Երևան, 02.Մարտ.2026,
00
:
00
ՄԵՆՅՈՒ
«Համահայկական ճակատ»-ը իր ցավակցությունն ու զորակցությունն է հայտնում եղբայրական Իրանի ժողովրդին. Արշակ Կարապետյան Առավել քան երբևէ Հայաստանը պահանջ ունի նոր վարչապետի՝ Սամվել Կարապետյանի. Նարեկ Կարապետյան Պատերազմ Իրանում․ հետևանքներն ու սպառնալիքները Հայաստանի համար. Էդմոն Մարուքյան Համբերություն և խաղաղություն եմ մաղթում բոլորին, երկնքում և երկրի վրա․ Ավետիք Չալաբյան Խորին ցավակցություն ենք հայտնում բարեկամ Իրանի ժողովրդին․ ՀայաՔվե Պատրաստվում ենք ստանձնել երկրի պատասխանատվությունը՝ նոր և ուժեղ առաջնորդությամբ. «Ուժեղ Հայաստան» կուսակցություն (տեսանյութ) Իրավիճակը մեր երկրի շուրջ և տարածաշրջանում բավականին բարդ է ու հղի բազմասցենար զարգացումներով. Արտակ Զաքարյան «Իմ երկիր, իմ Հայաստան» շարժման հուզիչ ակցիան. ծաղկեպսակ Իրանի դեսպանատան դիմաց Չեք կարող պարտությունը բարդել մարտադաշտի վրա. Արշակ Կարապետյան Արևային վահանակները պարտադիր չէ, որ հարթ լինեն


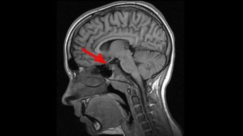
Գիտնականները հայտարարել են, որ ուղեղի այս հիվանդությամբ տառապում է մարդկանց գերակշիռ մեծամասնությունը

Lifestyle

Blognews.am-ը գրում է.

Դեժավյուն հոգեբանական կարգավիճակ է, որի ընթացքում մարդուն թվում է, թե նա էլի է հայտնվել նման իրավիճակում: Երևի Ձեզ հետ էլ է պատահել նման բան՝ որևէ անծանոթ տուն կամ վայր առաջին անգամ եք ոտք դրել, սակայն Ձեզ թվացել է, որ այդտեղ արդեն եղել եք:

2009 թ. գիտնականները որոշեցին լրջորեն ուսումնասիրել այս ոչ սովորական երևույթը: Որոշ ժամանակ անց Մասաչուսեթսի տեխնոլոգիական համալսարանի մասնագետները հայտարարեցին, որ ուղեղն ունի այնպսիս հատված, որը պատասխանատու է այս երևույթի համար: Դեժավյուի գլխավոր դերը այն նեյրոններինն է, որոնց շնորհիվ կարողանում ենք զգալ պատկերների ամենափոքր տարբերություններն անգամ: Սրա շնորհիվ մարդը գիտակցում է, թե ինչպիսի տպավորություններ է ինքը վաղուց արդեն ստացել, իսկ որոնք են ամբողջապես նոր նրա համար: Այսն կարծես մարդու «կյանքի փորձառությունը» բաժանում է անցյալի և ներկայի: Սակայն երբ երկու տպավորություններ իրար շատ նման են լինում, ուղեղի այդ հատվածի աշխատանքը «կախում է», ինչն էլ բերում է տարօրինակ այս զագցմանը:

2009թ. բացահայտումից հետո միայն մեկ անպատասխան հարց է մնացել՝ այս երևույթը բնորոշ է առողջ մարդկա՞նց, թե՞ ոչ այնքան: Պատասխանը գտնելու պատասխանատվությունն իրենց վրա վերցրին Չեխիայի Մասարիկա և Մեծ Բրիտանիայի Էկսետերի համալսարանների մասնագետները: Նրանք պարզեցին, որ դեժավյու կարող է լինել անգամ փոքր տարիքում, երբ նոր կազմավորվում է ուղեղը: Հոգնախության և սթրեսի ժամանակ ուղեղի տվյալ հատվածի աշխատանքը խաթարվում է և արդյունքում առաջանում են հիշողություններ այնպիսի բաների մասին, որոնք երբեք չեն էլ եղել: Գիտնականների վերջնական դիագնոզը ցավալի է՝ դեժավյուն համարվում է նյարդաբանական խանգարում:

