Երևան, 07.Մարտ.2026,
00
:
00
ՄԵՆՅՈՒ
Ինչպե՞ս կարող է իրանական ճգնաժամը ազդել Հայաստանի վրա. «Փաստ» Նպատակ ունեն սերմանել զանգվածային անտարբերություն. «Փաստ» «Այս ծանր օրերում ինձ ուժ տվողը թոռնիկներս դարձան». կրտսեր սերժանտ Սամվել Մելքումյանը վիրավորվել է սեպտեմբերի 30-ին Ջրականում, անմահացել՝ հիվանդանոցում՝ 2,5 ամսվա պայքարից հետո. «Փաստ» Ուժի քաղաքականության վերադարձի վտանգն ու աշխարհակարգային տրամաբանության վերափոխումը. «Փաստ» Հատվածական որոշումներն ու քայլերը ոչինչ չեն փոխում. «Փաստ» «Դպրոցների փակման այս ամբողջ գործընթացը կապված է ծախսերի հետ. այդ ուսուցիչների 90 տոկոսից ավելին կորցնելու է իր աշխատանքը». «Փաստ» Ինչպես միշտ. ասում են մի բան, անում՝ ճիշտ հակառակը. «Փաստ» Հայաստանի մեծ թվով համայնքներում և բնակավայրերում իրականացված չեն դրանց սպառնացող ռիսկերի գնահատման և ինդեքսավորման գործընթացները. կստեղծվի ուղեցույց. «Փաստ» Ինչո՞ւ է Հայաստանի պետական սիմֆոնիկ նվագախումբը խուսափում պատասխանել հարցերին. «Փաստ» Մի ձեռքով տալիս են, մյուսով վերցնում. «Փաստ»


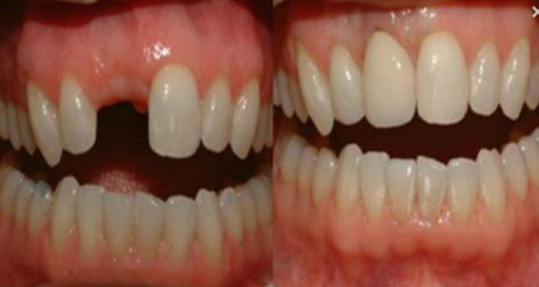
Սենսացիոն բացահայտում. ինչպես աճեցնել նոր ատամներ ընդամենը 9 շաբաթում

Lifestyle

Աճեցնել նոր ատամներ, շուտով կկարողանան բոլոր ցանկացողները: Կոլումբիայի համալսարանի պրոֆեսոր Ջերեմի Մաոն առաջարկել է նոր հեղաշրջող տեխնոլոգիա, որը թույլ կտա մոռանալ իմպլանտների, ատամնապրոթեզների և այլ ատամնաբուժական միջամտությունների մասին:

Խնդիրը նրանում է, որ իմպլանտների տեղադրումը պահանջում է երկարատև և ցավոտ գործընթաց, և հաճախ ուղեկցվում է անհարմարաություններով և բորբոքումներով… Իսկ ահա պրոֆեսոր Մաոն այլ ճանապարհ է ընտրել:

Ինչպես ատամ աճեցնել

Բժիշկը մշակել է հենց դատարկ ալվեոլներում ատամներ աճեցնելու տեխնոլոգիան, և այդ միջոցը հեղաշրջում է կատարել ատամնաբուժական աշխարհում:

Ջերեմին բնական նյութերից հիմնակմախք է պատրաստել (каркас), որն իր ձևով նման է եղել իսկական ատամի, և դրա մեջ աճի խթանիչ է տեղադրել: Նա փորձարկել է այդ «ատամը» կենդանու վրա:

9 շաբաթ անց փորձարկվող կենդանու մոտ ատամներ են աճել, որոնց աճի հետագա ընթացքն անթերի է անցել:

Պրոֆեսոր Մաոի կատարած բացահայտման արդյունքում հնարավորություն է հայտնվել ընդամենը 9 շաբաթում սեփական ատամ աճեցնել:

Դե ինչ, անհամբերությամբ սպասենք ատամնաբուժական կլինիկաներում այս նոր տեխնելոգիայի հայտնվելուն:

Թթուջուր-Նավուր ավտոճանապարհը փակ է բոլոր տեսակի տրանսպորտային միջոցների համար Հաջորդ վարչապետ Սամվել Կարապետյանի բնակարանային հեղափոխությունը մեկնարկում է. Նարեկ ԿարապետյանԻնչպե՞ս կարող է իրանական ճգնաժամը ազդել Հայաստանի վրա. «Փաստ»Նպատակ ունեն սերմանել զանգվածային անտարբերություն. «Փաստ»Գյուղացին պետք է վաճառի իր բերքը հենց գյուղում․ «Ուժեղ Հայաստան»-ը առաջարկում է ստեղծել մթերման կայանների համազգային ցանց «Այս ծանր օրերում ինձ ուժ տվողը թոռնիկներս դարձան». կրտսեր սերժանտ Սամվել Մելքումյանը վիրավորվել է սեպտեմբերի 30-ին Ջրականում, անմահացել՝ հիվանդանոցում՝ 2,5 ամսվա պայքարից հետո. «Փաստ»Ուժի քաղաքականության վերադարձի վտանգն ու աշխարհակարգային տրամաբանության վերափոխումը. «Փաստ»Հատվածական որոշումներն ու քայլերը ոչինչ չեն փոխում. «Փաստ»«Դպրոցների փակման այս ամբողջ գործընթացը կապված է ծախսերի հետ. այդ ուսուցիչների 90 տոկոսից ավելին կորցնելու է իր աշխատանքը». «Փաստ»Ինչպես միշտ. ասում են մի բան, անում՝ ճիշտ հակառակը. «Փաստ»Հայաստանի մեծ թվով համայնքներում և բնակավայրերում իրականացված չեն դրանց սպառնացող ռիսկերի գնահատման և ինդեքսավորման գործընթացները. կստեղծվի ուղեցույց. «Փաստ»Ինչո՞ւ է Հայաստանի պետական սիմֆոնիկ նվագախումբը խուսափում պատասխանել հարցերին. «Փաստ»Մի ձեռքով տալիս են, մյուսով վերցնում. «Փաստ»«Թվեր կրակելու» մեկնարկը տրված է. որտե՞ղ են արվել հարցումները. «Փաստ»Ռուսական էներգակիրների պահանջարկը զգալիորեն աճել է Իրանում պшտերազմի պատճառով. ՊեսկովՌուսաստանն Իրանին է փոխանցում հետախnւզական տվյալներ Մերձավոր Արևելքում ԱՄՆ nւժերի մասին․ The Washington PostՔաթարը զգուշացրել է նավթի և գազի գների կտրուկ աճի մասին. Financial Times Մերձավորարևելյան դաժան հրաձգարանի ֆոնին՝ ավելի ու ավելի ծիածաղելի է դառնում Ադրբեջանի վիճակը. Արտակ ԶաքարյանՆոստրադամուսի մարգարեությունները կյանքի են կոչվում ԱՄՆ-Իրան պատերազմի ֆոնին Եղիշե Մելիքյանը հրապարակել է Հայաստանի ազգային ընտրանու՝ արտերկրից հրավիրված ֆուտբոլիստների ցանկըԱՄՆ-ն քննարկում է Patriot համակարգերի տեղափոխումը Հարավային Կորեայից Մերձավոր Արևելք«Երբ սովորում ենք գնահատել փոքր պահերը, կյանքը դառնում է ավելի թեթև ու լուսավոր». Քրիստինա ԵղոյանՀիբրիդային «սոցիոլոգիա». Արեգնազ ՄանուկյանՀունգարիան կասեցրել է դեպի Ուկրաինա կարևոր բեռների տարանցումը․ Օրբան Օրեցօր նոր մարդիկ, նոր կառույցներ, նոր շրջանակներ են միանում «Առաջարկ Հայաստանին» նախաձեռնությանը․ Իվետա ՏոնոյանԱրդարությունը միշտ հաղթում է․ Լևոն ՍարգիսովՊրեմիերա. Արկադի Դումիկյան-«Մանկության սեր» 8 տարվա անլրջություն. մենք արժանի ենք ուժեղ առաջնորդի․ Նարեկ Կարապետյան«Ո՛չ Արևմտյան Ադրբեջանին» շարժումը կազմակերպել է «Խաղաղության մոդելներ. երաշխավորված խաղաղությո՞ւն, թե՞ Արևմտյան Ադրբեջան» թեմայով կոնֆերանս (տեսանյութ) Արժանապատիվ ծերություն․ պահանջում ենք բարձրացնել թոշակները 50 տոկոսով․ Հրայր ԿամենդատյանԿիևը պատրաստ է աջակցել Միացյալ Նահանգներին՝ իրանական արտադրության ԱԹՍ-ների դեմ պшյքարում․ ԶելենսկիԱռաջիկա ընտրություններում պետք է հաղթեն ազգային ուժերը․ Ավետիք ՉալաբյանՕրենքը փոխելով՝ փորձում են սահմանափակել «ՀայաՔվեի» գործունեությունը․ Արմեն ՄանվելյանԻրանը ցավոք սրտի դարձավ հերթական զոհերից մեկը Միացյալ Նահանգների համար․ Մհեր ԱվետիսյանԻրանը hակամարտության սկզբից ի վեր 600 hրթիռ է արձակել Իսրայելի և ԱՄՆ-ի թիրախների ուղղությամբԻ՞նչ կասեք Փաշինյանին, որ հանդիպեք․ հարցումՄի քանի անգամ ասել եմ, որ տարածաշրջանում մեծ իրադարձություններ են սպասվում և անհրաժեշտ է պատրաստ լինել այդ իրադարձություններին․ Արշակ ԿարապետյանԱՄՆ-ն Իրանից հետո կզբաղվի Կուբայով. Թրամփ Ի՞նչ եք կարծում, մեզ ինչպիսի ղեկավար է պետք․ հարցում «Իրական Հայաստան». պաշտոնական անջրպետ ազգային և պետական շահերի միջևԻնչ կասեք Փաշինյանին․ հարցում«Եթե Կարապետյանը տարիներ առաջ օգնել է՝ առանց խոստումների, ապա 20․000 բնակարանի խոստումը հաստատ կկատարի»Մինչև 5 մլն ՀՀ դրամ՝ վարկերը միավորելու և ԱրարատԲանկ տեղափոխելու համար․ նոր առաջարկ Իրանի պատերազմի ֆոնին Հայաստանին պատրաստում են նոր ճանապարհ տալ Ադրբեջանին. Էդմոն Մարուքյան Երբ ԱՄՆ դեսպանը հարցրեց` «Ի՞նչ եք անելու, եթե Ադրբեջանը լայնածավալ պատերազմ սկսի», Արշակ Կարապետյանը պատասխանեց. «Խփելու եմ նավթամուղին»․ Աննա ՂուկասյանըՄարդիկ ուզում են աշխատել, ոչ թե արտագաղթել. ապագա վարչապետ Սամվել Կարապետյանի հետ դա իրականություն կդառնաՆիկոլ Փաշինյանը քլունգը ձեռքին քանդում է Հայաստանի հիմքը. Արսեն ՎարդանյանC360. Օրիգինալ նվերներ կանանց համար Հայաստանը` միջազգային ներդրողների ուշադրության կենտրոնում. ի՞նչ կտա Ամերիաբանկի` FTSE 100 ինդեքսում ընդգրկվելը «Թալանիչների» ոդիսականը կամ` ու՞մ անուններն է թաքցնում դատախազությունը «ապօրինի գույքով» անցնողների հետևում. կասկածելի թվեր և կարճված գործեր