Երևան, 03.Մարտ.2026,
00
:
00
ՄԵՆՅՈՒ
Նախընտրական «շորշոփներ». ինչո՞ւ է Նիկոլ Փաշինյանը հանկարծ փոխել իր հռետորաբանությունը. «Փաստ» «Իմ հողից բացի ուրիշ տեղ չեմ կարող ապրել, միայն Ճարտարում պետք է ապրեմ». կամավոր Կամո Հարությունյանն անմահացել է հոկտեմբերի 31-ին «Մարտունի 2»-ում. «Փաստ» Զարգացման իմիտացիան և խոշոր նախագծերի «փուչիկը»՝ որպես քաղաքական կապիտալի փիառային աղբյուրներ. «Փաստ» Ի՞նչ կա իրականում «սիրուն» թվերի տակ. տնտեսական ցուցանիշների ախտաբանական պատկերը. «Փաստ» Ի՞նչ է լինում, երբ իրականությունը դուրս է գալիս ջրի երես. «Փաստ» «Այս ամենը կեղծիք է և իրականության հետ ոչ մի աղերս չունի». «Փաստ» Սգո և հիշատակի օրերին ո՞ր գովազդի հեռարձակման արգելքը կվերացվի. նախագիծ. «Փաստ» Պատմական հիշողության «տաբուներ». «Փաստ» Քաղաքական կոնսոլիդացիայի սկիզբ. «Միասնության թևերի» և «ՀայաՔվեի» համատեղ հայտը. «Փաստ» Վարկանիշը գետնին է հավասարվում, փրկել է պետք. «Փաստ»


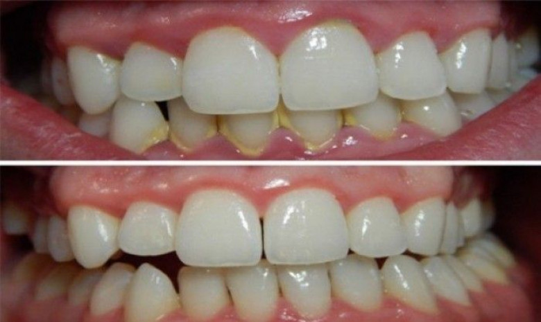
Խառնուրդ, որը 5 րոպեում կվերացնի ատամների փառը

Lifestyle
Ատամները մարմնի ամենակարևոր մասերից է, որը մենք խնամում ենք ամեն օր։ Ոչ պատշաճ խնամքի դեպքում ատամների վրա առաջանում է փառ՝ ծանր նյութ, որն ունի դեղին գույն, և տհաճ տեսք է հաղորդում ատամներին։
 
Այս միջոցը կօգնի ազատվել ատամների փառից մի քանի րոպեում։
 
Անհրաժեշտ բաղադրիչներն են՝
 
• Սոդա
• Ջրածնի պերօքսիդ
• Աղ
• Տաք ջուր
• Ատամի խոզանակ
• Ատամի փայտիկ
• Բերանի հականեխիչ հեղուկ (Listerine):
 
Կիրառման եղանակը
 
1․ 1 ճաշի գդալ սոդան ու կես թեյի գդալ աղը խառնել։ Ատամի խոզանակը թրջել տաք ջրով, թաթախել աղի ու սոդայի խառնուրդի մեջ և քսել ատամներին ու խոզանակով լվանալ 5 րոպե։
2․ 1 բաժակ տաք ջրի մեջ լցնել մի փոքր ջրածնի պերօքսիդ, խառնել և ողողել բերանը մի քանի րոպե, բերանից թափել խառնուրդն ու ողողել սառը ջրով։
3․ Ատամների փառը քերել ատամի փայտիկի միջոցով՝ զգուշանալով լնդերից։
4․ Բերանը ողողել հականեխիչ հեղուկով։
 