ԶՊՄԿ-ն` Կանադա-Եվրասիական պալատի անդամ. հանքարդյունաբերության ոլորտում նոր էջ է բացվումՄոտ 500,000 մարդ չունի արժանապատիվ աշխատանք. հաջորդ վարչապետ Սամվել Կարապետյանը շուտով կփոխի այս իրավիճակըՄհեր Ավետիսյանը առաջարկել է Իրանի դեսպանատան առջև ծաղիկներ, մանկական խաղալիքներ տեղադրենք«Ինտերը» տանը հաղթեց «Ջենոային»․ Մխիթարյանը՝ գոլային փոխանցման հեղինակ Սարդար Վահիդին նշանակվել է Իսլամական հեղափոխության պահապանների կորպուսի (ԻՀՊԿ) նոր հրամանատարՄենք Իրանին կհարվածենք այնպիսի ուժով, որպիսին նախկինում երբեք չի տեսնվել․ Թրամփ «Համահայկական ճակատ»-ը իր ցավակցությունն ու զորակցությունն է հայտնում եղբայրական Իրանի ժողովրդին. Արշակ ԿարապետյանՔասախում «ՎԱԶ 2107»-ը բախվել է «Առողջ այգու» պարսպին․ կան վիրավորներ Առավել քան երբևէ Հայաստանը պահանջ ունի նոր վարչապետի՝ Սամվել Կարապետյանի. Նարեկ Կարապետյան Ինչպիսի եղանակ է սպասվում առաջիկա օրերինԴեմնան վերաթողարկում է Gucci-ն. Երբ ժառանգությունը հանդիպում է ժամանակակից շքեղությանըԱրարատի ոստիկանները բացահայտել են սպшնության նախապատրաստություն. 41-ամյա տղամարդը ձերբակալվել էԱլափարսի խաչմերուկում բախվել են «Foton»-ը և «Nissan»-ը Պատերազմ Իրանում․ հետևանքներն ու սպառնալիքները Հայաստանի համար. Էդմոն Մարուքյան Հորոսկոպ. Ի՞նչ կբերի մարտի 3-ի խավարումը կենդանակերպի բոլոր նշաններին Հրդեհ է բռնկվել «BMW X5»-ումՀամբերություն և խաղաղություն եմ մաղթում բոլորին, երկնքում և երկրի վրա․ Ավետիք Չալաբյան Սպերցյանի գոլն օգնեց «Կրասնոդար»-ին հաղթել «Ռոստով»-ին և վերադառնալ առաջին հորիզոնականԽորին ցավակցություն ենք հայտնում բարեկամ Իրանի ժողովրդին․ ՀայաՔվեՊատրաստվում ենք ստանձնել երկրի պատասխանատվությունը՝ նոր և ուժեղ առաջնորդությամբ. «Ուժեղ Հայաստան» կուսակցություն (տեսանյութ) Իրավիճակը մեր երկրի շուրջ և տարածաշրջանում բավականին բարդ է ու հղի բազմասցենար զարգացումներով. Արտակ ԶաքարյանԱՄՆ-ի և Իսրայելի հարձակման հետևանքով սպանվել է Իրանի գերագույն առաջնորդ այաթոլլա Ալի Խամենեին«Իմ երկիր, իմ Հայաստան» շարժման հուզիչ ակցիան. ծաղկեպսակ Իրանի դեսպանատան դիմացՉեք կարող պարտությունը բարդել մարտադաշտի վրա. Արշակ ԿարապետյանԱրևային վահանակները պարտադիր չէ, որ հարթ լինենՄատչելի բնակարանների հարցը օրհասական է. Լուծու՞մը՝ունենալ Ուժեղ Վարչապետ․․․ Ռուբեն Մխիթարյան Իրանում տեղի ունեցող զարգացումները լուրջ մտահոգություն