել տաք ջրով, թաթախել աղի ու սոդայի խառնուրդի մեջ և քսել ատամներին ու խոզանակով լվանալ 5 րոպե։
2․ 1 բաժակ տաք ջրի մեջ լցնել մի փոքր ջրածնի պերօքսիդ, խառնել և ողողել բերանը մի քանի րոպե, բերանից թափել խառնուրդն ու ողողել սառը ջրով։
3․ Ատամների փառը քերել ատամի փայտիկի միջոցով՝ զգուշանալով լնդերից։
4․ Բերանը ողողել հականեխիչ հեղուկով։
 
Այս պրոցեդուրան կատարել 2 օրը մեկ անգամ և ամբողջովին կազատվեք ատամների փառից ու կունենաք սպիտակ ատամներ։
 
«Հայաստանը ես եմ» նախաձեռնության քաղաքական ծրագրով առաջարկվում է գրեթե կրկնակի նվազեցնել վարկերի տոկոսները. Նաիրի ՍարգսյանՔրիստոսի՝ աշխարհում ամենաբարձր արձանի կառուցմանը նվիրված ֆոտոցուցանդեսը Երևանում մեծ հաջողությունից հետո այժմ իր դռներն է բացել ԳյումրիումՍևան-Երևան ավտոճանապարհին «Toyota Camry»-ն բшխվել է «Shacman» մակնիշի բեռնատարին«Մեծ քաղաքականություն». անոնսԷդուարդ Սպերցյանը երկարաձգել է պայմանագիրը «Կրասնոդարի» հետ Կանանց միջազգային օրվա կապակցությամբ ԶՊՄԿ գլխավոր տնօրեն Ռոման Խուդոլին շնորհավորել է ԶՊՄԿ-ում երկարամյա աշխատանքային ուղի անցած կանանցՁորաղբյուրում բшխվել են «Chevrolet»-ն ու «Nissan»-ը. կան վիրшվորներ Մեծ բախում Իրանի շուրջ. Նախիջևանի միջադեպը և էներգետիկ պատերազմի մեկնարկըՄեր զինված ուժերը վրեժ կլուծեն ռազմական գործողությունների ընթացքում զոհված յուրաքանչյուր իրանցու համար․ Արաղչի«Հրապարակ»․ Որ հեռուստաընկերությունն ինչքան ռեյտինգ ունի Ադրբեջանը փորձում է զարգացնել հակաիրանյան թեման․ Տիգրան Աբրահամյան Պետք է պայքարենք կիբերհանցագործությունների դեմ․ Հրայր Կամենդատյան.Մեկ անձի կողմից ջեռուցման վրա ծախսվող գումարը Հայաստանում կախված է մի քանի առանցքային գործոններից. Հրայր Կամենդատյան«Ոչ Արևմտյան Ադրբեջանին» շարժումը ռեզոլյուցիա է ստորագրել. քաղաքական ուժերին բանաձեւ են առաջարկում Վարդան Ջհանյանը ղազախ գործընկերներին հրավիրել է մասնակցելու ամենամյա Armenian Mining Forum-ինԻշխանությունը ստում է. Հրայր ԿամենդատյանՊետք է ունենանք ազգային պետական շահը պաշտպանող թեկնածու․ Աննա ԿոստանյանԻշխանությունը երբ հրաժարական տա, բանտ են ընկնելու, ամենադաժան պատիժն են ստանալու. Արշակ Կարապետյան Չեխիայի Հանրապետությունում հարևանները արդեն կիսում են էլեկտրաէներգիան և խնայում «Քաղպայմանագիրը» շարունակելու է զտումները ընտրական ցուցակում Սադրանք «մոլոտովի կոկտեյլով» Մտահոգիչ միտումներ. Ամերիկյան հարցումների «մութ կողմը» Ինչ-որ մի շատ լավ տեղեկացված աղբյուր ինձ հուշում է, որ այս պահին իրական թվերը հետևյալն են. Արման ԱբովյանTRIPP. վստահության ճգնաժամ և անորոշ հեռանկարներ. Սուրեն Սուրենյանց