Այս պրոցեդուրան կատարել 2 օրը մեկ անգամ և ամբողջովին կազատվեք ատամների փառից ու կունենաք սպիտակ ատամներ։
Պետք է միավորվել և խախտել քաղաքական դաշտում ձևավորված ստատուս քվոն․ Ավետիք ՉալաբյանՀամլետ Մանուկյանը ճանաչվել է Եվրոպայի 2025 թվականի տարվա լավագույն տղամարդ մարմնամարզիկ Հայ և իրանցի ժողովուրդները դարերով ապրել են փոխադարձ հարգանքի և բարիդրացիության մթնոլորտում, կիսել են պատմական փորձություններն ու ձեռքբերումները. «Համահայկական ճակատ» ՇարժումԻրանում զոհերի թիվը զգալիորեն ավելացել է Վարդենյաց լեռնանցքը դժվարանցանելի է կցորդով տրանսպորտային միջոցների համար Դպրոցների դերը համայնքների կյանքում չի կարելի թերագնահատել․ Ատոմ ՄխիթարյանԻրանը հայտարարել է Բահրեյնում ԱՄՆ-ի կառավարման կետերին հարվածներ հասցնելու մասին Ֆասթ Բանկը տեղաբաշխում է միաժամանակ երկու տեսակի դոլարային պարտատոմսեր Ցավակցություն երկու օր անց Love Is… քարտեր Յունիբանկից․ խորհրդանշական դիզայն և Փարիզ ուղևորություն շահելու հնարավորություն Ինչու՞ չհրապարակվեց ԱՄՆ պատվերով հարցումը Հայաստանում. Փաշինյանի վիճակը աղետալի է Վարչապետը հեգնել և վիրավորել է թոշակառուներին․ Ցոլակ ԱկոպյանԻնչո՞ւ է շտապում իշխանությունը նոր Սահմանադրության հարցում Կոճակաճեղք, որը նախատեսված չէ... կոճկելու համար. «Փաստ»Երկրորդ պալատը որպես ժողովրդավարության երաշխիք․ ի՞նչ կառուցվածք պետք է այն ունենաՈւթոտնուկի գաղտնի մոլեկուլով արևային վահանակներն ավելի երկար են ծառայում ԶՊՄԿ-ում շարունակվում է տեխնիկական սպասարկման և վերանորոգումների (ՏՍՎ) գործառույթի թվայնացման գործընթացըՊԱՏՄՈՒԹՅԱՆ ԱՅՍ ՕՐԸ (3 ՄԱՐՏԻ). Առաջին անկանգառ միանձնյա թռիչքը երկրագնդի շուրջ. «Փաստ»Պայքար կիբերհանցագործության դեմ. սոցիալական ծրագիր. Հրայր ԿամենդատյանՍոցիալական ցանցերի մուտքի արգելք երեխաների համար. սոցիալական ծրագիր. Հրայր ԿամենդատյանԱյն մասին, թե ինչու իշխանափոխությունից հետո պետք է պահպանվի «Ապօրինի գույքի բռնագանձման» մասին օրենքը, և ինչպես այն պետք է կիրառվի գործող վարչախմբի երևելիների նկատմամբ. ՉալաբյանՆախընտրական «շորշոփներ». ինչո՞ւ է Նիկոլ Փաշինյանը հանկարծ փոխել իր հռետորաբանությունը. «Փաստ»Չարությունը, ագրեսիան, իրար ոչնչացնելու մոլուցքը կբերեն նոր աղետի․ Գագիկ ԾառուկյանՖասթ Բանկն ու Mastercard միջազգային վճարային համակարգն ամփոփել են գործակցության երեք տարին «Իմ հողից բացի ուրիշ տեղ չեմ կարող ապրել, միայն Ճարտարում պետք է ապրեմ». կամավոր Կամո Հարությունյանն անմահացել է հոկտեմբերի 31-ին «Մարտունի 2»-ում. «Փաստ»Զարգացման իմիտացիան և խոշոր նախագծերի «փուչիկը»՝ որպես քաղաքական կապիտալի փիառային աղբյուրներ. «Փաստ»300 հազար աշխատատեղից մինչև 20 հազար մատչելի բնակարան Ի՞նչ կա իրականում «սիրուն» թվերի տակ. տնտեսական ցուցանիշների ախտաբանական պատկերը. «Փաստ»«Գյումրիի սցենարը» որպես քաղաքական վախ․ ինչո՞ւ է իշխանությունը շտապում Ի՞նչ է լինում, երբ իրականությունը դուրս է գալիս ջրի երես. «Փաստ»«Այս ամենը կեղծիք է և իրականության հետ ոչ մի աղերս չունի». «Փաստ»Սգո և հիշատակի օրերին ո՞ր գովազդի հեռարձակման արգելքը կվերացվի. նախագիծ. «Փաստ»Պատմական հիշողության «տաբուներ». «Փաստ»Քաղաքական կոնսոլիդացիայի սկիզբ. «Միասնության թևերի» և «ՀայաՔվեի» համատեղ հայտը. «Փաստ»Վարկանիշը գետնին է հավասարվում, փրկել է պետք. «Փաստ»Բոլորն էլ ընտրակաշառքի օրինակներ են. «Փաստ»Նարեկ Կարապետյանը ներկայացրել է, թե ինչպես են մտադիր նվազեցնել դեղերի գները ՀայաստանումՀայաստանում կզարգացնենք մեծ պահանջարկ ունեցող ապրանքների, ինչպես նաև դեղերի արտադրությունը. Նարեկ ԿարապետյանԴեղերի շուկայում կա ազատականացման խնդիր․ Նարեկ ԿարապետյանԸստ Դատախազության պաշտոնական տեղեկության՝ ապօրինի ծագում ունեցող գույքի բռնագանձման լիազորությունների շրջանակում հօգուտ ՀՀ-ի բռնագանձվել է 5 մլրդ 454 մլն դրամի գույք և դրամական միջոցներ․ Էդմոն ՄարուքյանՈչ միայն իջեցնելու ենք դեղերի գները, այլև գրանցման պրոցեսն ենք դյուրացնելու. Նարեկ ԿարապետյանԴե՞ղ, թե՞ հաց. մեր հայրենակիցները, ցավոք, հաճախ այս այլընտրանքի առաջ են կանգնում. Նարեկ ԿարապետյանԹոշակների բարձրացումը նախընտրական քայլ է և կարող է դիտարկվել որպես ընտրակաշառք․ Ավետիք ՉալաբյանՍահմանամերձ գյուղերի հիսունհինգ դպրոց կփակվի․ Մենուա ՍողոմոնյանՆարեկ Կարապետյանի ուղիղ եթերըԿողմնորոշվեք, պարոնայք. Արմեն ԱշոտյանԱյս Կուսակցության գրանցումով ես ինձ հետ չեմ տանում ո՛չ զայրույթ, ո՛չ ափսոսանք, միայն երախտագիտություն. Արտակ ՍարգսյանՄենք չենք մտնելու պոպուլիզմի դաշտ․ Նաիրի ՍարգսյանՏեղ հասա՞վ, որ Իրանի ժողովրդին պետք է ցավակցել. Արշակ ԿարապետյանՀաճախորդների շնորհակալության օր Էջմիածին մասնաճյուղում․ IDBank