Երևան, 27.Մարտ.2026,
00
:
00
ՄԵՆՅՈՒ
Կյանքը հունիսի 7-ից. բանականությունը վերադարձնել իշխանություն. Վահե Հովհաննիսյան Դրսում խոնարհվում են ադրբեջանցիների առաջ, շարժվում նրանց թելադրանքով, իսկ ներսում՝ իրենց պատառոտում են՝ հայտարարելով, թե հաջողել են, թե իրենց դեմ խաղ չկա․ Տիգրան Աբրահամյան Հայ աշխատավորի կարծիքը. Հրայր Կամենդատյան Հայաստանի ազգային շահը ենթադրում է հարատև հայկական պետության կառուցում․ Ավետիք Քերոբյան Հայրենիքը արժեք է, որի համար պետք է ոչինչ չխնայել․ Ցոլակ Ակոպյան Ինչպիսի՞ն է հանրային տրամադրությունների պատկերն ընտրություններից առաջ. Արթուր Միքայելյանը սոցհարցման տվյալներ է ներկայացրել Հորս արև. ի՞նչ է անելու Բրյուսելը բացասական արդյունքի դեպքում. «Փաստ» Փորձում է պահպանել որոշակի չեզոք դիրքորոշում գոնե մինչև ընտրությունները. «Փաստ» «Սուրենս ինձ միշտ ասում էր՝ մայր իմ անուշ ու անգին, այնպես եմ կարոտել այդ բառերին». Սուրեն Կիրակոսյանն անմահացել է 2022 թ. սեպտեմբերի 13-ին Իշխանասարում. «Փաստ» Ինչի՞ է հանգեցնելու գիտության ոլորտի անտեսված վիճակը. «Փաստ»


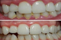
Դուք կունենաք ձյունաճերմակ ատամներ՝ ընդամենը 3 բաղադրիչի օգնությամբ

Lifestyle

Մանրամասն՝ Oragir.info

Ատամների սպիտակեցման համար նախատեսված բնական մածուկ պատրաստելու համար անհրաժեշտ են հետևյալ բաղադրիչները՝

  • 4 ճաշի գդալ քրքումի փոշի
  • 2 ճաշի գդալ կերակրի սոդա
  • 2.5 ճաշի գդալ կոկոսի յուղ

 

Մածուկը պատրաստելու համար պետք է խառնել սոդան ու քրքումը, ապա ավելացնել կոկոսի յուղը:

Լավ խառնելուց հետո խիտ մածուկ կստացվի, որը կարելի է օգտագործել որպես ատամի ամենօրյա մածուկ, ինչպես նաև կիրառել մաշկի համար:

Հայաստանի Հանրապետության յուրաքանչյուր քաղաքացուն եկամուտով ապահովելու հստակ ծրագիր ունենք․ Նաիրի Սարգսյան«Իրավական քաոսից դեպի իրավական պետություն»․ ստեղծվել է «Նոր Դարաշրջան» կուսակցությունը Փաշինյանը սրում է հակաարցախյան հիստերիան «Ուժեղ Հայաստանի» թիմը կրկին Մեղրիում էր. Արթուր ՄիքայելյանՍամվել Կարապետյանը կարող էր ապրել հանգիստ կյանքով, բայց նա կդառնա վարչապետ, որպեսզի հայ ժողովուրդը ունենա հանգիստ կյանք և տնտեսական բարեկեցություն. Ուժեղ Հայաստան Քպականները կենաց և մահու կռիվ են տալու սեփական ժողովրդի դեմ Երկաթուղու կոնցեսիան ուզում են հանձնել Ղազախստանին Եթե անվտանգությունը ապահովված չի, մարդիկ արտագաղթում են, ոչ թե հայրենադարձ լինում․ Ռոբերտ Քոչարյան Հարվարդի նորույթը. արևային սարք, որն ինքնուրույն փոխում է իր գործառույթը ՀՀ նախագահի իշխանությունը տարածվում է Հայաստանի ժողովրդի վրա, պատասխանատվությունը՝ ողջ հայության. Ռոբերտ ՔոչարյանՄենք եկել ենք խոնարհվելու նահատակների հիշատակին և խոստանալու՝ մենք այլևս երբեք թույլ չենք լինելու. տեսանյութԳյուղատնտեսությունը՝ որպես ազգային անվտանգության գործոն. Առաջարկ Հայաստանին 2026թ․ ընտրություններ․ պայքար ոչ թե աթոռի, այլ Հայաստանի լինել-չլինելու և պետական կարողության համար. Էդմոն Մարուքյան Էլի եմ ասում ` հայրենակիցներս հետ նորմալ խոսացեք. Ալիկ ԱլեքսանյանԳյուղերում ապրող մեր հայրենակիցները ցանկանում են, որ իրենց ձայնը լսելի լինի, իսկ բարձրաձայնած խնդիրները ստանան հստակ և գործնական լուծումներ. Գագիկ ԾառուկյանԱյս իշխանությունը միայն աղետներ է բերել․ Աննա Կոստանյան«Ուժեղ Հայաստան» կուսակցության անդամները հանդիպեցին կուսակցության Գորիս և Սիսիան համայնքների համակիրների հետ Ucom-ի Unity փաթեթները՝ Հայաստանում լավագույն ֆիքսված կապով Նարեկ Կարապետյանը Սիսիանում ներկայացրել է «Ուժեղ Հայաստան»-ի տնտեսական և քաղաքական մոտեցումները Նարեկ Կարապետյանը Գորիսում ներկայացրել է «Ուժեղ Հայաստան»-ի տեսլականը Մուրալով ստացված «խաղաղությունը» կայուն հիմքեր և հեռանկար չունի․ Մենուա ՍողոմոնյանՀուսանք՝ Բարձր Դատարանը հարցին կտա արդարացի և իրավական լուծում. Ցոլակ Ակոպյան Կյանքը հունիսի 7-ից. բանականությունը վերադարձնել իշխանություն. Վահե Հովհաննիսյան Հայ- ռուսական հարաբերությունների բարձր մակարդակից է կախված մեր պետականության ամրությունը. Մհեր ԱվետիսյանՋրային հաշվեկշիռը մեր երկրի, կյանքի հաշվեկշիռն է. Հրայր ԿամենդատյանՓաշինյանի պես գործակալն իրավունք չունի որևէ մեկի պիտակավորել. նա Արցախը պատանդ է թողել. Չալաբյան Փոքր բիզնեսի ազատագրում․ տնտեսական աճի հիմքը, որը կարող է փոխել խաղի կանոնները Հակամարտություն հավատքի շուրջ․ ինչ ուղերձ է տալիս իշխանությունը Եկեղեցուն Ապօրինի որսված 43 կգ խեցգետինն առգրավվել և վերադարձվել է ջրամբար. ԲԸՏՄ «Արևմտյան Ադրբեջան» թեզի գաղափարը Ալիեւին տվել է Փաշինյանը. ԻսագուլյանՌԴ նախագա՞հն ինձ հետ հանդիպում պիտի խնդրի, ես պիտի խնդրեմ. ես ինձ հաշիվ եմ տալիս՝ ինչ պետություն է ՌԴ-ն. Նիկոլ ՓաշինյանՍպիտակ-Գյումրի ճանապարհին բախվել են ՀՀ ՊՆ-ին պատկանող բեռնատարը և «Volkswagen»-ը. կան տուժածներԵթե մարդն ասում է Վանից եմ, «ստալինյան հայրենասիրության» դրսևորում է. այն նպատակ ունի հային պանդուխտի գիտակցության մեջ պահել և թույլ չտալ, որ ՀՀ-ն զարգանա. Փաշինյան Արաղչին շնորհակալություն է հայտնել Հայաստանին և մի շարք այլ երկրների՝ hակամարտության ընթացքում արտերկրում մնացած իրանցիներին օգնելու համարԿրիշտիանու Ռոնալդուի ավագ որդին կարող է համալրել Մադրիդի «Ռեալի» ակադեմիայի շարքերըTOON EXPO-ի շրջանակում կարող եք ստանալ 1% idcoin․ Idram&IDBankՔենեդիի սեռական գաղտնիքները և Մերիլին Մոնրոյի մահը Թրամփը ցանկանում է ավարտել Իրանի հետ պшտերազմը մինչև մայիսի կեսերը. The Wall Street Journal«Եղավ մի շրջան, որ նույնիսկ ուզում էինք բաժանվել». Սարգիս Գրիգորյան Չելյաբինսկում աշակերտը ազդանշանային ատրճանակnվ կրшկել է դասընկերուհու վրա Դեղերի մաֆիա․ ինչու՞ են Հայաստանում երեք անգամ թանկ դեղերը Վրաստանի համեմատ․ Հրայր ԿամենդատյանԳորիսեցի փոքրիկի և Նարեկ Կարապետյանի գրկախառնությունըԱԹՍ-ն hարվածել է հում նավթ տեղափոխող թուրքական նավին Առնվազն 18 մարդ է զnհվել Բանգլադեշում՝ ավտոբուսի գետն ընկնելու հետևանքով Հարատև հայկական պետությունը ապահովում է մեր՝ հայերիս, շահերը․ Ավետիք Չալաբյան Օրենք -ի հակառակ կողմը. Ատոմ ՄխիթարյանԴրսում խոնարհվում են ադրբեջանցիների առաջ, շարժվում նրանց թելադրանքով, իսկ ներսում՝ իրենց պատառոտում են՝ հայտարարելով, թե հաջողել են, թե իրենց դեմ խաղ չկա․ Տիգրան Աբրահամյան Մեր և «Միասնության թևերի» նպատակն է վերացնել կոռուպցիան և հաստատել արդարություն․ Արմեն ՄանվելյանՊատգամավոր՝ երկու ամսով. Ո՞վ կփոխարինի Վլադիմիր Վարդանյանին Փաշինյանն ավելացնում է հանրությանն ահաբեկելու դոզան