Երևան,
15.Փետրվար.2026,
00
:
00
Հայերեն
Русский
English
ՄԵՆՅՈՒ
Քաղաքական
Միջազգային
Հասարակություն
Տնտեսություն
Վերլուծական
Մշակույթ
Սպորտ
Բլոգ
Lifestyle
TV
23:55
Պուտինի վարքագիծը նման է խելագարության․ Ռյուտե
11:34
Ինստիտուցիոնալացված սպառնալիք Հայաստանի համար. «Փաստ»
11:03
Այս ամենից շահում է միայն ԱՄՆ-ը. «Փաստ»
10:32
«Երբ մի անծանոթ համարից զանգ է գալիս, ինձ թվում է՝ Ազատս է, հիմա կասի՝ մա՛մ». Ազատ Գրիգորյանն անմահացել է հոկտեմբերի 10-ին Հադրութում, տուն «վերադարձել»... ինն ամիս անց. «Փաստ»
10:01
Պատանի երգչուհի Նատալի Սաֆարյանի առաջին մենահամերգը՝ Հայաստանի սահմաններից դուրս. «Փաստ»
9:03
Միջազգային այցերի շուրջ հանրային էմոցիոնալ պոռթկումների ու իրականության հակադրությունը. «Փաստ»
8:32
Ինչո՞ւ են իշխանությունները թուլացնում պետականության իմունիտետը. «Փաստ»
8:01
«Ակտիվ, հետևողական պայքարն ավարտվելու է իրավունքի, այլ ոչ թե ուժի և «զոռբայության» հաղթանակով». «Փաստ»
23:55
Ռուսաստանը չի մասնակցի Թրամփի նախաձեռնած Խաղաղության խորհրդի նիստին. Զախարովա
14:22
Սոված են, չեն հագենում, 3-րդ ժամկետն են ուզում. ի՞նչ չես հասցրել անել. Նարեկ Կարապետյանը՝ Փաշինյանին
Lifestyle
20 Սեպտեմբեր, 2017 11:27
Աղջիկների ամենաթույլ կետը՝ ըստ կենդանակեչպի նշանների
20 Սեպտեմբեր, 2017 11:15
Արփի Գաբրիելյանն իրեն համեմատել է Մոնա Լիզայի հետ (ֆոտո)
20 Սեպտեմբեր, 2017 11:02
Աղջիկների կյանքի իմաստը՝ ըստ կենդանակերպի նշանի
20 Սեպտեմբեր, 2017 10:49
Եվա Ռիվասը կրկնօրինակում է Անահիտ Հարությունյանի ինտիմ լուսանկարները
20 Սեպտեմբեր, 2017 10:38
Դիետա, որը պայքարում է ճարպերի դեմ
20 Սեպտեմբեր, 2017 10:29
Աստղագուշակ՝ սեպտեմբերի 20-ի համար
20 Սեպտեմբեր, 2017 10:18
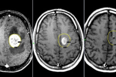
Գլխուղեղի ուռուցքի 10 առաջին նշանները, որոնց մասին պետք է յուրաքանչյուրն իմանա
20 Սեպտեմբեր, 2017 10:03
Դժբախտություն՝ Անատի Սաքանյանի ընտանիքում (Photo)
20 Սեպտեմբեր, 2017 9:50
Կենդանակերպի այս 4 նշանը հեշտությամբ կխաղացնեն ձեզ մատների վրա
20 Սեպտեմբեր, 2017 9:39
Թուրք միլիոնատերերի հղփացած զավակների ցոփ ու շվայտ կյանքը (Photo)
20 Սեպտեմբեր, 2017 9:24
5 բան, որ տղամարդը չի ներում սեքսում. անհապաղ դադարեք անել դրանք, հատկապես №5-ը
20 Սեպտեմբեր, 2017 9:09
Աղջիկը մազերը լվանալուց հետո ծածկեց փայլաթիթեղով և զարմացրել լավագույն վարսավիրն...
20 Սեպտեմբեր, 2017 0:52
7 տարեկանում այս որբ տղան կշռում էր ընդամենը 4 կգ. ահա թե ինչպիսին է նա այսօր հո...
20 Սեպտեմբեր, 2017 0:39
Մկրտիչ Արզումանյան.«Չեմ պատրաստվում գնալ…»
20 Սեպտեմբեր, 2017 0:26
Մոդել Մարիկա Թունյանը երեխայի է սպասում. Tert.am Life
20 Սեպտեմբեր, 2017 0:13
Հակաաստղագուշակ՝ կենդանակերպի բոլոր նշանների համար
20 Սեպտեմբեր, 2017 0:05
Ես բուժքույր եմ. և դուք չեք հավատա, բայց մարդիկ դեռ հավատում են սեքսի և առողջութ...