են առաջացնում․ Եվրահանձնաժողովի նախագահԱՄՆ-ի և Իսրայելի ագրեսիшն խաթարել է Իրանի միջուկային ծրագրի շուրջ խաղաղության բանակցությունները․ Արաղչին՝ ԼավրովինԱՄՆ-ը կարող է պահանջել Ուկրաինայից հրաժարվել ամբողջ Դոնբասից. Bloomberg Իշխանության և Բաքվի շահերը համընկնում են․ Էդմոն ՄարուքյանՀայաստանը Արևմուտքի հետ գեոպոլիտիկ և առհասարակ որևէ համընկնող շահ չունի․ Հայաստանի շահերը համընկնում են բացառապես ու միմիայն Ռուսաստանի հետ․ Մհեր ԱվետիսյանՔիմ Քարդաշյանը՝ համարձակ բոդիով և փետուրներով. նոր կադրեր Լոս Անջելեսում կատակերգության նկարահանումներիցԱրբանյակից նկարահանել են Թեհրանում այաթոլլա Խամենեիի ոչնչացված նստավայրը Ֆրանսիան պահանջել է ՄԱԿ-ի Անվտանգության խորհրդի արտակարգ նիստ հրավիրել՝ Իրանի շուրջ ստեղծված իրավիճակի կապակցությամբԻնչ կարող է մեզ պատմել առաջին միլիարդատերը առաջին տրիլիոնատիրոջ մասին Չեմպիոնների լիգայի ֆավորիտների տասնյակը Սպիտակում «Mercedes» բեռնատարը բախվել է երկաթե արգելապատնեշներին Ժամանակն է, որ Իրանի ժողովրդի բոլոր շերտերը թոթափեն բռնակալnւթյան լուծը և ստեղծեն ազատ և խաղաղասեր Իրան․ Նեթանյահու«Հայոց Արծիվներ» կամավորական մարտական ջոկատը պատրաստ է մեկնել Իրան` պաշտպանելու բարեկամ Իրանին, Իրանի բարեկամ ժողովրդին, այդ թվում` Իրանում բնակվող բոլոր հայերին․ Խաչիկ ԱսրյանԻսրայելը փորձել է uպանել Իրանի նախագահին․ ԶԼՄ Պրեմիերա․ Սուպեր Սաքո և Սուրո-«Հասնեմ քեզ» Ուժեղ տնտեսություն հնարավոր է միայն Ուժեղ Հայաստանում՝ Սամվել Կարապետյանի հետ․ Գառնիկ ԴավթյանԴուրս. արտաշատցին Փաշինյանին չթողեց մտնի իր խանութՄեր հաջորդ վարչապետ Սամվել Կարապետյանը լիովին գիտակցում է այն պատմական պատասխանատվությունը, որը մենք կրում ենք մեր ազգի առջև. Մարիաննա Ղահրամանյան Հարևան երկրում ռшզմական գործողություններ են, իսկ ՀՀ անվտանգության խորհրդի և քաղաքական վերնախավի ներկայացուցիչները սելֆիների ու անհոգ նկարների շարքեր են անում` քարոզարշավի մեջ են․ Աբրահամյան Այս մարդիկ պաշտոններ են զբաղեցնում, քաղաքացիների ու մի ողջ պետության ճակատագիր որոշում. Աննա ԿոստանյանԱյս իշխանությունների օրոք կոռուպցիան ոչ թե վերացավ, այլ ավելի կատարելագործվեց․ Ավետիք ՉալաբյանԱնվճար բարձրագույն կրթությունը ներդրում է պետության ապագայի մեջ․ Հրայր ԿամենդատյանՔաղաքը փոսերի մեջ է, պատասխանատուները՝ լռության․ Արեգ ՍավգուլյանՓաշինյանի ամուսնալուծության նոր վարկած