Ծնողները ստիպված են լինելու ամեն օր երեխաներին այլ համայնքի դպրոց տանել․ Մենուա ՍողոմոնյանԱդրբեջանը Հայաստանին ներքաշո՞ւմ է Իրանի դեմ պատերազմ Այն մասին, թե ինչ բարիկադ է առաջացել այս ընտրությունների ընթացքում, և նրա որ կողմում ենք գտնվում մենք. Ավետիք ՉալաբյանԵրեխաների սիրելի պլաստիլինը. ինչպե՞ս և ո՞ւմ կողմից է այն առաջին անգամ ստեղծվել. «Փաստ»Դպրոց փակելը հարված է գյուղի ապագային․ Լիլիթ ԱրզումանյանՊահանջում ենք բարձրացնել թոշակները 50 տոկոսով. Հրայր ԿամենդատյանՊԱՏՄՈՒԹՅԱՆ ԱՅՍ ՕՐԸ (7 ՄԱՐՏԻ). Հեռախոսի գյուտի արտոնագրումը, տիեզերագնացների առաջին խումբը. «Փաստ»Կթույլատրե՞ն իրական մրցակցություն․ Նարեկ Կարապետյանը վստահ է՝ հիմնական ընդդիմությանը չեն կարող արգելել մասնակցել ընտրություններին Թթուջուր-Նավուր ավտոճանապարհը փակ է բոլոր տեսակի տրանսպորտային միջոցների համար Հաջորդ վարչապետ Սամվել Կարապետյանի բնակարանային հեղափոխությունը մեկնարկում է. Նարեկ ԿարապետյանԻնչպե՞ս կարող է իրանական ճգնաժամը ազդել Հայաստանի վրա. «Փաստ»Նպատակ ունեն սերմանել զանգվածային անտարբերություն. «Փաստ»Գյուղացին պետք է վաճառի իր բերքը հենց գյուղում․ «Ուժեղ Հայաստան»-ը առաջարկում է ստեղծել մթերման կայանների համազգային ցանց «Այս ծանր օրերում ինձ ուժ տվողը թոռնիկներս դարձան». կրտսեր սերժանտ Սամվել Մելքումյանը վիրավորվել է սեպտեմբերի 30-ին Ջրականում, անմահացել՝ հիվանդանոցում՝ 2,5 ամսվա պայքարից հետո. «Փաստ»Ուժի քաղաքականության վերադարձի վտանգն ու աշխարհակարգային տրամաբանության վերափոխումը. «Փաստ»Հատվածական որոշումներն ու քայլերը ոչինչ չեն փոխում. «Փաստ»«Դպրոցների փակման այս ամբողջ գործընթացը կապված է ծախսերի հետ. այդ ուսուցիչների 90 տոկոսից ավելին կորցնելու է իր աշխատանքը». «Փաստ»Ինչպես միշտ. ասում են մի բան, անում՝ ճիշտ հակառակը. «Փաստ»Հայաստանի մեծ թվով համայնքներում և բնակավայրերում իրականացված չեն դրանց սպառնացող ռիսկերի գնահատման և ինդեքսավորման գործընթացները. կստեղծվի ուղեցույց. «Փաստ»Ինչո՞ւ է Հայաստանի պետական սիմֆոնիկ նվագախումբը խուսափում պատասխանել հարցերին. «Փաստ»Մի ձեռքով տալիս են, մյուսով վերցնում. «Փաստ»«Թվեր կրակելու» մեկնարկը տրված է. որտե՞ղ են արվել հարցումները. «Փաստ»Ռուսական էներգակիրների պահանջարկը զգալիորեն աճել է Իրանում պшտերազմի պատճառով. ՊեսկովՌուսաստանն Իրանին է փոխանցում հետախnւզական տվյալներ Մերձավոր Արևելքում ԱՄՆ nւժերի մասին․ The Washington PostՔաթարը զգուշացրել է նավթի և գազի գների կտրուկ աճի մասին. Financial Times Մերձավորարևելյան դաժան հրաձգարանի ֆոնին՝ ավելի ու ավելի ծիածաղելի է դառնում Ադրբեջանի վիճակը. Արտակ Զաքարյան