19 Սեպտեմբեր, 2017 23:57
Calvin Klein-ը ներկայացրել է «մերկ» վերնազգեստներ. ֆոտոշարք
19 Սեպտեմբեր, 2017 23:48
26 լուսանկար, որոնց անհնար է միայն մեկ անգամ նայել
19 Սեպտեմբեր, 2017 23:34
Նիկոլ Քիդմանը ամուսնու աչքի առաջ համբուրեց Սքարսգարդին. լուսանկարներ, տեսանյութ
19 Սեպտեմբեր, 2017 23:21
«Օրանժ». քիմիական զենք, որի օգնությամբ ԱՄՆ-ն բազում պատերազմական հանցանքներ է գո...
19 Սեպտեմբեր, 2017 23:19
12 բան, որ ամուսինները շատ կցանկանային, որ իրենց կանայք իմանային, սակայն երբեք չ...
19 Սեպտեմբեր, 2017 23:06
Ոչ ոք չի կարող հասկանալ, թե ով է լուսանկարի հրաշք փոքրիկը. նա մեր օրերի ամենասեք...
19 Սեպտեմբեր, 2017 22:54
Ժաննա Բուտուլյանը նոր լուսանկար է հրապարակել՝ ի ցույց դնելով իր սեքսուալ գրավչու...
19 Սեպտեմբեր, 2017 22:43
Exclusive. «Դու իմ կյանքն ես խոստովանությունը կանեմ միայն միակիս համար» Արայիկ Ա...
19 Սեպտեմբեր, 2017 22:31
6 ֆանտաստիկ խորհուրդ՝ ոտքերն ու մատներն անթերի տեսքի բերելու և պահպանելու համար
19 Սեպտեմբեր, 2017 22:17
15 վարժություն, որոնք կօգնեն Ձեր կերտել սեքսուալ և գրավիչ մարմին
19 Սեպտեմբեր, 2017 22:08
ԹԵՍՏ. Ո՞ւմ կօգնեիք այս իրավիճակում. պատասխանը շատ բան կբացահայտի ձեր անհատականու...
19 Սեպտեմբեր, 2017 21:56
5 աններելի բան, որ բացառապես յուրաքանչյուր ծնող ասում է իր երեխային․ ինչու է դա ...
19 Սեպտեմբեր, 2017 21:45
Կրկին վերադառնում էի ինձ հարազատ մի թիմ, որտեղից սկսվեց իմ գործունեությունը այս ...
<<
806
807
808
809
810
>>
Լրահոս
23:55:57 14-02-2026
Պուտինի վարքագիծը նման է խելագարության․ Ռյուտե
23:32:08 14-02-2026
Ուկրաինայում չկա մի էլեկտրակայան, որը չի տnւժել ռուսական հարձակnւմներից․ Զելենսկի
23:06:26 14-02-2026
Մենք չենք կարող մեզ թույլ տալ ավելի շատ չծախսել պաշտպանության վրա․ ֆոն դեր Լայեն
22:46:11 14-02-2026
Հաղթում է անզուսպը, հախուռնը, խելագարը. Կաթողիկոսի դեմ քրեական գործ է հարուցվել, ի՞նչ անել․ Էդմոն Մարուքյան
22:33:17 14-02-2026
Իջևան-Սևան-Երևան ճանապարհին մեքենաներ են բախվել․ կա տուժած
22:05:13 14-02-2026
Մայր Աթոռը՝ Գարեգին Երկրորդի նկատմամբ քրեական հետապնդման մասին
22:05:10 14-02-2026
Ռոբերտ Լևանդովսկու ծառայություններով հետաքրքրված է հինգ ակումբ
21:33:57 14-02-2026
Ինչպիսի՞ Վալենտին եք դուք՝ ըստ ձեր կենդանակերպի նշանի
21:01:32 14-02-2026
Ուկրաինայի ԶՈւ-ն հրթիռային հարված է հասցրել Բելգորոդին. կա երկու զոհ
20:32:40 14-02-2026
Զելենսկին «պետք է շարժվի» հակամшրտության կարգավորման ուղղությամբ, հակառակ դեպքում նա կարող է բաց թողնել կարգավորման «մեծ հնարավորությունը»․ Թրամփ
20:03:13 14-02-2026
Արվեստ՝ պոդիումի վրա. Ուես Գորդոնը կին-մուսաներին վերածում է պայծառ հերոսուհիների՝ Carolina Herrera-ի նոր հավաքածուի համար
19:31:31 14-02-2026
Պատերшզմը կավարտվի, երբ Ռուսաստանը տնտեսապես կամ ռազմшկան առումով nւժասպառ կլինի․ Մերց
19:22:57 14-02-2026
Այսօր տեղի ունեցավ աննախադեպ մի բան` քրեական հետապնդում հարուցվեց Ամենայն Հայոց Հայրապետի դեմ․ Նարեկ Կարապետյան
19:02:04 14-02-2026
Շիրակի քրեական ոստիկանները բացահայտել են բնակարանային գnղության երկու դեպք
18:29:40 14-02-2026
Առգրավվել է հալյուցինոգեն սնկերով հարյուր փաթեթ
17:45:24 14-02-2026
Քաղաքականություն ենք մտնում՝ հայակենտրոն ու բազմավեկտոր ուղեգիծ ձևավորելու համար․ Ավետիք Չալաբյան
17:09:57 14-02-2026
Մենք վճռականորեն կիրառելու ենք Սահմանադրությամբ և օրենքներով ամրագրված ողջ գործիքակազմը ունենալու համար ՈՒԺԵՂ ՀԱՅԱՍՏԱՆ. Արթուր Դանիելյան
16:44:00 14-02-2026
Հայ ազգն արժանի է ուժեղ առաջնորդի. Ալիկ Ալեքսանյան
16:38:58 14-02-2026
Այն ինչ մատուցվում է այսօր մեր ժողովրդին, իրականության հետ աղերս չունի. Քոչարյան
16:23:38 14-02-2026
Սա մի փոթորիկ էր բաժակի մեջ. Ռոբերտ Քոչարյան
15:55:21 14-02-2026
Այս երկու օր տևող խոսակցության սպառման լավագույն լուծումը. Արամ Վարդևանյան
15:48:10 14-02-2026
Հայաստանի ժողովրդի կամքն ու պատիվն է պաշտպանել Հայ Առաքելական Եկեղեցին․ այդ առաքելությունն այսօր իրականություն է դառնում Սամվել Կարապետյանի հետ․ Ռոբերտ Ամստերդամ
15:29:28 14-02-2026
Ուրբաթ 13. Երբ ձախողումները դառնում են հաջողության նոր սկիզբ
15:10:37 14-02-2026
Թոշակառուներին դարձրել են «տեսուչ»՝ փոքր հետվճարի դիմաց․ Հրայր Կամենդատյան
14:56:31 14-02-2026
ԶՊՄԿ-ը սերունդների պատմություն ունի. Վահրամ Գաբրիելյանի օրինակով
14:29:37 14-02-2026
Իշխանությունը փորձում է «վերադաստիարակել» թոշակառուներին․ Արեգ Սավգուլյան
12:39:10 14-02-2026
Իշխանության ողջ հույսն ու հավատն ուժայինների անօրինական գործողություններն են, որոնք ամենօրյա ռեժիմով կոնկրետ թիրախներnվ են աշխատում․ Աբրահամյան
12:32:16 14-02-2026
Խմիչքի գործարանի՝ 8 կիլոմետր երկարությամբ և 38 մետր խորության վրա գտնվող նկուղներ, որոնք ճանաչվել են պատմական հուշարձան. «Փաստ»
12:17:31 14-02-2026
Պետք է ստեղծենք համերաշխության մթնոլորտ և վերականգնենք մեր հաղթական կեցվածքը․ Ավետիք Քերոբյան
12:13:44 14-02-2026
Տարօրինակ զարգացումներ «Հարավկովկասյան երկաթուղու» շուրջ
12:01:37 14-02-2026
ՊԱՏՄՈՒԹՅԱՆ ԱՅՍ ՕՐԸ (14 ՓԵՏՐՎԱՐԻ). Օդանավի վթար «Զվարթնոց» օդանավակայանում. «Փաստ»
11:50:45 14-02-2026
Ծիծեռնակաբերդից մինչև Մայր Աթոռ. Ի՞նչ զիջումներ է նախապատրաստում իշխանությունը. Էդմոն Մարուքյան
11:43:37 14-02-2026
Փաշինյանը գազազել է սփյուռքահայ գործիչների հայտարարությունից
11:34:48 14-02-2026
Ինստիտուցիոնալացված սպառնալիք Հայաստանի համար. «Փաստ»
11:30:21 14-02-2026
Ադրբեջանը կոշտացնում է հռետորաբանությունը
11:22:21 14-02-2026
Գերիները Սիրանուշ Սահակյանի ջանքերով կվերադառնան․ Աննա Կոստանյան
11:20:24 14-02-2026
Հասանովին ու Միխայլովին դուրս կգրե՞ն «Քաղպայմանագրի» ցուցակից
11:16:59 14-02-2026
Համախմբումն է միակ ելքը, ազգային և պետական շահը՝ վեր ամեն ինչից․ Արսեն Գրիգորյան
11:03:02 14-02-2026
Այս ամենից շահում է միայն ԱՄՆ-ը. «Փաստ»
10:42:33 14-02-2026
Թափանցիկ արևային պատուհաններ. նոր տեխնոլոգիան էլեկտրաէներգիա է արտադրում 24/7 ռեժիմով
10:32:20 14-02-2026
«Երբ մի անծանոթ համարից զանգ է գալիս, ինձ թվում է՝ Ազատս է, հիմա կասի՝ մա՛մ». Ազատ Գրիգորյանն անմահացել է հոկտեմբերի 10-ին Հադրութում, տուն «վերադարձել»... ինն ամիս անց. «Փաստ»
10:27:54 14-02-2026
Սամվել Կարապետյանի աննախադեպ հայտարարությունը արհեստական բանականությամբ
10:14:54 14-02-2026
Վախի քաղաքականությունը և հաղթանակի սպասումը
10:01:06 14-02-2026
Պատանի երգչուհի Նատալի Սաֆարյանի առաջին մենահամերգը՝ Հայաստանի սահմաններից դուրս. «Փաստ»
10:00:41 14-02-2026
Չի կարելի կառավարության ձախողումների ու տեղի ունեցած ողբերգությունների պատասխանատվությունը դնել ժողովրդի վրա. Արտակ Զաքարյան
9:52:32 14-02-2026
Ինչո՞ւ են վախենում Սամվել Կարապետյանի ղեկավարած շարժումից. Ոսկան Սարգսյան
9:34:14 14-02-2026
Պետական և համայնքային սեփականություն հանդիսացող հողամասերը կվաճառվեն բացառապես էլեկտրոնային աճուրդով. «Փաստ»
9:03:42 14-02-2026
Միջազգային այցերի շուրջ հանրային էմոցիոնալ պոռթկումների ու իրականության հակադրությունը. «Փաստ»
8:32:38 14-02-2026
Ինչո՞ւ են իշխանությունները թուլացնում պետականության իմունիտետը. «Փաստ»
8:01:14 14-02-2026
«Ակտիվ, հետևողական պայքարն ավարտվելու է իրավունքի, այլ ոչ թե ուժի և «զոռբայության» հաղթանակով». «Փաստ»
Ամբողջ լրահոսը »
Բլոգ
Մայր Աթոռը՝ Գարեգին Երկրորդի նկատմամբ քրեական հետապնդման մասին
Մենք վճռականորեն կիրառելու ենք Սահմանադրությամբ և օրենքներով ամրագրված ողջ գործիքակազմը ունենալու համար ՈՒԺԵՂ ՀԱՅԱՍՏԱՆ. Արթուր Դանիելյան
Այս երկու օր տևող խոսակցության սպառման լավագույն լուծումը. Արամ Վարդևանյան
Հայաստանի ժողովրդի կամքն ու պատիվն է պաշտպանել Հայ Առաքելական Եկեղեցին․ այդ առաքելությունն այսօր իրականություն է դառնում Սամվել Կարապետյանի հետ․ Ռոբերտ Ամստերդամ
Իշխանության ողջ հույսն ու հավատն ուժայինների անօրինական գործողություններն են, որոնք ամենօրյա ռեժիմով կոնկրետ թիրախներnվ են աշխատում․ Աբրահամյան
Հարցում
Ամենադիտված
2026-02-9 19:42:32
«Սլավմեդ»-ում իրականացվեց հերթական բարդ ու հաջողված ռոբոտային վիրահատությունը
1
2026-02-9 9:55:28
Ռուսաստանը չի միջամտելու Հայաստանի ներքին գործերին, քանզի Ռուսաստանը հասկանում է, որ Հայաստանի պետակ...
2
2026-02-9 20:44:38
Դաշինք՝ հայության միասնության ու արժեքների համար
3
2026-02-12 19:36:58
ԱՄՆ-ի փոխնախագահի այցը Հայաստան ապացուցեց այն թեզը, որի մասին ես խոսում եմ երկար ժամանակ, և շատերը ք...
4
2026-02-9 21:05:53
Փաստաթղթեր. Փաշինյանի եղբայրը ՌԴ քաղաքացի է, ԱԱԾ-ն ստուգե՞լ է՝ գուցե ԿԳԲ-ի գործակալ է․ Լիա Սարգսյան
5